快訊
聽新聞
0:00 0:00

60歲男胸悶、難呼吸!檢查驚見「鵝蛋大腫塊」 醫:「5症狀」是警訊

記者鄭玉如/台北報導

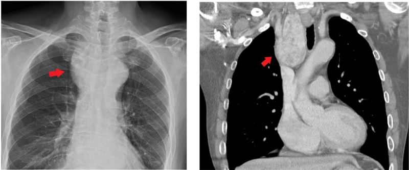
一名60歲男長期胸悶、呼吸不順,檢查發現甲狀腺腫塊壓迫氣管。(圖/聯新國際醫院提供)
一名60歲男長期胸悶、呼吸不順,檢查發現甲狀腺腫塊壓迫氣管。(圖/聯新國際醫院提供)

一名60歲男性長期胸悶、呼吸不順,就醫檢查發現,一顆從甲狀腺右葉延伸到胸腔內、鵝蛋般大小的腫大結節,已明顯壓迫氣管,原被評估需切開胸骨切除,但患者擔憂術後疼痛影響生活,經轉診到聯新國際醫院,經評估認為,無須切開胸骨,僅透過前頸部切口就將腫塊完整移除,患者術後第二天出院,呼吸不順症狀已改善。

聯新國際醫院甲狀腺外科林晏甥醫師分享案例,一名年約60歲男性長期胸悶、呼吸不順,平躺時還會感覺「吸不到空氣」,隨即就醫,透過胸部X光檢查發現,氣管右側有疑似腫塊陰影,造成局部氣管偏移中線。進一步電腦斷層掃描發現,一顆由甲狀腺右葉延伸到胸腔內、約為9×5公分如鵝蛋般大小的腫大結節,已明顯壓迫氣管,當時被建議手術切除。

林晏甥指出,患者擔心術後疼痛影響生活,經親友介紹轉診到他的門診,經評估後認為,結節並未超過氣管分叉處,無須切開胸骨,僅透過前頸部切口就將腫塊完整移除。病患術後第二天即出院,一週後回診病理報告為良性,且因切除的是增生組織,對甲狀腺功能無影響,同時原本胸悶與平躺時呼吸困難的症狀,也完全改善。

林晏甥解釋,甲狀腺結節是甲狀腺內部形成的異常組織腫塊,台灣成人盛行率高達40%以上,幸好超過九成以上都是良性。大多數結節位於頸部,但少部分會向下延伸至胸骨後方,甚至是胸腔內,當結節體積超過50%位於胸腔,即稱為「胸骨後甲狀腺結節腫大」或「縱膈腔甲狀腺結節」,約占所有甲狀腺手術的3%至17%。

針對一般良性且無壓迫症狀的甲狀腺結節,主要是以超音波與細針穿刺細胞學檢查,由於胸骨後甲狀腺結節腫大位在胸腔內,難以用超音波偵測,因此常在有壓迫症狀時才被發現。常見症狀包括呼吸困難、吞咽異物感、聲音嘶啞、慢性咳嗽或喘鳴聲。一旦出現上述症狀,應儘早就醫檢查,而對於胸骨後甲狀腺結節腫大的首選治療方式仍為手術,不僅能緩解壓迫、改善症狀,也能降低惡性變化風險。

林晏甥提醒,甲狀腺結節目前尚無預防方法,民眾可於日常梳妝或洗臉時,透過鏡子觀察頸部是否有單側腫大,或透過年度健康檢查加入頸部超音波檢查,提早發現異常。一旦發現結節,即使經檢查確認為良性,也應持續定期追蹤。若出現聲音沙啞或吃流質的食物容易嗆咳等異常,也應提高警覺,及早就醫。

雖然甲狀腺結節惡化為甲狀腺乳突癌或濾泡細胞癌的機率極低,致死率更低,但仍應謹慎對待,定期追蹤與早期介入治療。林晏甥強調,對於結節,民眾無須過度恐慌,但也不可輕忽結節可能帶來的壓迫症狀與潛在惡化風險。

#祝你健康

CH54三立新聞台直播
大數據推薦
【#直播中LIVE】年初一!賴清德嘉義、台南參香、發放福袋
熱銷商品
頻道推薦
直播✦活動
三立新聞網三立新聞網為了提供更好的閱讀內容,我們使用相關網站技術來改善使用者體驗,也尊重用戶的隱私權,特別提出聲明。
了解最新隱私權聲明