APP下載
活動
爆料
圖輯
AI爆報
追蹤新聞
4
美軍史詩怒火狂炸2000目標
台灣彩券開獎直播中
三立iNEWS新聞台線上直播
LIVE三立+24小時直播
即時
美以突襲伊朗
對等關稅違憲
新聞
熱門
政治
社會
娛樂
生活
新奇
健康
國際
兩岸
運動
財經
房產
旅遊
科技
汽車
遊戲
ESG
影音
總覽
政論
節目
熱搜
直播
iNEWS
專題
總覽
特企
專頁
大事件
彩券
專欄
民調
快訊
欠債軍人遭中共吸收涉洩密 3人遭起訴
21:40
找到了!迪麗熱巴發文曝光人在馬來西亞!
21:28
明短暫回溫!週五東北季風再增強天氣濕冷
21:23
沙國最大煉油廠驚傳又被攻擊!油市風險升
21:18
美伊開戰 德國憂新一波中東難民潮
21:17
卓揆「不副署」3爭議法案 國民黨回應了
21:11
驚蟄12生肖運勢一次看 5類人桃花偏財同炸
21:06
她酸蔡瑞雪只能營銷北一女:也不是憑實力
21:06
太子集團洗錢107億!9羈押被告通通交保
21:05
阿聯酋復航501旅客返台!桃機送1物保平安
21:04
麵攤女兒前進市議會 卓佩于拚出線
21:00
宋雨琦示範穿搭 讓經典走進女孩的日常
20:57
看好台灣晉級!蔡阿嘎「親赴東京做法事」
20:49
聲援伊朗只是喊喊?中國手腳被看破
20:32
BTS柾國住家遭私生闖入 檢方火速起訴
20:32
明驚蟄逢天赦日!5星座超旺 偏財還能脫單
20:29
野獸林志傑超人氣 小巨蛋引退賽門票售完
20:23
WBC/台灣隊首戰對澳洲!台灣運彩賠率曝
20:14
孝子工人國賓大飯店墜樓亡 姊慟認屍
20:08
獨/長輩圖醜又煩?真相催淚:是在報平安
20:07
台灣彩券開獎直播中
20:31
美軍史詩怒火狂炸2000目標
14:45
「台八男神」龍語申「肌」情預告!
17:00
純喫茶X《傳說對決》限時虛寶登場!
10:00
賓果賓果鬧元宵 大樂透、今彩539續加碼
12:00
開工打造好運勢 小人退散能量水晶迎貴人
12:00
祥獅獻瑞迎開工!愛妮雅集團新年藍圖首曝
17:00
瘦身急救章 一秒塑身穿上小號緊身洋裝
11:00
初九天公生 松山奉天宮備平安麵共享
16:00
捷運七張站走路2分鐘 友座明明德機能到位
15:00
開學換機酷澎火箭速配隔日到貨
10:00
企業暖心故事 一份工作撐起整個家
13:00
Xtars人氣直播主大揭密 鏡頭下的甘苦
13:00
土城永福岩清水祖師廟擲筊大賽 頭獎百萬
12:00
初一金山財神廟湧人潮 聯名蛋捲禮盒喜氣
11:00
「星城Online x戲說台灣」單元劇引爆話題
12:00
首頁
關鍵字
傅軍毓
傅軍毓
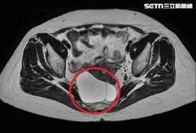
因禍得福!她車禍意外揪直腸藏10CM腫瘤
台中一名44歲張姓女子,因發生車禍送醫,安排腹部電腦...
2026/03/04 14:09
婦出車禍反保命 意外揪出直腸長腫瘤
44歲張婦因車禍送醫安排腹部電腦斷層檢查,結果意外發...
2026/03/04 12:58
最新圖輯
更多
初孟軒、鍾岳軒專訪
龍千玉與翁立友領豪記唱片群星拜年
Rain鄭智薰小巨蛋演唱會
金在中演唱會
羅志祥30周年演唱會
凱琳專訪
黃鐙輝、吳念軒、黃騰浩專訪
第62屆金馬獎得獎後台
第62屆金馬獎紅毯
劉書宏專訪
今日頭條
1
藍白強行通過3爭議法案 卓揆「不副署」
2
太子集團洗錢107億!9羈押被告通通交保
3
火速支援WBC 白飛一趟張政禹也喊無所謂
4
阿聯酋復航501旅客返台!桃機送1物保平安
5
台灣人集結東京巨蛋!超壯觀畫面曝光
6
助理李俊敏被控當中國密使 賴士葆回應了
7
以色列空軍F-35德黑蘭上空擊落伊朗噴射機
8
保時捷戰賓士!甩尾撞擊、砸車大亂鬥
9
嘉義女騎士「入縫2秒」巨輪斷魂畫面曝光
10
演藝圈乳癌女星盤點 她抗癌2年不幸病逝
HOT焦點
更多
開工打造好運勢 小人退散能量水晶迎貴人
祥獅獻瑞迎開工!愛妮雅集團新年藍圖首曝
捷運七張站走路2分鐘 友座明明德機能到位
頻道推薦
直播✦活動
三立新聞網
為了提供更好的閱讀內容,我們使用相關網站技術來改善使用者體驗,也尊重用戶的隱私權,特別提出聲明。
了解最新隱私權聲明
知道了