APP下載
活動
爆料
圖輯
阿立導讀
追蹤新聞
3
台灣彩券開獎直播中
三立iNEWS新聞台線上直播
LIVE三立+24小時直播
即時
賴突破中國打壓
台北爆鼠患
新聞
熱門
政治
社會
娛樂
生活
新奇
健康
國際
兩岸
運動
財經
房產
旅遊
科技
汽車
遊戲
ESG永續
影音
總覽
政論
節目
熱搜
直播
iNEWS
專題
總覽
特企
專頁
大事件
彩券
專欄
民調
快訊
伊朗停火後攻擊美軍逾10次!美防長發聲了
22:31
韓船遇襲!川普點名出兵護衛 青瓦台回應
22:31
獨/房仲子杰疑過勞猝逝 陳泰源感嘆一事
22:27
伊朗外長訪中時間曝!是否見習近平受矚目
22:24
母突遭貨車撞飛急送ICU搶命 何美淚憶經過
22:21
4隻小虎鯨擱淺淡江大橋 搶救安置八斗子
22:20
林書緯助國王續命 喊話為老將AD退休而戰
22:19
太怕烏方無人機?俄大閱兵前先大規模斷網
22:18
賴總統出訪搭史王專機返台 學者曝優勢
22:17
扯!「庫錢」拆開變牛皮紙 民俗專家開批
22:08
阿巴西外線8投0中 謝亞軒飆28分難救特攻
22:08
愛犬交給保母竟成永別 尋獲已成冰冷遺體
22:01
115全障運開幕卡司揭曉 畢書盡擔綱演出
22:00
劉基鴻炸再見轟 兄弟連2戰延長賽0分吞敗
22:00
新/13縣市大雨特報 一路下到明天凌晨
22:00
郵輪漢他病毒奪命 WHO:恐已爆罕見人傳人
21:56
安鼠之亂!議員踢爆「鼠類偵防師」才86人
21:50
福斯跨界出招!折疊車還能當行動電源
21:50
韭菜逆襲/蛇吞象收購?大賣空出清持股
21:41
韭菜逆襲/遊戲驛站砸555億鎂 收購eBay
21:40
台灣彩券開獎直播中
20:31
逸硯空間設計年營收破3億 拚上市再掀話題
13:00
益生菌吃心酸?醫師點破「盲買迷思」
12:00
寵妻魔人用這台 幫老婆被動運動紓壓
14:00
裝潢資訊不透明引爭議 AI試算工具成趨勢
13:00
輝葉AI追夢椅精準按摩 小三都甘敗下風
20:00
遶境挑戰行動力!天地合補提供靈活補給
19:00
友華生技「愛斯康」成信眾最強健康後盾
12:00
高壓焦慮引發掉髮 醫師:及早介入可改善
16:00
落枕救星「PP石墨烯智能調節記憶枕」
15:00
年度電競盛事熱血回歸!即日起開放報名
19:00
花蓮復康免費搭乘 身障就醫行動無礙
12:00
台灣大哥大出優惠方案 實現Apple生態圈
12:00
首頁
關鍵字
瘜肉
瘜肉
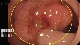
遺傳讓大腸塞滿數百顆瘜肉 男全大腸切除
家族性腺瘤性瘜肉症(Familial Adenoma...
2025/11/02 10:13
不喝冰水又蔬食!何妤玟卻照出2大腸瘜肉
何妤玟生活重心拉回自己身上,不僅學各項才藝,還曾拍寫...
2025/06/22 14:31
切9瘜肉畫面曝!陳水扁病倒…化驗出爐了
不是裝睡叫不醒!前總統陳水扁16日突在社群媒體po出...
2025/06/19 08:24
新/陳水扁血便切9顆瘜肉!化驗結果出爐
前總統陳水扁本月16日貼出了一張躺在病床上的照片,並...
2025/06/18 23:23
陳水扁病倒了…血便切8顆瘜肉:不是裝睡
身體健康最重要!前總統陳水扁今(16)日上午突在社群...
2025/06/16 09:59
曾沛慈子宮驚長數顆瘜肉 認生子計畫喊卡
女星曾沛慈近幾年跨足影視歌三棲,商演、代言工作邀約不...
2025/03/04 16:16
出血性瘜肉動刀 蔣卓嘉術後復原狀況曝
歌手GJ蔣卓嘉推出全新音樂計畫「早C晚A三部曲」,以...
2024/11/21 12:17
蔣卓嘉爆聲帶出狀況 入院動刀停工計畫曝
GJ蔣卓嘉2024推出全新音樂計畫「早C晚A三部曲」...
2024/10/23 17:12
1.5公分瘜肉藏癌 婦人靠定期篩檢救命!
台中一名50歲林姓婦女在糞便潛血篩檢中呈現陽性反應,...
2024/10/16 11:14
男糞便潛血篩檢陽性 盲腸藏4公分大瘜肉
台中烏日一名73歲羅先生患有三高病史,平常相當注意健...
2024/09/29 16:03
男鼻塞感冒狂流血 竟遭10公分乳突瘤堵住
電腦斷層顯示黃先生右側鼻腔鼻竇幾乎全塞住,很像常見的...
2024/05/05 09:30
吞口水都痛!男食道竟躲「7公分腫瘤」
47歲的阿鴻從事農產品運輸業,每天送貨時檳榔、香菸不...
2023/05/30 19:15
水便超過兩週以上注意了! 可能有癌腫瘤
常常解水便正常嗎?義大醫院胃腸肝膽科科主任王文倫表示...
2023/05/07 16:54
獨/李坤城健檢正常為何腸癌逝?醫揭盲點
因譜出「爺孫戀」轟動一時的資深音樂人李坤城,於8日晚...
2023/04/10 10:30
嘴唇手指有黑斑+血便 醫:惡性腫瘤體質
腸胃科醫師發現,大腸癌患者有年輕化趨勢。日前一名30...
2022/12/15 17:52
19歲弟日吃1物長瘜肉 醫:3年定變大腸癌
現代人飲食精緻、多外食,不少專家建議日常應多選擇白肉...
2022/10/11 11:08
新突破!大腸癌病灶「AI揪出來」準確度95.8%
大腸癌發生率在全國排名第一,國內每年新增1萬7000...
2022/09/27 11:11
植化素促癌症凋亡!這時間吃蔬果最強
蔬菜水果含有豐富植化素(Phytochemicals...
2022/09/12 17:58
它在子宮內搞鬼 女陰道出血長達半年
台中未婚33歲王小姐半年來月經不規則,陰道斷斷續續出...
2022/01/24 07:05
鼻孔被瘜肉塞滿!女子聞不到愛的氣味
38歲全職主婦蔡小姐年紀輕輕但有糖尿病和高血壓慢性病...
2021/01/29 08:56
大腸癌存活率9成 中醫曝飲食是關鍵
演出漫威電影《黑豹》而備受矚目的黑人男星查德威克鮑斯...
2021/01/04 12:49
切大腸瘜肉後就抽菸 50歲男腸穿孔
劉先生趁等待醫師解說的時間,自行跑去抽菸、吃東西,結...
2020/08/23 07:05
名嘴驚爆罹怪病 又驗出「癌變前兆」
資深媒體人狄志為常出現在各大談話性節目,對於各種議題...
2020/08/03 14:46
李登輝飲食清淡卻得腸癌 醫這樣解釋
前總統李登輝在2011年在接受健檢時發現罹患大腸癌,...
2020/07/31 10:16
大腸息肉現形!「絨毛型」恐變大腸癌
近年來因豬哥亮、賀一航、余苑綺等名人相繼罹患大腸(直...
2019/11/23 11:52
特色嗓音狂被虧!熊熊不忍了曝原因
女星熊熊(卓毓彤)擁有惹火身材、甜美臉孔,是不少男性...
2019/09/07 16:16
大便有血是腸癌?別緊張!這四種也會
大腸癌是台灣最常見的癌症之一,國內大腸癌罹癌人數已連...
2019/08/25 14:35
慎入!醫曝數張「腸癌」恐怖真面貌…
藝人賀一航於2011年確診罹患大腸癌第三期,手術後選...
2019/06/05 08:50
冒百顆瘜肉便祕 這遺傳100%癌變
一名38歲林女士便秘、血便3年,自以為是痣瘡,做大腸...
2019/05/10 11:50
可怕恐怖遺傳!女子大腸竟塞百顆瘜肉
38歲林女士便秘、血便三年,自以為是痣瘡,做大腸鏡檢...
2019/04/28 10:27
最新圖輯
更多
茉ひるMahiru專訪
簡莉紋專訪
大霈專訪
劉冠廷專訪
林予晞、王真琳專訪
李雪、陳昱廷專訪
初孟軒、鍾岳軒專訪
龍千玉與翁立友領豪記唱片群星拜年
Rain鄭智薰小巨蛋演唱會
金在中演唱會
今日頭條
1
新/13縣市大雨特報 一路下到明天凌晨
2
新/美軍出手奪戰果 美股開盤4大指數齊漲
3
神佈局!國安官員曝賴清德借史國專機始末
4
落雷電纜斷線!台中北屯2212戶停電搶修
5
高雄桶仔雞老店爆食物中毒!9人上吐下瀉
6
顏寬恒涉貪判7年10月!檢盼延長限制出境
7
理監事未改選 徐春鶯兩岸婚姻聯盟遭解散
8
北市里長批李四川昔1政策:成為鼠疫溫床
9
不叫殘障了!陳佩琪喊斑斑:身心障礙的狗
10
安鼠之亂!議員踢爆「鼠類偵防師」才86人
HOT焦點
更多
益生菌吃心酸?醫師點破「盲買迷思」
遶境挑戰行動力!天地合補提供靈活補給
友華生技「愛斯康」成信眾最強健康後盾
頻道推薦
直播✦活動
三立新聞網
為了提供更好的閱讀內容,我們使用相關網站技術來改善使用者體驗,也尊重用戶的隱私權,特別提出聲明。
了解最新隱私權聲明
知道了