APP下載
活動
爆料
圖輯
AI爆報
追蹤新聞
3
台灣彩券開獎直播中
三立iNEWS新聞台線上直播
LIVE三立+24小時直播
即時
非洲豬瘟侵台
輝達進駐台北
新聞
熱門
政治
社會
娛樂
生活
新奇
健康
國際
兩岸
運動
財經
房產
旅遊
科技
汽車
遊戲
ESG
影音
總覽
政論
節目
熱搜
直播
iNEWS
專題
總覽
特企
專頁
大事件
彩券
專欄
民調
快訊
盤前/多頭來了 台股動能16檔
22:00
小三餐廳吻人夫問 竹科男批道德低遭炎上
21:58
粿粿出軌王子遭討千萬 憲哥預言法院判決
21:39
行使FA與否還沒想法 林承飛想簽複數年約
21:24
罷團正妹阿美「近況曝光」突表態挺邱議瑩
21:22
捲謝侑芯命案!黃明志稱遭勒索 警回應了
21:17
球迷高喊留下來 黃子鵬對FA話題不多回應
21:03
短期賽難預測 林泓育舉道奇日本3星為例
20:44
謝侑芯經紀人開撕黃明志 790字爆調查內幕
20:43
GD喊跟我回去 曝BIGBANG消息:準備好了
20:38
抗病神食!醫揭洋蔥四大超強功效:要生吃
20:31
自豪裸體很美!護理女神生前"最後專訪"曝
20:28
海鷗恐轉中颱!粉專曝又1熱帶擾動發展
20:22
樂天桃猿封王遊行 張善政曝桃園巨蛋進度
20:18
擅清消案場遭陳駿季指魯莽 中市府回應了
20:05
活貓遭現宰煲「龍虎鳳」 PO炫耀文遭停業
20:04
鄭麗文致詞馬英九紅了眼 游錫堃1句神解
20:01
桃客司機毆學生「離職又回聘」公司說話了
19:56
「西拉雅號」啟航 展現台灣海洋新篇章
19:55
首次參加封王遊行 古久保擔心球迷們安危
19:51
台灣彩券開獎直播中
20:31
創意無極限!國中小生飆戲 宣傳節約能源
11:00
台灣大日月潭花火音樂會吸3.5萬人齊聚
22:00
外送專法受矚 三大平台籲政府加強溝通
14:00
有酷澎WOW會員 毛孩照顧更輕鬆
11:00
維生素B群功效與補充全解析!
14:00
日本熱銷4億包!糖脂對策 隨餐1包纖維粉
12:00
酷澎雙11狂購祭 美國保健品限時五折
11:00
八里國際化成形!港灣特區陸海空黃金三角
11:00
13聖杯!桃園護國宮爐主淚:太子爺早暗示
19:40
首頁
關鍵字
半身無力
半身無力
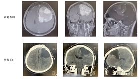
右半身無力拖延半年 醫一看:7公分腦瘤
家住雲林22歲的李姓患者於今年二月開始出現右半身無力...
2023/10/19 06:48
最新圖輯
更多
劉書宏專訪
袁澧林、陳孝萱專訪
第36屆金曲獎星光大道
第36屆金曲獎得獎圖輯
NMIXX林口體育館粉絲演唱會
KISS OF LIFE台北演唱會
林芯儀專訪
GYUBIN大巨蛋開球
陳謙文專訪
孫麥傑專訪
今日頭條
1
擅清消案場遭陳駿季指魯莽 中市府回應了
2
鄭麗文致詞馬英九紅了眼 游錫堃1句神解
3
二擇一!領中國護照丟台灣戶籍:已廢50人
4
桃客司機毆學生「離職又回聘」公司說話了
5
謝侑芯經紀人開撕黃明志 790字爆調查內幕
6
這國即將大選!候選人表態:重啟台邦交
7
撞死過馬路老夫妻 特斯拉女駕駛身份曝光
8
山本由伸奪MVP!母隊海報神預言逼哭日網
9
GD大巨蛋喊台北是我家 小S、林心如也來
10
性別趴面癱!護理師爆王子陪懷孕粿粿看診
HOT焦點
更多
維生素B群功效與補充全解析!
轉大人文化節 提倡全齡健康管理從小做起
酷澎雙11狂購祭 美國保健品限時五折
頻道推薦
直播✦活動
三立新聞網
為了提供更好的閱讀內容,我們使用相關網站技術來改善使用者體驗,也尊重用戶的隱私權,特別提出聲明。
了解最新隱私權聲明
知道了