APP下載
活動
爆料
圖輯
阿立導讀
追蹤新聞
3
台灣彩券開獎直播中
三立iNEWS新聞台線上直播
LIVE三立+24小時直播
即時
賴蕭2年了
孫安佐爭議
新聞
熱門
政治
社會
娛樂
生活
新奇
健康
國際
兩岸
運動
財經
房產
旅遊
科技
汽車
遊戲
ESG永續
影音
總覽
政論
節目
熱搜
直播
iNEWS
專題
總覽
特企
專頁
大事件
彩券
專欄
民調
快訊
LG雙子最美初戀顏來台 粉絲會連辦2天!
21:23
好市多特價浴巾臭翻客廳!一堆人反讚好用
21:23
孫安佐涉犯5罪 孫鵬表態:自己好好面對
21:18
英特爾狂噴200%!AI預測股價達「這價位」
21:10
獨/狄鶯尋獲!遭孫鵬不忍點名 重讀回應
21:10
5/21「小滿」至!開運辦法及禁忌一次看
21:05
狄鶯昔喊別成敗類 如今網友狠酸成真了
21:00
窮人家拒捐獻 寺廟撂人「痛毆婦幼」濺血
20:58
穿台灣T恤遭世衛逼換衣!女兒問1句媽淚崩
20:53
快訊/威力彩頭獎飆5.2億 5/18開獎號碼
20:50
新/狄鶯崩潰「坐淡水河邊」孫鵬曝現況
20:44
新莊這建案站上7字頭 業者坦言怕怕的!
20:41
李德維突喊:我對馬辦誠信產生重大懷疑
20:41
男娶離婚女竟遭擄走私刑 遭綁樹圍毆灌尿
20:38
台海若開戰晶片斷鏈?這國狂吸逃亡紅利
20:26
遭爆學生作弊老師幫把風 戲曲學院回應了
20:23
伊朗緊抓荷莫茲海峽!宣布成立新管理機關
20:21
北市府全面稽查密室逃脫 21家違規罰104萬
20:20
賴慧如一穿泳裝直接封神!根本辣媽天花板
20:17
通車沒省錢!民眾叫車到桃機選嘸淡江大橋
20:17
台灣彩券開獎直播中
20:31
胃癌圍手術期免疫治療7旬婦恢復進食能力
09:00
重返三大豬病非疫國 跨域合作推產業升級
14:00
台中極限保值區純2房案搶進文心森林公園
12:00
晚期肝癌不受限 口服藥物穩定生活與療效
11:00
愛妮雅攜手真善美 公益市集號召民眾傳愛
16:30
權力遊戲新作!重返維斯特洛奪王座
16:00
寵物用藥陷困境 藥廠與藥局:願當獸醫後盾
12:00
房價僅北士科半價 仁義重劃區預售屋剖析
09:00
首頁
關鍵字
麻醉科
麻醉科
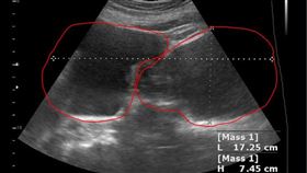
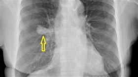
她2年沒健檢突胃痛 麻醉醫1個move揪肺癌
想要預防癌症,最有效的招式就是「檢查」。南部一名七旬...
2023/12/14 14:32
2醫停跑蹲下救命 陳其邁臉書致敬
一年一度的高雄富邦馬拉松在26日展開,但過程中卻發生...
2023/11/27 12:10
心臟微創後不劇痛!北榮揭「無痛」新方法
心臟手術雖然現在已有不用開大刀的微創技術,但術後的微...
2023/03/02 12:06
實習醫師插管進食道內!10分鐘她吐血慘死
英國一名32歲女子柯瑞爾 (Emma Currell...
2023/03/01 12:00
名偵探柯南犯罪28年 麻醉醫揪出貓膩
電影版《名偵探柯南:萬聖節的新娘》最近也在中國上映,...
2022/12/11 22:26
末期癌症的痛 2~3成止痛藥也無效
罹患四期直腸癌的藝人余苑綺,最近已自行簽署放棄急救同...
2022/08/21 19:05
雙和造謠醫現身 他2度鞠躬道歉
網友利用PTT造謠「中央徵用台北快篩至高雄」一事有了...
2022/05/13 19:35
麻醉醫師造謠遭辦 雙和醫院:送懲處
國內疫情嚴峻,民眾紛紛前往藥局購買公費快篩試劑,本月...
2022/05/13 13:37
北醫附醫麻醉科感染 院方證實5確診
國內疫情燒,媒體報導指出,北醫附醫有麻醉科護理師確診...
2022/04/19 13:20
怕痛拒手術 多模式止痛控制術後疼痛
27歲小凱(化名)目前在百大企業擔任資安工程師,由於...
2021/09/10 09:40
國內首起莫德納突破性感染 麻護確診
中央流行疫情指揮中心證實個案就是台大醫院麻醉科護理師...
2021/09/08 14:53
插管≠絕望 九旬翁3天拔管歡喜出院
許多患者會在尚無不適的狀況下,被醫護人員告知需要插管...
2021/06/18 10:48
插管過程恐染疫 醫:更危險的在後頭
為感染者插管到底有多危險,一般人可能不知道。麻醉科醫...
2021/06/03 10:20
插管患者易咳 飛沫四散醫護首當其衝
醫院在收治確診武漢肺炎的病患後,若情況嚴重醫師就很有...
2021/01/13 19:56
8旬嬤腹脹以為發福 檢查驚見大水瘤
女性肚子變大別以為是單純的發福,也有可能是婦科腫瘤。...
2020/07/24 16:24
出遊潮湧 他憂4縣市醫療系統恐崩潰
或許是被沉重的疫情悶壞了?清明連假進入第三天,各地觀...
2020/04/04 12:26
台醫發明插管防噴濺神箱 美醫求傳授
疫情當頭,醫護人員站在防疫第一線,身處高風險環境該如...
2020/03/22 08:57
劉樂妍返台就醫 醫嘆:有事鍾無艷
赴中國大陸發展的女星劉樂妍,經常針對台獨議題發文批評...
2020/03/11 12:28
確診男病逝…醫淚崩 同事舉起這張紙
武漢肺炎(COVID-19、新冠肺炎)來勢洶洶,確診...
2020/03/10 10:51
看不過醫護被霸凌 麻醉醫挺身幫發聲
武漢肺炎(COVID-19、新冠肺炎)疫情劇烈炎燒,...
2020/03/06 19:53
他發血照證明功力 名醫揭真相遭停權
一名自稱「紫林齋主」的密醫大肆宣稱太極米漿粥有養身、...
2019/12/16 09:31
你是不是也想問…手術麻醉為何要禁食
「手術麻醉為何要禁食?」人的一生中,難免會遇到病痛,...
2019/10/15 16:53
手術中扮演要角!麻醉知識報你知
一般民眾對於麻醉的了解有限,台灣麻醉醫學會理事楊承憲...
2019/05/17 16:14
醫自注麻醉亡 遺言:下輩子不當醫生
大陸山東齊魯醫院麻醉科的一名醫生,對生活絕望,生前曾...
2017/09/24 08:03
台大醫:如果護理師也集體請颱風假?
台大醫學院麻醉科教授王明鉅問道,「如果護理師們也集體...
2017/07/31 10:20
童20顆牙蛀光光 險得蜂窩性組織炎
一名3歲男童,每晚都要含奶瓶睡覺,更沒有潔牙的習慣,...
2017/04/11 18:00
台灣醫師機上救人!衣架當「點滴架」
臨危不亂才是真醫師!台北榮總一般麻醉科主任陳品堂醫師...
2017/02/13 06:00
頻流鼻血誤當腫瘤 鼻子竟「長牙齒」
一名30多歲男性經常流鼻血,到耳鼻喉科就診,醫師觀察...
2016/12/29 20:00
看牙「以手遮嘴」有疑慮?醫師有話說
近日有一名林小姐帶著4歲的兒子到兒童牙醫就診,看診結...
2015/04/16 15:33
最新圖輯
更多
茉ひるMahiru專訪
簡莉紋專訪
大霈專訪
劉冠廷專訪
林予晞、王真琳專訪
李雪、陳昱廷專訪
初孟軒、鍾岳軒專訪
龍千玉與翁立友領豪記唱片群星拜年
Rain鄭智薰小巨蛋演唱會
金在中演唱會
今日頭條
1
新/狄鶯崩潰「坐淡水河邊」孫鵬曝現況
2
新/台中民宅大火狂燒 恐怖畫面曝光
3
新/手術室裝鏡頭罰錢停業 君綺回應了
4
外交部:超過50國支持台灣參與WHA
5
川普談「不支持台獨」 陸委會回應了
6
恭喜謝京穎生了 張書偉雙胞胎女兒小名曝
7
共機廣播驅趕我軍 美軍9次宣示反擊
8
連續一週熱飆35度!午後防雷雨降雨熱區曝
9
淡江大橋「硬闖哥」又惹禍!偷小貨車遭逮
10
威力彩頭獎上看5.2億!「4星座」財運爆發
HOT焦點
更多
台中極限保值區純2房案搶進文心森林公園
晚期肝癌不受限 口服藥物穩定生活與療效
愛妮雅攜手真善美 公益市集號召民眾傳愛
頻道推薦
直播✦活動
三立新聞網
為了提供更好的閱讀內容,我們使用相關網站技術來改善使用者體驗,也尊重用戶的隱私權,特別提出聲明。
了解最新隱私權聲明
知道了