APP下載
活動
爆料
圖輯
AI爆報
追蹤新聞
5
馬太鞍堰塞湖災後條例立院三讀
白沙屯媽祖贊境新北
台灣彩券開獎直播中
三立iNEWS新聞台線上直播
LIVE三立+24小時直播
即時
非洲豬瘟侵台
輝達進駐台北
新聞
熱門
政治
社會
娛樂
生活
新奇
健康
國際
兩岸
運動
財經
房產
旅遊
科技
汽車
遊戲
ESG
影音
總覽
政論
節目
熱搜
直播
iNEWS
專題
總覽
特企
專頁
大事件
彩券
專欄
民調
快訊
養3杜賓犬卻放任咬人 新竹男被逐出社區
17:07
睽違15年再赴韓 黃仁勳APEC演說7重點曝
17:06
幽靈連署為罷伍麗華!2藍委遭起訴
17:05
李沐、曾敬驊「散步偷牽手」超甜畫面曝光
17:04
雙11飯店優惠開跑 續住一晚1111元
17:04
王子越線偷吃粿粿!1男星清流反應狂圈粉
17:03
台股拚3萬點不是夢?專家點它能撐2千多點
17:03
騎改裝車炸街罰單金額曝!短褲妹當場落淚
17:02
普丁是不是獨裁者?AI說法大不同
17:01
傳說對決《國際電競女神盃》報名至11/9
17:00
吳怡農爭取台北市長提名!苗博雅最新回應
16:57
球員一生只有一次 3位投手爭最佳新人獎
16:52
粿粿版面都王子 喊生日快樂沒幫范姜慶生
16:51
1969年蘇聯曾想對中國核攻 他救了毛澤東
16:51
張忠謀勸 新壽才放T17、T18?他怒轟丟臉
16:48
獨/馬太鞍溪堰塞湖溢流…流浪貓狗去向曝
16:47
打嗝不止恐是腦幹缺血 合併3症速就醫
16:46
正妹OL遭撿屍 知名會計師被起底人設崩毀
16:46
威能帝、林安可、羅戈入圍中職年度MVP
16:41
川普嚴守對台底線 他:對抗中國不斷壓縮
16:37
台灣彩券開獎直播中
20:31
台彩中秋加碼總獎金達4.5億
12:00
大樂透加碼100組100萬元
12:00
白沙屯媽祖贊境新北
09:30
馬太鞍堰塞湖災後條例立院三讀
14:00
維生素B群功效與補充全解析!
14:00
日本熱銷4億包!糖脂對策 隨餐1包纖維粉
12:00
酷澎雙11狂購祭 美國保健品限時五折
11:00
八里國際化成形!港灣特區陸海空黃金三角
11:00
首頁
關鍵字
嚴凱泰
嚴凱泰
黎明柔突現身靈堂悼念 57歲近況曝光
前中廣DJ黎明柔消失演藝圈多時,她今出席金鐘製作人葉...
2025/04/17 10:43
周玉蔻點名裕隆:扶不起的阿斗!拋棄吧!
美國總統川普宣布大規模徵收「對等關稅」,其中,對台灣...
2025/04/03 14:09
她吞嚥緊繃竟查出食道癌!秒懂5風險因子
如莫名出現吞嚥困難,小心恐與食道癌有關。一位60歲婦...
2024/11/26 10:23
報警控訴黃嘉千「拍A片」?夏克立首發聲
女星黃嘉千與夏克立離婚官司纏訟2年多,士林地院8月1...
2024/10/03 09:24
獨/割惡性黑色素瘤續命 女星最新近況曝
女星阿諾(涂珊)過往腹部曾冒出一個痣,當時她懷孕,結...
2024/10/03 07:00
50歲香蕉哥哥難忍淚水哭了 鬼鬼震驚發聲
兒童節目主持人「香蕉哥哥」林掄元出道23年,陪許多人...
2024/10/02 22:39
吳慷仁投中「不再是一個人」 黃秋生開噴
金鐘、金馬影帝吳慷仁日前證實與中國壹心娛樂簽訂經紀約...
2024/10/02 19:45
58歲胡文英颱風天穿超辣 全身開滿了洞
58歲美魔女胡文英擁有凍齡外型與火辣身材,經常不吝嗇...
2024/10/02 19:09
嚴凱泰也因食道癌病逝!有這些症狀要注意
香港武打巨星徐少強忽傳食道癌離世噩耗,享壽73歲。對...
2024/09/16 15:57
窮小孩變併購大師 黃日燦成就壯闊人生!
台灣產業創生平台創辦人黃日燦,將72年人生歷經的動盪...
2024/08/07 10:22
「生氣會得癌症」驚人真相曝光、人還會衰
氣死人、氣飽都是真的,知名的預防醫學權威洛桑醫師,在...
2023/12/07 20:30
吳季穎被爆偷賣2只嚴凱泰藏錶 檢警回應
SBL台啤隊前球員吳季穎被爆涉入簽賭、打假球,士林地...
2023/10/19 19:33
新/吳季穎自請離隊了!台啤218字聲明曝
SBL台啤隊球員吳季穎6月間從裕隆轉戰台啤,近來被周...
2023/10/18 18:18
獨/嚴凱泰遭賣AP名錶 全球不到百只!
SBL裕隆納智捷前球星吳季穎遭爆與裕隆集團千金熱戀、...
2023/10/18 11:28
吳季穎兜售嚴凱泰愛錶 鐘錶行老闆說話了
SBL超級籃球聯賽球員吳季穎,因打假球及簽賭遭裕隆隊...
2023/10/17 22:48
SBL吳季穎爆「秘戀千金」裕隆集團回應了
SBL超級籃球聯賽上季效力裕隆納智捷的球星吳季穎,今...
2023/10/17 19:53
吳季穎兜售嚴凱泰藏錶!裕隆高層緊急贖回
球星吳季穎因涉打假球及簽賭被裕隆開除,本刊接獲爆料,...
2023/10/17 18:26
爆打假球!他熱戀裕隆千金還賣嚴凱泰名錶
SBL超級籃球聯賽上季效力裕隆納智捷的球星吳季穎,今...
2023/10/17 18:24
書摘/吳清友生前秘密曝光 心好受傷
誠品傾訴吳清友對藝術文學與人類心靈與生命的追求。他生...
2023/10/06 16:20
書摘/誠品吳清友愛情故事曝 動人催淚
新店裕隆城x誠品生活館開幕引爆話題。由嚴凱泰與吳清友...
2023/10/05 15:45
嚴凱泰因它辭世!食道癌年死2千人9成男性
國民健康署公布癌症登記和衛生福利部死因統計資料顯示,...
2022/10/14 16:59
鴻海攜手裕隆!陳文茜:郭董夢嚴凱泰
裕隆集團前董事長嚴凱泰在2018年因癌症病逝,時隔多...
2022/09/02 15:21
周玉蔻談頭頸癌哽咽 醫曝這病毒有關
台灣地區每10名新癌症病患中,就有1位是頭頸癌患者。...
2022/02/16 12:40
今天嚴凱泰已逝3年 年輕照片曝光
2018年12月3日冬天,有台灣最帥CEO之稱的前裕...
2021/12/03 11:03
別一吃完就躺下!小心胃食道逆流
根據健保署統計,「胃食道逆流」最近幾年的就診人數已經...
2021/02/03 14:00
食道癌8招無聲殺人 醫警告7人危險
食道癌是國人十大癌症的第9名。是無聲殺手,而且預後不...
2021/02/03 14:00
大寒養生 千年藥王健康13招曝光
今天是24節氣最後一個「大寒」,代表冬天就要結束了。...
2021/01/20 13:09
打趴癌症 他靠這5字成為「鋼鐵人」
抗癌成功的北醫公衛教授韓柏檉,在三立新聞網「奕起聊健...
2021/01/06 17:41
最帥CEO嚴凱泰逝2年 無盡追憶
台灣最帥的CEO,前裕隆集團董事長嚴凱泰,2018年...
2020/12/03 12:51
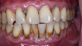
牙周病是沉默殺手 醫曝這11人危險
根據衛福部調查的數據顯示,18歲以上的國人有高達9成...
2020/09/23 14:00
最新圖輯
更多
劉書宏專訪
袁澧林、陳孝萱專訪
第36屆金曲獎星光大道
第36屆金曲獎得獎圖輯
NMIXX林口體育館粉絲演唱會
KISS OF LIFE台北演唱會
林芯儀專訪
GYUBIN大巨蛋開球
陳謙文專訪
孫麥傑專訪
今日頭條
1
新/病毒基因定序「與中越株近99%相似」
2
沒被矮化!APEC媒體中心秀台灣國旗
3
台中「廚餘湖」空拍曝 她6字狠批中市府
4
鄭麗文稱普丁非獨裁 吳思瑤傻眼反問1句
5
爭台北市長提名 吳怡農:我們一定要成功
6
GD開唱前夕!「全台最大黃牛」夫妻又落網
7
切割粿粿、王子!簡廷芮老公17字強硬發聲
8
9億CEO偕女友命案解剖 雙方家屬神情哀戚
9
小吃店捲粿粿風波爆紅 網朝聖:不用偷吃
10
女失聯1個多月!警上門驚見屍水流滿地
HOT焦點
更多
維生素B群功效與補充全解析!
轉大人文化節 提倡全齡健康管理從小做起
酷澎雙11狂購祭 美國保健品限時五折
頻道推薦
直播✦活動
三立新聞網
為了提供更好的閱讀內容,我們使用相關網站技術來改善使用者體驗,也尊重用戶的隱私權,特別提出聲明。
了解最新隱私權聲明
知道了