APP下載
活動
爆料
圖輯
AI爆報
追蹤新聞
8
翁曉玲召集朝野協商
看齊霍諾德?賈永婕曝新計畫
賴清德赴台中松竹寺參香祈福
海鯤號第七次海測!
柯任國家治理學院長後首度露面
台灣彩券開獎直播中
三立iNEWS新聞台線上直播
LIVE三立+24小時直播
即時
赤手獨攀101
台美關稅15%
新聞
熱門
政治
社會
娛樂
生活
新奇
健康
國際
兩岸
運動
財經
房產
旅遊
科技
汽車
遊戲
ESG
影音
總覽
政論
節目
熱搜
直播
iNEWS
專題
總覽
特企
專頁
大事件
彩券
專欄
民調
快訊
義美小泡芙推2款新口味 眾人瘋搶
11:01
新/持刀砍殺跳舞婦 兇嫌逃逸闖國道遭撞
10:59
苗栗KTV鬥毆命案!男遭刺穿前胸後背慘死
10:58
Taboola:AI 廣告成效媲美人為創意
10:55
柯文哲首提藍白分酸:藍營每個人都玻璃心
10:55
卓榮泰被點名選台北!綠立院黨團這麼說
10:54
年過半百肌肉流失 55歲男星崩潰被操爆
10:51
他大推好市多3款禮盒 好吃停不了、省很大
10:51
拿1飲品潑法院正門!她藉端滋擾…下場曝
10:51
廖偉凡月燒12萬顧親媽 免費幫外勞裝5假牙
10:50
哥倫比亞空難尋獲7遺體 民航局:無人生還
10:47
律師諷柯文哲:治國前先把黨裡帳目理清楚
10:46
鄭麗文喊「中國是親人」!綠批認賊作父
10:45
婉晴生日會票價2500!網:看病不是有健保
10:45
新/國1驚悚車禍!男衝車道被撞斷腿命危
10:44
狂吃不怕糖尿病 「這動作」1分鐘就降血糖
10:44
奧客大鬧佳德鳳梨酥 警循逃逸路線追緝中
10:41
林維恩受邀參加MLB春訓 打經典賽添變數
10:41
裘莉驚傳好萊塢式破產 遭爆準備移居海外
10:38
醫示警:冬天「睡眠缺氧」引爆心血管殺機
10:38
台灣彩券開獎直播中
20:31
柯任國家治理學院長後首度露面
09:30
賴清德赴台中松竹寺參香祈福
09:40
看齊霍諾德?賈永婕曝新計畫
10:00
翁曉玲召集朝野協商
10:30
捐200台交通車!永齡助攻社福服務
20:15
從郊山到高山縱走 一雙應對多元山徑挑戰
12:00
破壞價風暴襲來!台中房市「怪象」頻傳
11:00
君綺醫美用陪伴打造公益影響力!
10:30
首頁
關鍵字
X光
X光
戒菸2年仍罹肺癌!她篩檢揪出1.2公分結節
41歲陳小姐過去有長期的吸菸史,在醫療團隊的協助下戒...
2026/01/17 09:24
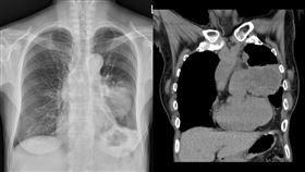
連咳5天當普通感冒!他照X光「左肺全白」
別以為「咳嗽」只是小事!小兒科醫師王韋力在節目中分享...
2025/12/06 13:29
獨/韌帶斷像銀絲卷 女星吐噴血驚悚過程
女團「AKB48 Team TP」推出第10張單曲〈...
2025/11/09 09:00
戒指不見!狗被懷疑秒變無辜 照X光醫笑翻
美國佛羅里達州一名飼主日前發現,她的訂婚戒指離奇消失...
2025/11/02 16:22
台灣入境注意!行李1新規定 最高罰100萬
台中市梧棲養豬場爆發非洲豬瘟,農業部日前說明,邊境管...
2025/10/31 10:44
豬瘟新措施!石崇良:取消機場免檢疫通道
防堵非洲豬瘟,機場檢疫新措施!台中市梧棲區養豬場近日...
2025/10/30 09:37
貨櫃夾肉製品 中華郵政:檢驗清關才投遞
來自中國的淘寶貨品恐夾帶肉製品闖關入台,對此,中華郵...
2025/10/26 12:39
獨/他每年檢查卻癌末!醫揭「奪命關鍵」
肺癌是國人十大癌症中死亡率最高、新增人數最多的癌症。...
2025/08/27 12:41
他每年X光都正常卻罹癌 醫驚:轉移了
肺癌是國人十大癌症中死亡率最高、新增人數最多的癌症,...
2025/08/26 22:46
他背痛、身高縮水 醫揪1問題:死亡率3成
一名65歲的糖尿病患者由女兒陪同來門診,女兒告知說發...
2025/08/21 10:27
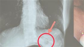
44歲男乳頭流膿 X光驚見「刀插胸腔8年」
國外一名44歲男子因為「乳頭流膿」到醫院就診,然而除...
2025/08/15 11:09
6旬婦不菸不酒不咳嗽 照X光「肺癌末期」
有些人總對身體上的不舒服不以為意,認為沒有大礙,多歇...
2025/07/31 08:39
台灣21億大廠突傳「關廠賣廠區」業者發聲
台灣光電大廠群創子公司「睿生光電」以生產X光感測面板...
2025/07/21 16:54
45歲男膝蓋爆痛 一查「淋病」!男人小心
淋病等性病會讓人想到生殖器或泌尿道不適症狀。但泌尿科...
2025/07/14 10:36
52歲養生男沒有不舒服 1動作揪出診肺腺癌
肺癌是台灣最致命、新增人數最多的癌症。醫師廖繼鼎表示...
2025/07/09 07:05
18個月嬰兒吞「鈕扣電池」 媽1句話救命
美國德州一名幼童深夜突然尖叫,父母帶他去醫院,醫生誤...
2025/07/06 12:23
悚!40歲男不菸不酒 竟「癌末到處轉移」
肺癌是國人十大癌症中死亡率最高、新增人數最多的癌症。...
2025/06/22 09:16
林正杰肺腺癌逝!名醫揭「最有效自救法」
林正杰於3日凌晨病逝,享壽73歲,他晚年傳出罹患肺腺...
2025/06/05 15:53
鼻胃管拔不出來!一照X光醫傻眼:打結了
台中一名60歲女患者因動脈瘤破裂接受腦部手術,術後恢...
2025/05/16 17:25
阿嬤X光片驚見下半身布滿白點 醫生嚇傻
泰國一名曾任職診所X光助理的網友分享了一段令人難忘的...
2025/04/29 11:10
婦照X光「體內佈滿白點」 恐怖真相曝光
一名曾擔任診所X光助理的泰國網友分享,多年前有一位上...
2025/04/28 10:00
產後遭腹痛折磨17年!健檢揭露烏龍真相
近日,印度北方邦首府勒克瑙(Lucknow)發生一起...
2025/03/30 06:49
孩童染黴漿菌病例增 這些症狀出現快就醫
台中大甲李綜合醫院發現,近來兩周小兒科門診的孩童,罹...
2025/03/28 14:37
5歲童拒吃蔬菜鬧肚子痛 醫照X光傻眼
吉隆坡一名5歲女童因長期抗拒吃蔬菜,導致嚴重便祕並引...
2025/03/28 10:09
男男「爽塞20cm巨棒」!醫隔夜拔:還在動
這下真的「男」以置信!高雄有一名24歲男子日前腹痛掛...
2025/03/13 12:49
脊椎狹窄致雙腳抽筋跛行 1手術他隔天下床
60多歲的李先生三年前因脊椎狹窄就醫接受傳統手術,因...
2025/02/26 11:20
急診爆滿!病患走廊照X光 醫嘆頭一遭
近期全台各大醫療院所急診室大爆滿,醫療量能吃緊,導致...
2025/02/20 15:20
獨/「這3科」最常誤診怎自保?專家揭秘
台灣民眾愛上醫院不是新聞,但若被誤診而延誤治療恐成遺...
2025/02/13 08:00
獨/OL摔傷遭誤診 病情延宕還開刀下場慘
「誤診」是醫療事故的一種形式,包括醫師開錯藥、錯誤診...
2025/02/13 08:00
16歲女照X光「驚見大白肺」 醫揪元凶
流感疫情持續升溫,疾病管制署昨(11日)公布最新統計...
2025/02/12 13:04
最新圖輯
更多
羅志祥30周年演唱會
凱琳專訪
黃鐙輝、吳念軒、黃騰浩專訪
第62屆金馬獎得獎後台
第62屆金馬獎紅毯
劉書宏專訪
袁澧林、陳孝萱專訪
第36屆金曲獎星光大道
第36屆金曲獎得獎圖輯
NMIXX林口體育館粉絲演唱會
今日頭條
1
卓榮泰被點名選台北!綠立院黨團這麼說
2
新/國1驚悚車禍!男衝車道被撞斷腿命危
3
理由曝!9cm殺女大生…兇嫌聽逃死脫口2字
4
陳菊請辭獲准!張惇涵憶共事點滴曝她暖舉
5
盤中/台股紅翻黑急殺 震盪逾500點
6
政大校友1原因豪捐3千萬美金 神秘身分曝
7
獨/來台6年開YT頻道 韓正妹曝真實收入
8
台灣女孩速寫「攀101」!霍諾德收到了
9
哥倫比亞空難尋獲7遺體 民航局:無人生還
10
農場少東投毒!17年前「冒充警」黑歷史曝
HOT焦點
更多
迎金馬年!台彩春節加碼總獎金12億
昇恆昌董座實踐利他精神全員志工化做公益
便當傳愛對抗孤單 為視障黑暗中點燈
頻道推薦
直播✦活動
三立新聞網
為了提供更好的閱讀內容,我們使用相關網站技術來改善使用者體驗,也尊重用戶的隱私權,特別提出聲明。
了解最新隱私權聲明
知道了