APP下載
活動
爆料
圖輯
阿立導讀
追蹤新聞
4
開嗆蔡壁如 柯文哲最新回應
台灣彩券開獎直播中
三立iNEWS新聞台線上直播
LIVE三立+24小時直播
即時
尹衍樑辭世
馬辦風暴延燒
新聞
熱門
政治
社會
娛樂
生活
新奇
健康
國際
兩岸
運動
財經
房產
旅遊
科技
汽車
遊戲
ESG永續
影音
總覽
政論
節目
熱搜
直播
iNEWS
專題
總覽
特企
專頁
大事件
彩券
專欄
民調
快訊
洗手台見滿滿石頭?內行人揭3大實際用途
10:07
薔蜜這天接近台灣!梅雨接力 恐連轟7天↑
10:06
彰化慶安宮開講 劉世芳籲強化防衛韌性
10:03
鄧愷威繳5局7K 相隔775天首度單場挨2轟
10:03
蔣萬安疑變電所拖16年!他嗆北市擺爛23年
10:02
擷發科技COMPUTEX秀肌肉 AI載具首度曝光
10:01
秦慧珠賭100萬沈伯洋選不上 蔣萬安回應
10:01
他婚宴包3600元看菜色氣炸 眾人傻眼
10:00
UniGirls參加台灣日 剛好碰上鄧愷威先發
09:58
魏如萱遭《歌手》淘汰 她發聲認1失誤
09:57
6月新制/夏季電費多付446元 忘做1事罰錢
09:56
詐助理費判7年10月!陳怡君現身挺沈伯洋
09:55
荷莫茲海峽持續封鎖 恐引爆全球燃料危機
09:55
另一半拿「飲料拉環求婚」女星怨:不浪漫
09:46
問Meta AI:脆有中國網軍?誠實回答笑翻
09:46
偷拍5女大生如廁 他挑選國北教原因曝光
09:45
好市多上架「省錢救星」!網推:夏天標配
09:43
新/四張犁公園命案!婦雙腳懸空陳屍樹下
09:41
東契奇當老闆 聯手尼爾森收購羅馬球隊
09:40
無緣6月前破大谷紀錄?村上宗隆跑壘拉傷
09:38
台灣彩券開獎直播中
20:31
台彩端午加碼8億元創新高
19:00
大樂透加碼100組100萬元
19:00
開嗆蔡壁如 柯文哲最新回應
09:52
新冠不再冬季限定!醫示警夏季疫情恐升溫
11:00
鼠患+大雨 遛毛孩小心積水藏致命細菌
18:00
「人偶系」女神幸まる進駐COSMOS展
12:00
愛妮雅拚轉型 透過心理學重塑主管養成
10:00
首頁
關鍵字
氣管
氣管
水泥塚驚見5歲童!氣管塞滿泥沙竟遭活埋
巴西聖保羅州驚傳恐怖虐殺案!一名年僅5歲的女童瑪麗亞...
2026/04/30 17:27
咳嗽吃橘子?醫解答:「這種咳」吃恐更慘
橘子富含維生素C、類黃酮及膳食纖維,具抗氧化、提升免...
2026/04/18 15:09
慢性咳嗽怎麼咳都不會好?掌握「3要訣」
羅晞蕾營養師指出,慢性咳嗽持續逾三週,常非單一原因,...
2026/03/27 10:10
男健身吸不到氣?醫揭運動氣喘用藥時機
蘇一峰指出,這名男子每次在健身房激烈運動後,就會出現...
2026/03/02 00:59
孩子咳不停「爸求最強止咳藥」!醫搖頭了
兒童夜間狂咳,不只孩子難受,家長更是身心俱疲。一名爸...
2026/02/26 13:20
阿嬤餵吃花生1歲童肺部塌陷!醫怒曝風險
幼童誤食堅果導致氣道阻塞的意外時有所聞,但仍不時重演...
2026/02/12 18:03
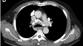
血管變氣管?台大醫揭「軟骨再生」之謎
在國科會長期計畫支持下,台大醫院外科部特聘教授陳晉興...
2026/02/04 18:27
他胸悶檢查見鵝蛋大腫塊 醫:5症狀是警訊
一名60歲男性長期胸悶、呼吸不順,就醫檢查發現,一顆...
2025/10/04 12:14
她頸部腫脹、氣管擠歪竟揪「芭樂大」腫瘤
74歲黃女士10年前因右側甲狀腺結節問題,在他院接受...
2025/04/29 10:37
正妹吃完麻辣鍋10分鐘後亡 醫揭恐怖肇因
大陸河南13日發生一起離奇命案!一名26歲的正妹與朋...
2025/04/14 15:44
員林市長肺癌轉移淋巴逝!醫:難防又難治
彰化縣員林市長游振雄11日凌晨驚傳病逝,享壽63歲,...
2025/01/11 11:51
小心窒息風險!他難入眠竟甲狀腺結節壓迫
台南一名45歲陳姓男子,2年前健檢時發現右側甲狀腺有...
2025/01/03 10:40
大叔邊吃飯邊聊天 整隻蝦卡氣管險喪命
有人吃飯愛聊天說話,看似稀鬆平常,但這個動作卻差點要...
2024/12/11 16:58
假牙掉支氣管卡住!59歲男發高燒住進ICU
彰化一名59歲許姓男子,因車禍臥床20年,在民間護理...
2024/11/21 15:47
男狂咳、噴黃痰!醫嚇:氣管內有大蟑螂
中國海南省近日出現一起奇特病例,一名男子因頻繁咳嗽,...
2024/08/31 09:17
颱風天騎車電線繞頸險死 醫1招救命登國際
24歲的曾先生在去年小犬颱風時,傍晚從下班處騎機車回...
2024/08/21 14:32
7旬翁噎到吞白飯險丟命 醫揭2動作是大忌
進食時有時候一不小心會被食物噎住,有些人會再進食試圖...
2024/08/16 16:31
咳嗽2年多以為肺癌!醫揪元凶:火鍋害的
身體若有反常,千萬不要拖,趕緊就醫檢查比較保險。中國...
2024/07/21 08:47
捏鼻閉嘴強忍噴嚏!下秒頸部劇痛氣管撕裂
全球首例!有名30歲的男子在開車時,突然想打噴嚏,但...
2023/12/12 21:47
85歲翁住院治胃病「假牙掉肺裡」家屬崩潰
大陸常州一名長者因胃病住進一家民營醫院,在住院治療期...
2023/10/30 16:15
父母忙顧麵攤!嬰插管「鼻喉全是餿水」
許多家長都相當關心孩子所處的環境是否安全,但世界上仍...
2023/10/13 09:02
最多國人感染的「魔王株」是它 佔67%
目前每天約有1萬人感染新冠,指揮中心今(2)公布最多...
2023/03/02 14:13
肚臍原來有穴位常按就有效 有3種養生法
講到中醫,許多人會連想到喝中草藥,但其實中醫還有很多...
2023/03/02 07:00
塵肺症結石鑿穿食道 醫示警:嚴重恐換肺
國內出現因為塵肺症讓氣管、食道被結石「鑿洞」的個案,...
2022/11/03 17:22
咳嗽竟噴出石頭 男子食道被結石「鑿洞」
一名60多歲男性,從事石雕工作達20~30年,長期有...
2022/11/03 17:03
2歲童吞下水果籽 醫一照嚇:發芽了
小朋友發育尚未完整,有果核食物建議少讓孩童吃,中國廣...
2022/08/22 21:41
害男童狂咳5年元兇 竟是「一朵花」
澳洲一名男童,從小吃東西容易噎到,家人一直以為他先天...
2022/08/19 16:37
邊走邊喝珍奶!少年珍珠嗆到氣管不治
對珍奶控而言,珍珠奶茶就是不管天氣如何,四季都能喝的...
2022/07/25 05:46
50歲男「咳出一根人參」畫面超震撼
家庭醫學科醫師闕壯理今(18)日分享,國外一名50歲...
2022/06/18 20:33
7個月嫩嬰確診!爸媽奔醫院:像地獄
新冠肺炎疫情升溫,不少孩童也接連確診,一名人父就分享...
2022/05/12 19:34
最新圖輯
更多
茉ひるMahiru專訪
簡莉紋專訪
大霈專訪
劉冠廷專訪
林予晞、王真琳專訪
李雪、陳昱廷專訪
初孟軒、鍾岳軒專訪
龍千玉與翁立友領豪記唱片群星拜年
Rain鄭智薰小巨蛋演唱會
金在中演唱會
今日頭條
1
馬辦遭控職場霸凌 她揭金溥聰狠毒往事
2
新/透天厝…無預警「倒塌脆化」慘況曝!
3
雅方冰品遭控摻細白不明物 二代千金道歉
4
新/四張犁公園命案!婦雙腳懸空陳屍樹下
5
魏如萱遭《歌手》淘汰 她發聲認1失誤
6
台灣首季GDP飆破14% 甩中日韓美差距驚人
7
草蜢蔡一傑傳癌細胞擴散暴瘦 本人發聲了
8
薔蜜估今轉中颱 橫掃日本各地時程一次看
9
在基隆國門廣場「親密」!脫序男女找到了
10
問Meta AI:脆有中國網軍?誠實回答笑翻
HOT焦點
更多
COSER體驗「EVO ICL」 美瞳自由升級
2026縣市施政王揭曉!嘉義市奪9金3銀
台灣人瘋海外置產! 吉隆坡豪宅首來台公開
頻道推薦
直播✦活動
三立新聞網
為了提供更好的閱讀內容,我們使用相關網站技術來改善使用者體驗,也尊重用戶的隱私權,特別提出聲明。
了解最新隱私權聲明
知道了