APP下載
活動
爆料
圖輯
AI爆報
追蹤新聞
3
台灣彩券開獎直播中
三立iNEWS新聞台線上直播
LIVE三立+24小時直播
即時
館長遭毀滅爆料
普發一萬
新聞
熱門
政治
社會
娛樂
生活
新奇
健康
國際
兩岸
運動
財經
房產
旅遊
科技
汽車
遊戲
ESG
影音
總覽
政論
節目
熱搜
直播
iNEWS
專題
總覽
特企
專頁
大事件
彩券
專欄
民調
快訊
連續4年賺逾半股本 嘉實上櫃首日漲25%
23:55
匯損海嘯掃壽險!中信金獲利逆勢創高
23:52
黃明志哭窮求新歌贊助商!網不買單罵爆
23:49
綠營北市長徵召1月出爐 「3大咖」被點名
23:34
鍾年晃:中國對日反制,高市早苗民調狂飆
23:16
吳詩儀完封烏茲別克好手 年終賽至少銅牌
23:14
救災車竟違法!消防原廠車易刁車 盼修法
23:05
3生肖有望年底暴富 年終飆漲「想窮都難」
23:05
台積寶寶跑贏人口大盤 理由曝光
23:00
和粿粿范姜有私交 《棒棒堂》小煜說話了
22:49
音檔爆國台辦!館長回應資金來源喊話小瑋
22:48
周杰倫爆粗口 曝專輯卡關內幕:把人逼瘋
22:47
4生肖12月好運到!屬蛇升職、加薪樣樣來
22:45
新/美股開盤一片綠 它獲巴菲特加持逆漲5%
22:44
亞洲版納斯達克!台灣創新版派「他」攬客
22:41
黃國昌提基隆模式 他:帶民眾黨走向毀滅
22:36
剛與T1締造三連霸 FMVP射手Gumayusi離隊
22:35
6家虛幣公司踩紅線 金管會出手開罰702萬
22:23
外送運價公式草案出爐!新2規定可再收費
22:23
金曲歌王印尼水災停電 又爆水痘+蕁麻疹
22:21
台灣彩券開獎直播中
20:31
《左撇子女孩》蔡淑臻 代言海芙電音雙波
12:30
台北國際廚藝挑戰賽 13國700組高手齊聚
14:00
普發現金放大術!輝葉加碼搶商機
14:00
13米高聖誕樹點燈!營造滿滿威尼斯氛圍
13:00
入主14期生活圈!「聚佳豐美」磁吸北台中
17:00
苦瓜胜肽功效與吃法全解析
16:00
PP石墨烯持續推動公益發揮企業影響力
16:00
初選登記幕僚代辦 林岱樺留高雄勘查防災
13:30
及早控制避免「肝炎三部曲」威脅!
13:00
28天無腦窈窕 由內而外打造纖女體質
12:00
金管會擴大微型保險承保對象 納入新住民
10:30
首頁
關鍵字
胸痛
胸痛
那對夫妻愛女病況曝 有特級護理人員照顧
網紅「那對夫妻」Nico品筠、Kim京燁結婚多年,育...
2025/11/11 17:22
「癌王肺癌」9徵兆 醫:逾7成確診已癌末
《好小子》男星顏正國肺腺癌病逝,年僅50歲。長安醫院...
2025/10/08 08:40
顏正國肺腺癌逝!初期3症狀 1狀況快就醫
《好小子》男星顏正國肺腺癌病逝,年僅50歲,肺癌為近...
2025/10/08 05:17
咳嗽誤以為感冒 醫:逾7成確診已癌症末期
感冒咳嗽是常見症狀,主要由病毒感染引起呼吸道發炎刺激...
2025/09/10 08:56
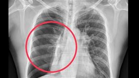
高瘦男胸痛以為火燒心!醫照X光:氣胸了
許多人有胃食道逆流的困擾,還可能引發胸悶問題。肝膽腸...
2025/08/08 15:49
郁方公公曾患心包膜炎 感冒1徵兆快就醫
女星郁方公公陳君毅今(14)日傳出,與好朋友在土耳其...
2025/04/14 17:11
主動脈剝離易誤判 醫:出現3狀況快就醫
近年不時傳出有年輕人主動脈剝離喪命消息,對此,重症醫...
2025/02/17 15:43
王嘉爾驚傳胸痛送醫!經紀公司緊急發聲了
男星王嘉爾擁有帥氣外型以及堅強的歌唱實力,出道後累積...
2025/01/27 04:37
天冷泡澡「1症狀」以為累了 竟心梗猝死!
近來天冷,一名50多歲的男子泡澡時,突覺左胸口與左上...
2025/01/15 10:15
胸痛不一定是心臟病!醫解析:恐是2種病
醫者診所創辦人、前台大醫院院長李源德近日在臉書「醫者...
2024/12/03 18:00
李千娜深夜胸口劇痛送醫 演出活動急喊卡
歌手李千娜出道多年唱紅許多歌曲,深受許多粉絲喜愛,本...
2024/11/20 19:53
前警政署長猝死!5症狀易忽略:肚子脹也中
繼南投草屯鎮長簡景賢18日晚間猝死、享壽65歲後,警...
2024/11/20 10:06
胸悶是感冒?新冠?醫師分3大情境說明
胸悶、胸痛、呼吸困難日常並不罕見,胸腔內的器官等出現...
2024/11/06 18:15
忽略2症狀 42歲男起床竟「心梗+中風」!
心血管問題不只會引發心梗,也會導致腦中風。一名42歲...
2024/10/25 07:38
名中醫逝!心臟病不只胸痛 醫示警3部位
北市知名中醫師覺宗宏近日驚傳赴日旅遊時因突發性心臟病...
2024/06/29 07:01
40歲男染流感狂咳 X光一照:肋骨斷掉了
春節後流感疫情呈上升趨勢,疾管署23日表示,近期流感...
2024/02/26 17:22
她吃藥犯1禁忌慘了!醫搖頭:隨時會猝死
北部一名60歲婦人先前因胸悶胸痛就醫,醫師進行檢查後...
2023/10/12 09:03
得過A流沒事?醫警告:恐再中另種病毒株
現在除了A流,還有多種病毒株。小兒科醫師林智葳表示,...
2023/09/26 12:46
他吃完藥秒躺慘了 醫一看嘆:食道被腐蝕
要是身體出現不舒服,許多民眾都會吃藥緩解症狀,不少人...
2023/09/04 05:35
婦1習慣血管10年塞3次亡!醫:這種人不少
一名61歲婦人三高病史已經20年,但卻不聽醫囑,藥物...
2023/08/10 11:48
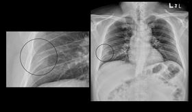
胸痛勿輕忽! 圖解氣胸5大成因一次搞懂
台中27歲簡先生身材高瘦,擁有總讓旁人羨煞吃不胖的體...
2023/05/19 07:00
女大生沒抽菸肺癌第4期 醫揭一招揪出病
肺癌連年蟬聯十大癌症死亡率之冠,其中小細胞肺癌更是肺...
2023/04/16 09:23
內科醫胸痛3個月 求診揪病因:恐猝死
新竹一名57歲的內科醫師,胸悶胸痛長達三個月,某天身...
2023/03/20 13:20
8旬翁胸痛昏倒!食道塞滿食物清了1小時
83歲陳姓老翁餐後感到胸口疼痛,不久昏倒在地,急救送...
2023/02/24 16:37
獨/黑人染疫胸痛 醫:再拖恐「裂開」
國泰綜合醫院收治一名年輕的非裔外籍人士,這名男性病患...
2023/02/03 06:15
低溫颳大風!女子出遊胸痛無法喘氣倒地
日前新竹關西服務區,一位陳姓女子下車後突然感到胸部疼...
2023/01/27 08:58
打球胸悶「想起1往事」 直衝醫院心跳停
中部一名年近60的大叔喜歡打乒乓球,某一天晚上他一如...
2023/01/19 10:19
憂主動脈剝離 阿Ben爆胸痛首露面曝分房
阿Ben(白吉勝)和徐小可一家人昨參觀「小美人魚特展...
2022/12/15 08:32
獨/阿Ben胸痛送醫 徐小可憂主動脈剝離
43歲阿Ben(白吉勝)與40歲藝人徐小可(許暐翎)...
2022/11/10 10:02
秋冬還只穿短袖?溫差大當心「血管痙攣」
時序入秋,天氣漸冷,尤其日夜溫差大,不只老人家要注意...
2022/10/13 15:23
最新圖輯
更多
劉書宏專訪
袁澧林、陳孝萱專訪
第36屆金曲獎星光大道
第36屆金曲獎得獎圖輯
NMIXX林口體育館粉絲演唱會
KISS OF LIFE台北演唱會
林芯儀專訪
GYUBIN大巨蛋開球
陳謙文專訪
孫麥傑專訪
今日頭條
1
綠營北市長徵召1月出爐 「3大咖」被點名
2
國3火燒山…勾地獄景:勿放慢觀望!
3
轉運站車輛爆炸!男破頭被拖出:在烤肉
4
南港汐止塞爆!他卡車內2小時:從沒見過
5
新北不普發4.6萬 卓冠廷:就是她反對
6
中國取消「中日友好活動」薛劍原本要出席
7
彰檢搜索龍忠蛋行 釐清芬普尼蛋流出疑點
8
史上最貴跳槽? 前台積電V姊轉戰輝達
9
獨/比照選舉公報 林飛帆曝19日普發這項
10
小粉紅轟高市「災女」!嗆:日本車注意囉
HOT焦點
更多
28天無腦窈窕 由內而外打造纖女體質
台灣健保30週年涵蓋率達99% 獲國際肯定
嘉義市城市博覽會 三金陣容為城市譜曲
頻道推薦
直播✦活動
三立新聞網
為了提供更好的閱讀內容,我們使用相關網站技術來改善使用者體驗,也尊重用戶的隱私權,特別提出聲明。
了解最新隱私權聲明
知道了