APP下載
活動
爆料
圖輯
AI爆報
追蹤新聞
3
台灣彩券開獎直播中
三立iNEWS新聞台線上直播
LIVE三立+24小時直播
即時
助理費爭議
小紅書遭封鎖
新聞
熱門
政治
社會
娛樂
生活
新奇
健康
國際
兩岸
運動
財經
房產
旅遊
科技
汽車
遊戲
ESG
影音
總覽
政論
節目
熱搜
直播
iNEWS
專題
總覽
特企
專頁
大事件
彩券
專欄
民調
快訊
台灣銀行放大絕!這4款珍藏幣變傳家寶
04:00
別再單押美股七雄?專家曝「散」字保命
03:00
AI基本法陷阱!法學教授廖義銘這麼說
02:08
醜話說在前!2026年「兩」大投資亂源出列
02:00
永續城市節慶啟動!即日起在高雄鼓山
01:59
逃兵變詐團!屏東男被逮怒嗆這句話
01:25
GPU打頭陣、ASIC接棒 這幾檔漲勢帶勁!
01:18
前主播劉涵竹怒揭4年網騷 這次要告了
01:13
夫妻擁2千萬 因父親1要求面臨破產崩潰
01:00
推拿秒性侵!中醫診所也要連帶賠償
00:54
百公斤新娘減肥45kg要離婚 婆婆怒嗆這句
00:36
獨/周經翔分析師警告:無差別追AI恐結束
00:36
江啟臣表態參選台中市長 楊瓊瓔回應了
00:27
台股總市值破91兆 最大贏家是它上漲4.3%
00:05
撒錢哥又來?20萬元放宮廟 他這麼說
23:53
高雄寵物睡覺大賽 考驗毛小孩「穩定度」
23:51
網造謠成功嶺演習毀民宅 全場見2字秒戳破
23:30
31年優雅謝幕!SOGO敦化館熄燈夜百人送別
23:08
槓藍白!卓榮泰:拼了命也要阻止違憲行為
23:07
獨/2男狂砸酒瓶 「超跑巷」布滿碎玻璃
23:07
台灣彩券開獎直播中
20:31
高雄大氣球遊行登場 21顆空飄氣球超壯觀
12:00
嘉義市城市博覽會開幕「嘉義大舞台」嗨翻
20:00
健康AI領導品牌 威力先進得獎不斷
20:30
《上山吧》團員用「優蛋白EX」補充能量
13:00
《上山吧!台灣隊》創舉!征服非洲之巔!
10:00
他靠科學化心法兩年滾出千萬財富!
08:30
首頁
關鍵字
牙周病
牙周病
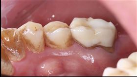
35歲民眾9成有牙周病變!醫曝「7大警訊」
一名60多歲的女性主管,因工作繁忙、三餐在外、作息不...
2025/12/12 15:48
智齒要不要拔?牙醫師提供4關鍵一次解惑
智齒究竟要拔或不拔,說法總是眾說紛紜,有些人覺得要趁...
2025/12/04 10:12
愛吃紅肉害失智!醫推「1類食物」護大腦
長期大量攝取紅肉,不僅容易變胖,還可能影響大腦健康。...
2025/12/01 10:43
2飲品=超強顧齒!營養師:防蛀牙、牙周病
口腔健康與飲食有關,選擇正確的食物,有助於預防蛀牙。...
2025/11/27 18:40
不理10年口臭 他突心臟痛 驚牙周細菌惹禍
即便每天刷牙,若長期忽略牙齒檢查,仍可能引發牙周問題...
2025/11/11 12:45
沒三高也危險!「1處受損」增2倍中風機率
心血管健康是重要議題。醫師鄭淳予表示,今年10月神經...
2025/11/05 10:57
新研究:不刷牙=「癌王溫床」 風險增3倍
刷牙不只預防蛀牙、口臭,還能降低胰臟癌風險。營養師呂...
2025/11/05 10:52
蛀牙增罹胰臟癌風險!「8癌變警訊」曝光
由於胰臟癌初期症狀不明顯,因此8成患者發現時,幾乎已...
2025/10/25 13:29
若口腔菌失衡!醫:胰臟癌風險恐飆3倍
基因醫師張家銘近日在臉書粉專指出,最新研究顯示,口腔...
2025/10/12 09:33
「早餐店2飲品」防牙周病!咖啡別當水喝
口腔不健康,不只易造成蛀牙,還會影響全身健康。營養師...
2025/10/06 14:34
3習慣傷血管!害高血壓、加速老化 快又猛
錯誤的飲食方式,可能會傷害血管的健康。減重醫師蕭捷健...
2025/08/11 16:36
60歲男看牙醫「1狀況」送急診:是血癌!
57歲藝人沈玉琳6日證實罹患俗稱血癌,震驚娛樂圈,藝...
2025/08/07 14:46
刷牙防蛀牙竟可「護腦」?醫揭與失智關聯
台灣今年進入超高齡社會,失智症成為不少家庭的隱憂。不...
2025/07/25 11:11
飄腐臭味口臭!他狂刷牙沒用 檢查驚罹癌
口臭不只影響個人的社交活動,也可能是健康警訊。耳鼻喉...
2025/07/10 15:36
牙膏乾刷更好?醫揭「1關鍵」 很多人刷錯
牙齒怎樣刷才正確?牙醫黃斌洋分享刷牙迷思。有些人清潔...
2025/06/03 12:55
他從小不刷牙!大學才刷3個月「竟蛀牙」
刷牙的主要目的是保持口腔健康,每天吃東西後,食物殘渣...
2025/03/09 11:46
不是沒刷牙!研究揭「1習慣」害人狂掉牙
肥胖竟與牙齒容易脫落有關?醫師張家銘表示,過去的研究...
2025/03/02 13:08
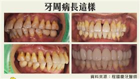
恐怖!牙周病竟和「2癌、6病」高度相關
根據衛福部資料顯示,一年有超過1000萬人去牙科看牙...
2024/12/20 23:00
為增異性緣矯正牙齒 正妹1動作險毀全口牙
34歲陳姓女子為了提升異性緣,決定花錢矯正牙齒,但卻...
2024/11/05 16:00
吃藥沒用?醫:不治療牙周病,血糖恐狂飆
口腔清潔不只影響口腔健康?哈佛大學公共衛生學院曾發布...
2024/10/22 16:30
不是沒刷牙!口臭藏「5警訊」1味道恐肝病
口臭不一定是口腔清潔不足,還可能暗藏健康警訊。胸腔暨...
2024/10/16 13:09
吃東西卡渣!小心「4大牙齒危機」找上身
每次吃東西,牙齒總是會卡菜渣,用舌頭推也弄不掉,真是...
2024/09/26 15:10
牙齒卡菜渣「藏4警訊」 醫:要抽神經了
「食物卡牙縫」用舌頭頂也剃不掉的討厭感受,是許多人飯...
2024/09/17 10:15
缺牙不補「糖尿病」風險恐增兩成以上?
可別以為缺牙只會影響「顏值」!事實上,缺牙問題不但容...
2024/09/09 14:57
牙周病不只加速老化?醫:口臭是危險徵兆
有「隱形健康殺手」之稱的牙周病,根據衛福部資料顯示指...
2024/08/12 13:33
曹操墓驚人發現:曹操156公分、有口臭
叱吒風雲的三國梟雄曹操,其形像在史書記載中高大而威嚴...
2024/07/29 00:10
洗牙後狂流血慘了?醫解答:1情況快回診
牙齒健康很重要,目前13歲以上的人,健保給付每半年可...
2024/06/25 08:55
獨/9成人用錯牙線 醫示警:反害撕裂傷
越來越多人使用牙線來潔牙,但牙醫表示,有90%的人使...
2024/06/03 11:39
研究:牙周病、廣泛缺牙與失智症強烈關聯
陽明交大參與的跨國團隊最新研究指出,有許多研究證據支...
2024/01/30 15:08
牙周病5大前兆快就醫 再拖恐要花大錢
根據衛福部口腔健康司指出,我國牙周病盛行率高達8成,...
2024/01/29 17:30
最新圖輯
更多
第62屆金馬獎得獎後台
第62屆金馬獎紅毯
劉書宏專訪
袁澧林、陳孝萱專訪
第36屆金曲獎星光大道
第36屆金曲獎得獎圖輯
NMIXX林口體育館粉絲演唱會
KISS OF LIFE台北演唱會
林芯儀專訪
GYUBIN大巨蛋開球
今日頭條
1
槓藍白!卓榮泰:拼了命也要阻止違憲行為
2
炸藥採購案遭點名「賴友友」 福麥發聲了
3
財劃法修法 賴:中央將失去災害應變能力
4
台北逼近冷氣團門檻!他見1數據估可達標
5
蕭敬騰岳父驟逝享壽75歲 Summer痛哭發聲
6
殷正洋證實楊弦離世 遺孀處理後事現況曝
7
獨/2男狂砸酒瓶 「超跑巷」布滿碎玻璃
8
古巴拒入境「台灣神反擊」:龍蝦進口量崩
9
吊車大王賞車當場入手 網驚:像買玩具
10
澳槍案英雄 白男跨步向前勇奪槍反制兇手
HOT焦點
更多
健康AI領導品牌 威力先進得獎不斷
《上山吧》團員用「優蛋白EX」補充能量
海爾廚衛專攻小家庭 2026新品曝光搶市
頻道推薦
直播✦活動
三立新聞網
為了提供更好的閱讀內容,我們使用相關網站技術來改善使用者體驗,也尊重用戶的隱私權,特別提出聲明。
了解最新隱私權聲明
知道了