APP下載
活動
爆料
圖輯
阿立導讀
追蹤新聞
3
台灣彩券開獎直播中
三立iNEWS新聞台線上直播
LIVE三立+24小時直播
即時
賴蕭2年了
馬辦人事風暴
新聞
熱門
政治
社會
娛樂
生活
新奇
健康
國際
兩岸
運動
財經
房產
旅遊
科技
汽車
遊戲
ESG永續
影音
總覽
政論
節目
熱搜
直播
iNEWS
專題
總覽
特企
專頁
大事件
彩券
專欄
民調
快訊
女崩潰欲輕生!警消急救人驚見群眾坐著看
21:50
魏如萱《歌手》開唱 震驚全網:像跟彈簧
21:48
很多人叫我換掉王柏融 洪總吐不換人心聲
21:47
高雄6/3大停水!最長15小時 影響21萬戶
21:44
花22元中千萬!「少做一事」獎金全充公
21:44
央行認證!「這數據」揭露台股多頭底牌
21:44
拿莫・伊漾代打超前轟 兄弟單局爆遭逆轉
21:43
新/政府推產業!美股開盤「量子股」齊漲
21:38
麵屋一燈又傳食物中毒 台中夫妻吃完腹瀉
21:36
高三生蛋洗學務處 公開信曝:問心無愧
21:33
確定了!北市府撤銷京華城20%容積獎勵
21:27
中國打非法跨境炒股!富途狂瀉逾40%
21:26
愛莉莎莎遊峇厘島「自撞山壁」現況曝光
21:24
7旬夫婦鄉下買房養老 做錯1事存款全沒了
21:19
王柏融炸裂第101轟 台鋼終止南人祭7連敗
21:13
腹痛3個月慘罹大腸癌 醫:差點塞住腸道
21:11
eGift元年 線上領股東紀念品再抽機票
21:00
兄弟邀請新生代男團 寫本季主場票房新高
20:54
宏都拉斯爆武裝衝突事件!2起事件釀16死
20:52
快訊/大樂透5/22中獎號碼出爐
20:50
台灣彩券開獎直播中
20:31
K-WAVE韓流拼盤卡司公布 8月登高雄開唱
14:30
早餐水果沒吃夠?營養師教超商水果補充術
18:00
凍齡女神陳美鳳愛用 正港優蛋白增強體力
17:00
家裡怎防老鼠之亂??專家曝新大樓兩優勢
09:00
Razer女神yunocy登COSMOS
12:00
台灣少子化 首創本草萃滴精商機大爆發
17:00
遠東生技行銷60國 微藻成新一代營養關鍵
16:00
台灣大連續4度獲選最受尊崇企業
10:00
首頁
關鍵字
僵直性
僵直性
雙煞車解細胞活化 國衛院揪2免疫疾病關鍵
由於自體免疫系統可能攻擊不同器官,如造成僵直性脊椎炎...
2024/03/11 11:25
女主管「全身痛十年」竟僵直性脊椎炎
26歲的Tina從高二起就偶爾出現背痛、疲倦、腳部不...
2022/07/21 13:03
健保2/1擴多項用藥 2萬病人受惠
健保署今宣佈再度擴大給付多項藥品,疾病範圍涵蓋社區性...
2022/01/04 11:50
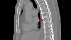
父駝背子下背痛 竟都「這疾病」所致
今年53歲的王先生,早在當兵時就出現下背痛困擾,起初...
2021/09/08 22:00
最新圖輯
更多
茉ひるMahiru專訪
簡莉紋專訪
大霈專訪
劉冠廷專訪
林予晞、王真琳專訪
李雪、陳昱廷專訪
初孟軒、鍾岳軒專訪
龍千玉與翁立友領豪記唱片群星拜年
Rain鄭智薰小巨蛋演唱會
金在中演唱會
今日頭條
1
確定了!北市府撤銷京華城20%容積獎勵
2
解決吸菸區、鼠患、公館圓環?沈伯洋回應
3
三民光澤侵害病人隱私 罰50萬、停業半年
4
週末飆37度!這時恐有颱風生成對台影響曝
5
高三生蛋洗學務處 公開信曝:問心無愧
6
高雄6/3大停水!最長15小時 影響21萬戶
7
赴日小心!日本爆發神秘感冒東京也淪陷
8
花22元中千萬!「少做一事」獎金全充公
9
温嵐敗血送加護1週!經紀人證實無法出院
10
45萬存股族哭了!這檔被提款逾14萬張
HOT焦點
更多
早餐水果沒吃夠?營養師教超商水果補充術
家裡怎防老鼠之亂??專家曝新大樓兩優勢
Razer女神yunocy登COSMOS
頻道推薦
直播✦活動
三立新聞網
為了提供更好的閱讀內容,我們使用相關網站技術來改善使用者體驗,也尊重用戶的隱私權,特別提出聲明。
了解最新隱私權聲明
知道了