APP下載
活動
爆料
圖輯
AI爆報
追蹤新聞
3
台灣彩券開獎直播中
三立iNEWS新聞台線上直播
LIVE三立+24小時直播
即時
九合一點將
台美關稅15%
新聞
熱門
政治
社會
娛樂
生活
新奇
健康
國際
兩岸
運動
財經
房產
旅遊
科技
汽車
遊戲
ESG
影音
總覽
政論
節目
熱搜
直播
iNEWS
專題
總覽
特企
專頁
大事件
彩券
專欄
民調
快訊
DJ歐馬克慘遭發票詐騙 3分鐘被盜刷數萬
17:17
濕冷入夜!凍完一波再迎「更強冷氣團」
17:12
40歲羅伯森退休 在洋基和王建民當過隊友
17:12
馬國明現身順德商場!萌比愛心師奶瘋了
17:11
小兄弟遭灌藥雙亡!二寶媽僅冷回:忘記了
17:09
Elly、Lily感情超好原因:從小受大小S影響
17:07
45搶29!藍中常委當選名單曝 她奪下第一
16:58
赤馬年開運穿紅衣?觀音開示:3類人要避
16:56
小嫻痛別摯親近況曝:一個月來沒什麼食慾
16:50
馬俊麟踏進「母親遺屋」:人生有很多遺憾
16:50
比爾蓋茲遭爆約砲染性病 瞞妻餵吃抗生素
16:48
報名選黨團幹部 范雲:願承擔更多責任
16:43
升格準媽媽!張晏塵超音波照藏驚喜
16:42
張閔勛首獲複數年約 曝簽2年拒3年約理由
16:36
未竟之路!3難關恐擋泰國改革派執政
16:36
趙自強暴瘦十公斤冒下顎線!驚訝王月昏迷
16:33
彭啟明變舞台劇演員!趙自強讚:都不用教
16:25
A-Lin又喝了 為魏如萱演唱會改編醉唱
16:25
韓粉祝福馬上長頭髮!韓國瑜突cue李佳芬
16:23
傳蘋果2026先推高階手機 標準版延至2027
16:23
台灣彩券開獎直播中
20:31
「星城Online x戲說台灣」單元劇引爆話題
12:00
尿布不斷貨 酷澎火箭速配最快隔天到
13:00
「2026新北ACGE產業學院」專業培訓啟動
12:30
大掃除神隊友!一噴除垢 晶亮好省力
12:00
首頁
關鍵字
體檢
體檢
役男核准出國不回來「1句話」惹怒公所
桃園市28歲謝姓男子,2021年以出國攻讀碩士為由,...
2026/01/02 17:42
關5年不用當兵?超瞎免役手法…害他更慘
台南市穆姓陸軍常備兵役男,今年2度收到兵單,都由母親...
2025/12/08 13:52
5大閃兵怪招曝光 醫:這1招意志力驚人
內政部21日針對閃兵男藝人「收網」後,將陳柏霖、修杰...
2025/10/23 14:44
北市驚傳「假愛滋病閃兵」他:這2年激增
演藝圈「閃兵案」延燒,21日新北地檢署發動第三波行動...
2025/10/21 16:54
24歲染性病!超毒役男「閃兵」放鳥成功嶺
新北24歲何姓役齡男子2年前收到兵單,一再以疾病為由...
2025/06/26 11:44
電動公車爆炸起火 北市858輛公車全體檢
台北市松山區昨(16)日晚上8點多發生公車火燒車事故...
2025/06/17 14:07
男星骨折遭判甲等體位!抽海陸戰隊服2年
男星王大陸涉嫌砸百萬偽造病歷閃兵,檢警擴大追查,發現...
2025/05/17 00:41
泰國徵兵體檢成選美會場 跨性別女神美翻
一年一度的泰國徵兵體檢近日熱鬧登場,依規定,所有符合...
2025/04/09 10:58
川普本週做年度體檢 自稱感覺好得不得了
美國總統川普今天表示,他11日將在華盛頓附近的一家軍...
2025/04/08 12:01
徵兵通知3次不敢去!31歲役男落網吐真相
新北市31歲劉姓男子,3度收到「役男徵兵檢查通知書」...
2025/03/20 13:02
王大陸軍中生活曝光 同袍:感覺很特別
王大陸捲教唆傷人案後於13日入伍服役,有役男在第一天...
2025/03/19 15:29
四川婦捐血後陷昏迷 搶救3天不治死因曝
天下沒有白吃的午餐!中國四川綿陽一名農村婦女被「免費...
2025/02/25 20:22
逃兵太容易 內政部:擬重審役男體檢內容
藝人王大陸涉嫌妨害兵役,檢察官複訊後諭令以新台幣15...
2025/02/20 18:15
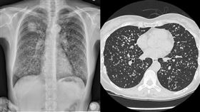
手變形成「杵狀指」 權威醫:是肺癌警訊
據衛福部國健署公布的數據顯示,台灣平均每44.7分鐘...
2025/01/31 15:29
兵單通知六次都不鳥!白目役男把自己害慘
台南23歲施姓役齡男子,2022年、2023年收六度...
2025/01/28 12:34
沒收到當兵體檢通知?24歲役男裝傻下場慘
新北24歲邱男為役齡男子,收到徵兵檢查,且區公所承辦...
2025/01/13 08:13
手指頭變「杵狀指」 權威醫:是肺癌警訊
肺癌已經成了台灣癌症發生率、死亡率的雙冠王。肺癌初期...
2025/01/10 13:04
男星準備入伍 等3年沒被徵招:正式免役
韓國30歲男星羅人友因主演電視劇《和我老公結婚吧》、...
2024/12/19 00:00
從小就胖…12歲少女重200公斤釀心臟衰竭
身材肥胖,有時候是先天因素影響。中國河南鄭州有一名1...
2024/11/01 23:37
不少台灣人這基因變異!醫:最慘年輕失智
不論身材胖瘦,近幾年明顯發現高膽固醇有年輕化趨勢,甚...
2024/09/11 09:12
已論及婚嫁…女友罹癌求放過 癡情男心碎
一名網友發文求助,女友體檢被驗出罹癌且病情嚴重,自此...
2024/07/18 22:55
馬辦曝馬英九體檢遭騷擾跟拍 憂人身安全
馬英九基金會執行長蕭旭岑今(15)日表示,前總統總統...
2024/05/15 16:40
他怕罹癌想體檢 網看2習慣驚喊:快點改
癌症一直是國人十大死因之首!對此,就有位30歲的網友...
2024/05/08 15:35
劉亮佐攜趙小僑入院檢查 曬病床照發聲了
趙小僑和劉亮佐愛情長跑6年,於2016年結婚,成為劉...
2024/02/16 17:48
人夫離家工作半年 妻體檢卻驗出性病綠炸
新竹縣1名人夫阿豪(化名),與越南籍女子小萱(化名)...
2023/12/26 15:41
男體檢報告出現子宮檢查!院方尷尬認錯了
大陸四川有名男子於近日到醫院進行身體檢查,豈料報告單...
2023/12/07 21:25
毒品通緝怕被抓 新北男沒去體檢判刑2月
新北市永和一名蔡姓男子,3度收到兵單卻未按時前往進行...
2023/12/07 08:59
當兵能變男人?體檢現場「見1幕」她傻了
俗話常形容,當兵是個從男孩變男人的過程,當兵過程有許...
2023/07/21 17:58
沒理健檢報告3年後肺癌 醫:倒數計時了
別忽視身體發出的警訊!胸腔科醫師蘇一峰今(21)日指...
2023/02/21 16:27
194公分男體檢多2公分 27歲還長高卻崩潰
國高中時期的青春期,是長高的關鍵時期,一但生長板閉合...
2023/01/13 17:39
最新圖輯
更多
羅志祥30周年演唱會
凱琳專訪
黃鐙輝、吳念軒、黃騰浩專訪
第62屆金馬獎得獎後台
第62屆金馬獎紅毯
劉書宏專訪
袁澧林、陳孝萱專訪
第36屆金曲獎星光大道
第36屆金曲獎得獎圖輯
NMIXX林口體育館粉絲演唱會
今日頭條
1
小兄弟遭灌藥雙亡!二寶媽僅冷回:忘記了
2
黃仁勳回台行程爆量 又去買蜜餞了
3
北車旅店驚傳「紅蟲爬滿床」!觀傳局出手
4
陽明海運遭查獲走私海洛因!業者回應了
5
濕冷入夜!凍完一波再迎「更強冷氣團」
6
具俊曄雨天也堅守墓園 他落淚鬆吐心聲
7
AIT臉書停更!連發3提醒重點 網怨藍白
8
賓賓哥直播嗆大甲媽祖挨轟 出面道歉了
9
獨/政大學霸遭輾斃 14年前相似判決曝
10
《話時代人物》遭造假 三立新聞聲明全文
HOT焦點
更多
「2026新北ACGE產業學院」專業培訓啟動
被譽為企業界奧斯卡 愛妮雅集團獲玉山獎
台灣高鐵營運將滿20週年 引進新世代列車
頻道推薦
直播✦活動
三立新聞網
為了提供更好的閱讀內容,我們使用相關網站技術來改善使用者體驗,也尊重用戶的隱私權,特別提出聲明。
了解最新隱私權聲明
知道了