APP下載
活動
爆料
圖輯
AI爆報
追蹤新聞
3
台灣彩券開獎直播中
三立iNEWS新聞台線上直播
LIVE三立+24小時直播
即時
對等關稅違憲
賈永婕嗆蔣
新聞
熱門
政治
社會
娛樂
生活
新奇
健康
國際
兩岸
運動
財經
房產
旅遊
科技
汽車
遊戲
ESG
影音
總覽
政論
節目
熱搜
直播
iNEWS
專題
總覽
特企
專頁
大事件
彩券
專欄
民調
快訊
2026「財帛位」方向曝光!放3物財運旺翻
20:21
金與正升北韓黨中央部長 專家這樣看
20:19
巴拿馬接管長和港口 中國:堅維護企業權
20:15
美眾議院議長 邀黎智英女兒國情咨文演說
20:09
健身房學員涉裝定位器跟蹤騷擾教練遭起訴
20:06
包落小黃送警局 失主領回「揪出毒煙彈」
20:03
邱瓈寬看「陽光」落淚 盼翁倩玉入圍影后
20:00
北車持刀男引恐慌 台北地院裁准暫行安置
19:59
柯建銘平和交棒蔡其昌!王義川曝現場狀況
19:54
破獲幫派詐騙集團 找身障及長輩當車手
19:53
「璃來龍」逆轉奪金 NHK紀錄片感動日本
19:49
陳妍希離婚陳曉1年!大玩「神鵰」被讚爆
19:40
張國煒為遺囑官司出庭 結束後連喊順利
19:34
小獼猴抱「玩偶媽媽」爆紅!IKEA賣到缺貨
19:33
賈永婕驚人身世曝光!霸喊:以台灣人為榮
19:23
惡作劇男揚言攻擊北捷 檢聲請暫行安置
19:21
桃園3/9大停水!最長21小時 影響範圍曝
19:12
拖吊惡霸「10公里討10萬」 蔣萬安說重話
19:00
台灣燈會抵「嘉」 16燈區12亮點、大遊行
19:00
接任綠黨團總召 蔡其昌發聲致謝柯建銘
18:59
台灣彩券開獎直播中
20:31
台彩春節加碼12億元創新高
12:00
大樂透加碼480組100萬元
12:00
大樂透加碼800組10萬元
12:00
企業暖心故事 一份工作撐起整個家
13:00
Xtars人氣直播主大揭密 鏡頭下的甘苦
13:00
土城永福岩清水祖師廟擲筊大賽 頭獎百萬
12:00
初一金山財神廟湧人潮 聯名蛋捲禮盒喜氣
11:00
首頁
關鍵字
豬血
豬血
她吃剉冰被問「幹嘛加豬血」真相糗爆
近期天氣轉熱,今(7)日南部更出現37度高溫,一名女...
2021/05/07 20:56
誰說牛肉最補血?含鐵量第1名竟是它
動物性食物中富含的鐵為「血基質鐵」,是屬於人體吸收率...
2020/12/17 21:19
台中人氣豬血湯前製過程曝光…噁爆了
豬血湯是台灣傳統美食,不過處理過程恐怕要令人退避三舍...
2020/10/30 16:22
新北男騎車自摔狂流血?一看竟是豬血
新北市樹林區在28日清晨3點,發生了一起重機自摔車禍...
2020/10/28 13:36
3旬老攤豬血糕一口就吐 超噁原因曝
豬血糕是台灣國民美食,也是各大夜市的常見小吃。不過有...
2020/10/09 10:39
台中小貨車追撞轎車 馬路慘血流成河
前幾日凌晨,台中第五分局北屯派出所接獲民眾報案,表示...
2020/09/30 13:41
豬血鴨血長很像…內行揭差異:秒分辨
火鍋深受不少民眾喜愛,而火鍋料中時常出現豬血及鴨血,...
2020/05/31 15:23
走私50公斤豬鴨血 台女遭日警逮捕
日本今(7)日發生一起跨國走私食品案件,一位台灣籍女...
2020/03/07 19:57
「南投」特有種 挑戰美食極高境界!
這次《呷飽未》來到南投埔里,挑戰美食的最高境界,只要...
2020/02/20 17:58
豬血和鴨血哪個好吃? 網友一致推…
「鴨血」和「豬血」是台灣別具特色的食材,但到底這兩樣...
2019/11/05 00:58
吃補要吃對!葡萄乾「鐵含量」極少
許多女性缺鐵會選擇吃豬肝湯或葡萄乾,但葡萄乾鐵含量非...
2019/09/26 20:45
土城3車連環撞 2人受傷「一片紅」
今(20)日傍晚5時許,城林橋土城往板橋方向,一名貨...
2019/04/20 19:16
靠吃豬血躲肺癌?專家:這樣做卡實在
根據世界衛生組織表示,空氣汙染是肺癌的危險因子之一,...
2019/03/30 10:35
防空汙瘋傳吃豬血清肺 營養師揭真相
天灰灰讓人出門不戴口罩不安心,受到東風至東南風影響,...
2019/03/21 17:42
吃豬血可清肺抗空汙?醫師打臉曝成分
清晨西半部風速弱,加上邊界層高度偏低,今(20)日中...
2019/03/20 14:43
貧血大補「鐵」!這些含鐵量比牛肉高
冬天到了,很多女生都有貧血狀況。很多人認為,牛肉是最...
2019/01/09 17:55
傳聞吸菸可吃豬血清肺?醫師說話了
老一輩常說,抽菸者多吃豬血有助清除肺部毒素,把肺變乾...
2018/07/11 13:21
毛毛的腳…外帶燒臘便當竟混翻肚蟑螂
有一名王姓女網友日前在台南東區一間知名燒臘購買3個便...
2018/01/12 16:57
河流遭傾倒廢料 整條河變紅色超嚇人
大陸湖南長沙圭塘河昨(7)日遭人傾倒廢水,整條河流一...
2018/01/08 23:47
不戴口罩開工!竟讓他肺藏3公升泥漿
大陸湖北一名46歲工人從事裝修達10年,在工作期間幾...
2017/09/17 20:30
網傳豬血「清肺防霾」 中醫師這樣說
近年空污嚴重,現在網路流傳豬血、羊肉爐、銀耳蓮子湯都...
2017/02/04 15:41
最愛滿身血!19歲嫩模泡豬血浴養顏
大多數的人想要保持年輕,多半會選擇從飲食或保養品著手...
2015/04/16 10:11
攏係假ㄟ!鴨血太貴 強國摻豬血硬賣
繼台灣鴨血爆出來源五花八門之後,大陸央視也踢爆中國市...
2015/03/16 16:27
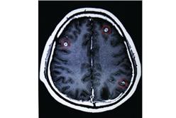
吃豬血!男子大腦生了19條寄生蟲
大陸廣西有一名男子,發覺自己經常頭暈無力,看不清東西...
2014/02/24 15:20
最新圖輯
更多
初孟軒、鍾岳軒專訪
龍千玉與翁立友領豪記唱片群星拜年
Rain鄭智薰小巨蛋演唱會
金在中演唱會
羅志祥30周年演唱會
凱琳專訪
黃鐙輝、吳念軒、黃騰浩專訪
第62屆金馬獎得獎後台
第62屆金馬獎紅毯
劉書宏專訪
今日頭條
1
接任綠黨團總召 蔡其昌發聲致謝柯建銘
2
海軍疑出海亂丟垃圾!海邊驚見艦長官章
3
張國煒為遺囑官司出庭 結束後連喊順利
4
桃園3/9大停水!最長21小時 影響範圍曝
5
墨國毒販暴動殺人 數千觀光客受困逃不了
6
今晚2地先變天 228連假「這2天」雨最大
7
拖吊惡霸「10公里討10萬」 蔣萬安說重話
8
學測成績明早9點出爐!2種查詢方式一次看
9
頭痛喝可樂有效?醫證實可緩解、止痛
10
009816狂吸90億!不敗教主曝2類人適合買
HOT焦點
更多
初一金山財神廟湧人潮 聯名蛋捲禮盒喜氣
台灣燈會抵「嘉」 16燈區12亮點、大遊行
Xtars人氣直播主大揭密 鏡頭下的甘苦
頻道推薦
直播✦活動
三立新聞網
為了提供更好的閱讀內容,我們使用相關網站技術來改善使用者體驗,也尊重用戶的隱私權,特別提出聲明。
了解最新隱私權聲明
知道了