快訊
聽新聞
0:00 0:00

8旬婦肝功能異常就醫竟肝癌!醫示警「4大症狀」恐晚期

記者簡浩正/台北報導

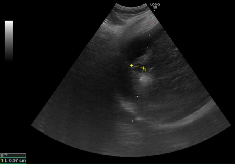
圖為超音波導引下的電燒治療,黃色標記處為肝臟腫瘤,周圍白色處為氣化範圍。(圖/台北慈濟醫院提供)
圖為超音波導引下的電燒治療,黃色標記處為肝臟腫瘤,周圍白色處為氣化範圍。(圖/台北慈濟醫院提供)

83歲的黃女士因身體不適到醫院就診,就診過程中意外發現肝功能異常,進一步檢查發現一顆約1.5公分的肝臟腫瘤,確診為第零期肝癌,同時也發現黃女士患有B型肝炎,卻因沒有症狀所以不曾進行相關治療。所幸發現及時,由醫師執行電燒治療,術後三天黃女士順利出院,目前僅需定期追蹤避免復發。

台北慈濟醫院胃腸肝膽科醫師鄭煜明指出,台灣肝癌的高危險族群主要與B、C型肝炎相關,B型肝炎約佔五成、C型肝炎約四成,其餘則與脂肪肝或酒精肝等有關。雖然隨著疫苗及抗病毒藥物的普及,肝癌整體發生率逐年下降,但一旦感染過B、C型肝炎,就有罹癌風險,且患者年齡層有增加趨勢。肝癌初期幾乎沒有症狀,隨病情惡化,若腫瘤壓迫到膽管可能出現黃疸,晚期則多發生轉移,導致肝衰竭、腹水、食慾下降與體重驟減,嚴重影響生活,因此及早發現與治療是重要關鍵。

他說,根據臨床數據,零期肝癌治療後平均存活率超過10年以上,若延誤至第二期則縮短為約5年,第三期降至2.5年,若已轉移,存活時間僅剩半年。在第零期使用電燒治療普遍可根治,不需要化療,已經有遠處轉移才會考慮使用免疫療法及標靶治療。

他進一步說明,肝癌患者平均5年的復發率高達七成,因此電燒治療對於可能復發,需要多次治療的患者而言更具優勢,且此療法住院時間短,通常三日左右即可出院。但並非所有個案都適用,治療前需醫師評估凝血功能,若有凝血嚴重異常且無法透過治療矯正者,則不適用電燒治療。

鄭煜明提醒,肝臟疾病通常在初期難以發現,容易錯過治療佳機,建議45歲以上民眾終生主動接受一次B、C型肝炎篩檢,若是B、C型肝炎帶原者更需定期追蹤,若有相關症狀才可及早以藥物控制或規律追蹤。他強調,日常生活要注意避免飲酒過量、控制體重、規律運動,避免攝取久放的食物或不明來源的中草藥以免增加肝臟負荷,用均衡飲食取代過度進補觀念,並接種B型肝炎疫苗,以降低罹癌機率。

#祝你健康

【#直播中LIVE】《星廚之戰》首播記者會
大數據推薦
【94要客訴】媒體爆姻親金流!國昌:沒道歉會採法律行動
熱銷商品
頻道推薦
直播✦活動
三立新聞網三立新聞網為了提供更好的閱讀內容,我們使用相關網站技術來改善使用者體驗,也尊重用戶的隱私權,特別提出聲明。
了解最新隱私權聲明