APP下載
活動
爆料
圖輯
AI爆報
追蹤新聞
6
環境部次長出面說明基隆水質
賴清德出席亞洲民主人權獎頒獎
審計長說明檢據核銷
台灣彩券開獎直播中
三立iNEWS新聞台線上直播
LIVE三立+24小時直播
即時
青森7.5強震
小紅書遭封鎖
新聞
熱門
政治
社會
娛樂
生活
新奇
健康
國際
兩岸
運動
財經
房產
旅遊
科技
汽車
遊戲
ESG
影音
總覽
政論
節目
熱搜
直播
iNEWS
專題
總覽
特企
專頁
大事件
彩券
專欄
民調
快訊
不爽抽菸被糾正!惡霸生揍老師…連累老爸
09:42
批應曉薇女兒離題!吳欣岱「這句話」嗆翻
09:42
藍白二度封殺國防特別預算 賴清德說話了
09:39
立法院今審查宗教基本法 劉世芳說話了
09:38
全台準備凍3天!恐探10度↓最冷時段曝光
09:32
苗栗車禍出奇景!「檔車倒插」宛如聖筊
09:31
新/3惡煞擄人囚淡水栽了 警逮1人偵辦中
09:29
美秀集團冠佑返「嘉」 為家鄉寫主題曲
09:28
白茫茫一片!鄭明典曬1圖:台灣被雲包圍
09:27
高國豪3兄弟當街肉搏!法院「宣判延期」
09:26
認中國台灣才能入韓?學者:李在明沒說過
09:24
盟友不如大豆!美記者:中國換到川普偏袒
09:23
中俄戰機「包夾日本」聯飛 航跡圖曝光
09:19
仙塔律師改口認罪自打臉 網灌爆臉書狂酸
09:17
開盤/智邦台積電領軍 大盤跟漲逾百點
09:11
永和、新店超兇 房市買氣逆增五區出爐!
09:10
中國發射火箭通過台灣中部 國防部發聲
09:03
費玉清低調捐百萬助浪浪:是我微薄心意
09:03
今天喝!QQ鮮奶茶只要10元
09:01
日本1句就崩潰?專家:中共發現被騙50年
09:00
台灣彩券開獎直播中
20:31
審計長說明檢據核銷
08:30
賴清德出席亞洲民主人權獎頒獎
08:35
環境部次長出面說明基隆水質
09:32
懷舊演唱會好評不斷 全新陣容將登場
09:00
運動咖必備!sNug打造真正有感科技羊絨襪
10:30
北市打造全齡友善職場 推動中高齡就業
20:00
蔣萬安市長現身青山宮嗨唱 超夜點亮萬華
14:00
期交所推出個股週選擇權 避險策略再升級
10:00
菸捐長期凍漲 造就全球最廉價的健康殺手
08:00
演員張世賢多年後重返房仲業開啟斜槓人生
14:00
「疲勞」元凶曝光 竟與微量元素有關
12:00
首頁
關鍵字
呼吸道融合病毒
呼吸道融合病毒
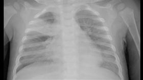
感冒症狀別輕忽!RSV肺炎風險比流感高3倍
RSV「呼吸道融合病毒」,雖然症狀跟流感相似,不過傳...
2025/11/20 12:00
傳播力超強!出生21天女嬰感染RSV險重症
台中一名出生21天的新生女嬰出現嚴重咳嗽嘔吐、鼻塞、...
2025/09/05 12:31
嬰幼兒感冒突喘得厲害 1病毒恐併發肺炎
「寶寶才感冒兩天,怎麼突然喘得厲害又不喝奶?」這樣的...
2025/04/24 17:11
小孩咳不停恐RSV!醫:3大場域最容易群聚
最近適逢季節交替、氣溫變化大,是孩童呼吸道疾病的好發...
2025/04/09 10:29
獨/病症變重!醫揭年輕人免疫力變差真相
台灣仍處於流感流行期,許多醫院和診所都排滿了發燒、咳...
2025/02/09 17:25
慎防呼吸道融合病毒RSV 感染全年無休
秋冬除了要預防流感,同樣要注意「呼吸道融合病毒」,在...
2025/02/06 11:00
新生兒染1病毒器官衰竭 醫示警高峰期!
提供產後母親和新生兒醫療照護的「產後護理之家」,竟可...
2025/01/14 07:26
1人生病恐全家都中!醫示警「6病毒齊發」
冷氣團強襲,不少民眾紛紛掛病號,耳鼻喉科醫師張弘也透...
2024/12/22 08:47
張學友身體不適取消演出 她延期慘遇地震
彭佳慧被時報周刊CTWANT拍到與男友Ken及好友左...
2024/12/04 09:25
不是新冠流感!1病毒夏天現蹤 幼童小心
近來正值新冠疫情、流感等呼吸道疾病的流行期。兒科醫師...
2024/07/03 10:37
張學友染RSV 醫曝6症狀:3類人高風險
「歌神」張學友攻蛋演唱會7日晚間驚傳停辦,張學友透過...
2024/06/08 10:04
台灣「3毒齊發」!醫師示警:快做3防護
疫情出現升溫跡象!疾管署示警,類流感與新冠疫情雙夾擊...
2024/01/11 09:35
1歲童高燒咳到吐竟RSV!7類孩童高危險群
1歲半的小融(化名)最近剛被送去托嬰中心,才送去一個...
2023/11/02 16:01
4歲童高燒5天!2病毒雙重感染 喘到住院
季節轉換,除了流感疫情,腸病毒、玫瑰疹、呼吸道融合病...
2023/10/15 12:17
兒童急診滿床塞爆 醫示警:這病毒大爆發
家長注意!中山醫學大學附設醫院兒童急診科主任謝宗學昨...
2023/09/28 10:38
多病毒齊發!台大兒童醫院「床也不夠了」
近期包括流感、腺病毒、新冠肺炎、呼吸道融合病毒(RS...
2023/09/27 22:06
「1病毒」近期常驗出!醫示警曝主要症狀
儘管現在新冠疫情逐漸趨緩,但仍要注意流感及其他病毒。...
2023/09/26 06:55
不只流感!幼童染RSV咳到吐 2症狀需轉診
最近不少醫師發現流感提前流行,不僅小孩,大人也深受其...
2023/09/21 07:41
3小時抓3位RSV小孩 醫師:今夏異常爆發
儘管現在新冠疫情逐漸趨緩,但仍要注意流感及其他病毒。...
2023/09/10 10:21
急診類流感就診達51083人次 創今年新高
疾病管制署今(18)日表示,上週門急診類流感就診人次...
2023/04/18 20:02
感染呼吸道「三大魔王」 男嬰肺炎插管
日前冷氣團一波波接力報到,嬰幼兒呼吸道感染案例快速增...
2023/03/20 12:48
幼童呼吸道殺手肆虐 台大醫揭恐怖特點
據媒體報導指出,香港屯門醫院一個新生嬰兒特別護理病房...
2023/03/19 16:58
春節呼吸道病毒「活躍期」 3病毒得提防
春節期間,國內仍遭逢COVID-19與流感、呼吸道融...
2023/01/23 11:03
冷氣團來襲!小小孩殺手RSV病毒大爆發!
這幾天氣溫驟降,不只流感,小小孩殺手的呼吸道融合病毒...
2022/12/25 13:50
流感疫苗打氣旺 614.9萬人次完成接種
冬季適逢新冠肺炎、流感、RSV呼吸道融合病毒夾擊,也...
2022/12/12 15:25
小小孩殺手RSV病毒大爆發 2成小孩重複得
新冠疫情逐漸趨緩,根據萬芳醫院小兒急診科的觀察,呼吸...
2022/11/27 19:29
兒科門診病號暴增 醫:多病毒正流行
時節進入秋冬,各種呼吸道病原體開始活躍,除了新冠病毒...
2022/11/19 11:40
已2死!流感季3例重症「2共通點」曝光
衛福部疾管署公布今年流感季累計3例流感併發重症確定病...
2022/11/14 18:05
RSV傳播高峰 指揮中心籲大人「收嘴」
呼吸道融合病毒(Respiratory Syncyt...
2022/11/14 14:33
RSV入侵幼兒園!孩咳不停狂燒感染途徑曝
新冠肺炎尚未完全平息,同時國人也得面臨流感的威脅,有...
2022/10/26 05:23
最新圖輯
更多
第62屆金馬獎得獎後台
第62屆金馬獎紅毯
劉書宏專訪
袁澧林、陳孝萱專訪
第36屆金曲獎星光大道
第36屆金曲獎得獎圖輯
NMIXX林口體育館粉絲演唱會
KISS OF LIFE台北演唱會
林芯儀專訪
GYUBIN大巨蛋開球
今日頭條
1
高國豪3兄弟當街肉搏!法院「宣判延期」
2
稱開戰可上班課遭圍剿!苗博雅深夜反擊了
3
「訂房要找隔音好」球星劈腿開戰主播女兒
4
藍急否認3門票換鄭習會!媒體人斷言下場
5
中俄戰機「包夾日本」聯飛 航跡圖曝光
6
週末再迎強冷空氣!粉專:挑戰冷氣團等級
7
仙塔律師改口認罪自打臉 網灌爆臉書狂酸
8
鄭麗文慘了?「內部不挺」聲量雪崩剩1成
9
朱孝天被踢出F4 律師曝1關鍵「玩崩了」
10
9縣市今停水「一早沒得用」 最長停9小時
HOT焦點
更多
期交所推出個股週選擇權 避險策略再升級
演員張世賢多年後重返房仲業開啟斜槓人生
「疲勞」元凶曝光 竟與微量元素有關
頻道推薦
直播✦活動
三立新聞網
為了提供更好的閱讀內容,我們使用相關網站技術來改善使用者體驗,也尊重用戶的隱私權,特別提出聲明。
了解最新隱私權聲明
知道了