APP下載
活動
爆料
圖輯
阿立導讀
追蹤新聞
3
台灣彩券開獎直播中
三立iNEWS新聞台線上直播
LIVE三立+24小時直播
即時
賴蕭2年了
孫安佐爭議
新聞
熱門
政治
社會
娛樂
生活
新奇
健康
國際
兩岸
運動
財經
房產
旅遊
科技
汽車
遊戲
ESG永續
影音
總覽
政論
節目
熱搜
直播
iNEWS
專題
總覽
特企
專頁
大事件
彩券
專欄
民調
快訊
魚肚藏iPhone!今招魂失敗永遠死機
16:04
王俐人拍MV僅領3千 副導爆:絕對不止
16:02
嘉義首創防詐任務破5萬筆 黃敏惠表揚6校
16:02
AI師培來了!教育部出新招模擬班級衝突
15:57
美政府將投資20億鎂 入股9量子運算公司
15:55
腎破洞蛋白尿指數破千!她做1事躲過洗腎
15:52
仰躺漂浮水面上!民眾驚見黑衣女屍嚇壞
15:50
批CBS賄賂川普 「深夜秀」將走入歷史
15:50
依依自認「配不上納豆」 尪心疼發聲了
15:48
微風北車7月掰掰倒數!最後週年慶開跑
15:47
現場買小心虧 會員曝好市多APP隱藏版優惠
15:46
《歌手2026》 庾澄慶一句話震撼全場
15:44
三大法人買超破千億 外資加碼761億史4大
15:41
大聲公嗆「警察出來罰站」 台中男罰3000
15:39
公車突失控!司機急轉方向盤撞山壁釀3傷
15:38
徐巧芯稱台獨害美暫緩軍售 國防專家開轟
15:37
5女騎士停紅燈被亂摸 嘉義噁男下場慘了
15:37
夏天皮膚癢爆!汗皰疹「4大高危族群」曝
15:36
馬英九控出賣他到這個地步 蕭旭岑回應了
15:35
民眾黨提名爭議再+1「她」贏初選卻落馬
15:28
台灣彩券開獎直播中
20:31
K-WAVE韓流拼盤卡司公布 8月登高雄開唱
14:30
脂肪肝是警訊!專家籲勿輕忽要積極就醫
10:00
早餐水果沒吃夠?營養師教超商水果補充術
18:00
凍齡女神陳美鳳愛用 正港優蛋白增強體力
17:00
家裡怎防老鼠之亂??專家曝新大樓兩優勢
09:00
Razer女神yunocy登COSMOS
12:00
台灣少子化 首創本草萃滴精商機大爆發
17:00
遠東生技行銷60國 微藻成新一代營養關鍵
16:00
台灣大連續4度獲選最受尊崇企業
10:00
首頁
專題
生活
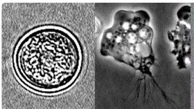
玩水染「食腦變形蟲」新北女亡
玩水染「食腦變形蟲」新北女亡
「我們每天投氯」 親水設施業者發聲了!
國內發生福氏內格里阿米巴腦膜腦炎死亡病例,新北衛生局...
2023/08/10 11:47
女染食腦蟲亡!疾管署:採檢最快1週出爐
國內睽違12年又出現感染「福氏內格里阿米巴原蟲」(俗...
2023/08/10 11:27
獨/食腦變形蟲太可怕!學者揭誤診原因
國內睽違12年又出現感染「福氏內格里阿米巴原蟲(Na...
2023/08/10 11:14
女染食腦蟲亡 業者吐心聲:別人天天泡水
北部一名30多歲女子日前赴室內親水設施遊玩,上月26...
2023/08/10 10:54
新北女染食腦變形蟲往生 途徑、症狀曝光
從事水上活動務必當心!國內睽違12年又出現感染「福氏...
2023/08/10 09:31
近無國外旅遊!女染食腦變形蟲發病7日亡
疾病管制署昨(9)日表示,國內發生俗稱「食腦變形蟲」...
2023/08/10 07:51
食腦變形蟲傳染途徑曝 戲水1行為當心了
台灣時隔12年再次發生福氏內格里阿米巴腦膜腦炎死亡病...
2023/08/10 05:58
女子玩水染食腦變形蟲亡 業者遭要求停業
國內發生福氏內格里阿米巴腦膜腦炎死亡病例,新北市衛生...
2023/08/09 22:19
玩親水設施染食腦阿米巴蟲 30多歲女死亡
食腦阿米巴蟲國內現蹤!疾管署表示今(9)表示,國內發...
2023/08/09 19:41
獨/食腦阿米巴原蟲鑽腦 平均只能活7天
根據《每日郵報》的報導,美國喬治亞州一名17歲美少女...
2023/08/03 08:30
«
‹
1
2
›
»
最新圖輯
更多
茉ひるMahiru專訪
簡莉紋專訪
大霈專訪
劉冠廷專訪
林予晞、王真琳專訪
李雪、陳昱廷專訪
初孟軒、鍾岳軒專訪
龍千玉與翁立友領豪記唱片群星拜年
Rain鄭智薰小巨蛋演唱會
金在中演唱會
今日頭條
1
久違現身了 馬英九親闢謠:我沒失智!
2
馬英九控出賣他到這個地步 蕭旭岑回應了
3
5女騎士停紅燈被亂摸 嘉義噁男下場慘了
4
民眾黨提名爭議再+1「她」贏初選卻落馬
5
「這鄉鎮」普發現金3600元 年底前可領到
6
南韓星巴克被政府抵制!全球總部急道歉
7
史書華開團賣OMEGA錶挨告 判賠70萬元
8
依依自認「配不上納豆」 尪心疼發聲了
9
廉航登機箱尺寸超標!內行籲別帶1款式
10
以前白用了!iPhone隱藏功能 1秒自動打字
HOT焦點
更多
凍齡女神陳美鳳愛用 正港優蛋白增強體力
早餐水果沒吃夠?營養師教超商水果補充術
家裡怎防老鼠之亂??專家曝新大樓兩優勢
頻道推薦
直播✦活動
三立新聞網
為了提供更好的閱讀內容,我們使用相關網站技術來改善使用者體驗,也尊重用戶的隱私權,特別提出聲明。
了解最新隱私權聲明
知道了