APP下載
活動
爆料
圖輯
AI爆報
追蹤新聞
3
台灣彩券開獎直播中
三立iNEWS新聞台線上直播
LIVE三立+24小時直播
即時
黃明志捲命案
太子集團詐騙
新聞
熱門
政治
社會
娛樂
生活
新奇
健康
國際
兩岸
運動
財經
房產
旅遊
科技
汽車
遊戲
ESG
影音
總覽
政論
節目
熱搜
直播
iNEWS
專題
總覽
特企
專頁
大事件
彩券
專欄
民調
快訊
AI導入醫材 台灣穿戴設備商機來了!
22:00
江肇國轟:盧秀燕「一分鐘道歉甩鍋基層」
21:59
歐陽妮妮杭州豪宅曝光 想生3個遭尪拒絕
21:57
洗錢45億!太子集團在台操盤人等3人收押
21:51
獨/電動輔具當車開上路 時速可達30公里
21:48
四叉貓:嗆人混不下去的李彥增快進去蹲啦
21:47
天剛資訊內線交易案 董座3百萬元交保
21:45
謝侑芯家屬託人處理後事 聘保鑣全程保密
21:31
三重殺親姊妹命案 兇嫌竟是孝子
21:27
賴可白紗透視裝放送E奶深溝 洩極品曲線
21:16
解鎖日職一軍首安 陽柏翔增重拉麵吃到膩
21:06
驚傳電信福利沒了 一票人哀號:怎麼辦?
21:04
女星爆累以為壓力大 34歲竟罹癌切甲狀腺
21:03
資深男星淡出演藝圈 當廟公18年近況曝光
21:02
2025年最後一波水逆!4重災星座恐受影響
21:01
你願意用國產車的價格 入手福斯GTI嗎?
21:00
創作新人被趕出家門 謝恩師預支薪水求生
21:00
大盤震盪 防禦股王者中華電營收強
21:00
智寶國際再造萌商機 萌系手遊年底上線!
21:00
太子集團詐騙帝國崩壞!一圖秒懂犯罪組織
21:00
台灣彩券開獎直播中
20:31
離島醫療後送升級 噴射機後送爭分奪秒
21:00
近視矯正新科技網紅醫師談EVO ICL
15:00
中信房屋公益月 8場捐血活動傳遞生命希望
10:00
TCCF「集集」旅程啟航 臺韓共創浪漫劇
16:00
最愛小孩!「紗布衣、小橘帽」與孩童結緣
16:00
三高患者健康危機!流感、帶狀疱疹預防
12:00
外送員該是承攬還雇傭?她籲四方都要贏
18:57
首頁
關鍵字
腫塊
腫塊
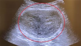
5旬女額頭長硬塊竟是骨瘤!見4症狀快就醫
身體上出現任何警訊都千萬別忽視,以免錯過最佳治療時間...
2025/10/31 15:16
她腹股溝突腫一塊急就診!醫嘆:皮膚破了
43歲的婷婷(化名),在右腹股溝處發現突出一顆吊鐘狀...
2025/08/20 10:09
野外現「腫瘤松鼠」專家示警:狗貓恐中招
美國維吉尼亞州(Virginia)野生動物救援機構伊...
2025/08/19 17:41
頸腫大如鴕鳥蛋險壓斷氣 68歲翁化療保命
68歲廖姓老翁今年初右側頸部出現一顆小腫塊,初期沒有...
2025/08/12 11:44
頸腫塊非運動傷!60歲男口交感染HPV致癌
英國漢普郡貝辛斯托克(Basingstoke)60歲...
2025/08/11 04:42
忍20年!她治牙揪腫塊竟是血管病變險致命
一位67歲女性,因牙周治療期間意外發現左下唇無症狀腫...
2025/07/16 11:10
脖子腫塊不會痛!1狀況恐是癌細胞轉移
身體出現異常一定要多留意!營養功能醫學專家劉博仁表示...
2025/07/08 11:22
他長期鼻塞竟是癌!醫嚇:鼻腔幾乎被塞滿
鼻咽癌是一種發生在鼻咽或是上咽喉部的癌症。耳鼻喉科醫...
2025/06/18 14:02
手腳5異常恐是癌警訊!醫:被腫瘤蛀空了
「手腳異常小地方,可能是救命大訊號」。醫師黃軒提醒,...
2025/05/25 08:47
她頸部腫脹、氣管擠歪竟揪「芭樂大」腫瘤
74歲黃女士10年前因右側甲狀腺結節問題,在他院接受...
2025/04/29 10:37
小指無法正常彎曲 她問GPT竟發現罹癌
來自英國的一名40歲女子,先前發現自己的小指沒辦法正...
2025/04/24 15:57
婦手術「肚子才剖開」黑心醫突加價23k
身體不適應及時就醫,但最怕遇到黑心醫師毀了下半生!大...
2025/03/28 21:00
台灣女性發生率第1 食用油恐幫乳癌生長
近年乳癌一直是台灣女性癌症發生率的第一位,其中又以「...
2025/03/25 18:58
陳凱倫扁桃腺癌!6症狀是警訊 確診常晚期
知名主持人陳凱倫,2022年11月被診斷罹患扁桃腺癌...
2025/01/14 08:26
胸口潰瘍塗偏方!台中女腫瘤變釋迦已癌末
乳房若出現小傷口,千萬別輕忽,可能是惡性腫瘤!台中一...
2025/01/03 17:33
乳房冒1公分腫塊 YTR開刀化驗結果出爐
YouTuber福爾思庭頻道風格多元,經常透過拍片分...
2024/12/19 08:54
周潤發慢跑驚見腿上有腫塊 他揭健康狀況
69歲「賭神」周潤發出道50年,拍過許多經典電視劇,...
2024/11/06 13:45
以為是針眼 竟是「罕見惡性皮脂腺癌」
「醫生,我的眼瞼邊緣處長了一顆小顆粒,看了3、4位醫...
2024/10/21 10:47
乳癌有基因密碼!家族有這兩項病史的快驗
「對症下藥」才能根治疾病,所以近年來非常講究精準醫療...
2024/10/18 12:14
年輕女罹最惡乳癌 5元大腫塊長成壘球
賴小姐25歲時於澳洲打工度假,一次洗澡時摸到左側乳暈...
2024/10/18 10:38
獨/開刀5小時 夏克立驚揭險癱瘓病況
52歲夏克立近來因因背部舊傷前往台中開刀,他表示醫生...
2024/05/28 11:26
聚餐後全身冒腫塊 60歲男眼張不開險休克
一名60歲男子近日聚餐引發嚴重過敏,全身多處蕁麻疹且...
2024/04/29 20:42
65歲男後腦長腫瘤禿一塊!醫驚:肺癌末期
南投草屯一名65歲羅姓男子,菸齡超過30年,長期咳嗽...
2024/04/19 12:26
婦大腿腫塊一週大一倍 結果是罕見惡性瘤
72歲張姓老婦近月來左側大腿後側都會隱隱作痛,甚至摸...
2024/02/04 13:20
16歲女胸部腫塊 考上大學才就醫:惡性了
根據衛福部資料,台灣平均每36分鐘就有1名女性罹患乳...
2024/02/02 21:09
淋巴癌竄國人癌症前十名!7大QA破解迷思
癌症為國人長年10大死因之首,許多民眾面對癌症時,常...
2023/10/28 05:00
藍波老師「鼠蹊部長瘤竟淋巴癌」醫曝關鍵
舞蹈老師藍波自曝8年前到醫院健檢時,診斷出惡性腫瘤,...
2023/10/14 20:06
醫示警:台灣肺腺癌患者很多和1原因有關
有醫師透露,曾遇過一名50多歲的女性要求做「胸部X光...
2023/09/16 08:02
沒食慾卻很飽?專家曝5症狀:恐癌症前兆
身體若出現疲倦、體重下降等症狀,千萬別輕忽,恐是罹患...
2023/09/05 11:18
男童肚裡藏著一個人!醫檢查驚:極罕見
家醫科醫師闕壯理在IG發文分享一個極罕見案例,一名1...
2023/09/03 08:14
最新圖輯
更多
劉書宏專訪
袁澧林、陳孝萱專訪
第36屆金曲獎星光大道
第36屆金曲獎得獎圖輯
NMIXX林口體育館粉絲演唱會
KISS OF LIFE台北演唱會
林芯儀專訪
GYUBIN大巨蛋開球
陳謙文專訪
孫麥傑專訪
今日頭條
1
洗錢45億!太子集團在台操盤人等3人收押
2
補充保費改革踩煞車 卓榮泰指示暫緩規劃
3
目睹老公砍死大姑!她坐地抱頭哭:怎麼辦
4
新/屏東特斯拉導彈式追撞 奪命瞬間曝光
5
高明慧:組TEAM TAIWAN影視隊 共創新局
6
閃兵刑責擬加重2/3!逾36歲考慮服替代役
7
被點名參選台北市長 梁文傑明確回應了
8
明恢復豬隻屠宰拍賣!3大防疫措施持續中
9
太子集團詐騙帝國崩壞!一圖秒懂犯罪組織
10
全台躲不掉 鳳凰週日轉強颱連2天下到發紫
HOT焦點
更多
外送員該是承攬還雇傭?她籲四方都要贏
離島醫療後送升級 噴射機後送爭分奪秒
28強女孩TCCF亮相!結合啦啦隊與韓式選秀
頻道推薦
直播✦活動
三立新聞網
為了提供更好的閱讀內容,我們使用相關網站技術來改善使用者體驗,也尊重用戶的隱私權,特別提出聲明。
了解最新隱私權聲明
知道了