APP下載
活動
爆料
圖輯
AI爆報
追蹤新聞
3
台灣彩券開獎直播中
三立iNEWS新聞台線上直播
LIVE三立+24小時直播
即時
非洲豬瘟侵台
輝達進駐台北
新聞
熱門
政治
社會
娛樂
生活
新奇
健康
國際
兩岸
運動
財經
房產
旅遊
科技
汽車
遊戲
ESG
影音
總覽
政論
節目
熱搜
直播
iNEWS
專題
總覽
特企
專頁
大事件
彩券
專欄
民調
快訊
林岱樺晚會教民調操作!其他人這麼看
00:23
《角頭》性感女神來了 她火辣寫真超吸睛
00:03
垃圾去哪兒?《華郵》追蹤颶風廢棄物去向
00:00
GD深夜現身金豬食堂 李洙赫全程愛相隨
23:55
「最強奶媽」怒噴黃明志:根本心裡有鬼
23:54
高雄長庚醫院突停電?台電揪出元兇
23:52
鄭麗文言論驚嚇海外!共和黨大老唱衰
23:31
四川一地集中採集男性血液樣本 引發質疑
23:18
墨西哥超市爆炸23死 當局:疑變壓器故障
23:17
疫調結果3日公布 前進應變所記者會停開
23:14
陸臥底舉報拐賣嬰 反遭湖南警限制自由
23:08
王齊麟、邱相榤 奪BWF海洛公開賽冠軍
23:07
黃國昌:政黨相處重信任 說了沒做要懲罰
23:02
剛吃飽又餓!營養師列「假性食慾」5徵兆
22:51
護理女神猝死!黃明志疑與死者發生性關係
22:47
林岱樺最新發聲:用心陪伴高雄會越來越好
22:41
萬聖節警花顏值輾Coser 竟是模特兒律師
22:36
道奇奪世界大賽冠軍 每人獎金估1500萬
22:30
黃明志捲謝侑芯命案 網揪「1疑點」追問
22:17
中市偷清消解封恐延後 他:和全台豬農為敵
22:15
台灣彩券開獎直播中
20:31
創意無極限!國中小生飆戲 宣傳節約能源
11:00
台灣大日月潭花火音樂會吸3.5萬人齊聚
22:00
外送專法受矚 三大平台籲政府加強溝通
14:00
有酷澎WOW會員 毛孩照顧更輕鬆
11:00
維生素B群功效與補充全解析!
14:00
日本熱銷4億包!糖脂對策 隨餐1包纖維粉
12:00
酷澎雙11狂購祭 美國保健品限時五折
11:00
八里國際化成形!港灣特區陸海空黃金三角
11:00
13聖杯!桃園護國宮爐主淚:太子爺早暗示
19:40
首頁
關鍵字
癌末
癌末
爽啪少女!大夜收銀員丟飯碗…還要養癌父
桃園郭姓連鎖賣場大夜班收銀員,去年透過網路遊戲,認識...
2025/11/02 11:10
爸爸不要走!小六女撐起全家一片天
桃園,有一個勇敢的小六女生正在跟命運搏鬥。她是小樺,...
2025/08/13 09:12
癌末離職跑N趟辦理 外勤控竹市府冷處理
新竹市政府一名罹患大腸癌末期的外勤員工,日前辦理離職...
2025/07/17 21:36
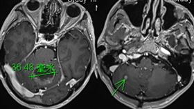
獨家/他的肺癌轉移到腦變「滿天星」
基隆長庚醫院傳出一名患有「刁鑽兇殘的癌中之王」小細胞...
2025/07/16 11:49
他剛求診已癌末!醫驚見1警訊嘆:太晚了
近來天氣炎熱,導致不少人胃口變差,但如果長時間都吃不...
2025/07/01 18:01
大咖視帝屢傳癌末 12歲愛女撞臉張柏芝
62歲香港男星羅嘉良,憑藉《難兄難弟》、《天地豪情》...
2025/06/30 12:13
被宣告準備辦後事…癌末者3改變 病竟好了
胰臟癌有「癌王」之稱,衛福部日前公布113年國人十大...
2025/06/28 16:35
80歲癌末伯求「3事」!清醒善終:真福報
如何面對癌末與生命終點,是人生重要的一課。醫師蘇一峰...
2025/06/17 15:35
癌末外婆快離世想提早用喪假!他1句挨轟
職場休假制度保障員工休息權益,提升工作效率與生活品質...
2025/05/28 14:09
首次掛診就癌末!醫:9成人都有「1特點」
癌症是國人十大死因之首。血液腫瘤科醫師廖繼鼎表示,在...
2025/05/28 11:21
癌末女星曾一度停化療 病況再出現1變化
50歲吳文忻(現名吳忻熹)去年乳癌再度復發並惡化到第...
2025/05/24 20:36
首次掛診就癌末!9成人都有「1特點」
癌症是國人十大死因之首。行醫30年的血液腫瘤科醫師廖...
2025/04/29 12:06
倪匡癌末放棄治療 最後露面道別:來生見
香港知名作家倪匡一生著作無數,與金庸、黃霑、蔡瀾並列...
2025/04/22 16:36
癌末「每天半碗1食物」 2年半沒再復發
菇類不僅熱量低,還富含植物性蛋白質、多醣體及膳食纖維...
2025/04/12 18:06
獨/求醫別讓癌末父死 家屬:還沒領年金
在醫院真的可以看見人情冷暖和人性的百態...知名胸腔...
2025/03/31 18:32
控醫療疏失!親友團衝撞診所下場曝光
吳姓男性因肝癌末期在診所就醫期間,因大腿有紅腫現象轉...
2025/03/22 16:50
39歲男吃完三明治 「下秒壽命剩幾個月」
去(2024)年12月底,英國有位39歲男子在吃三明...
2025/03/17 17:00
癌末男想吃燒肉!茶六暖舉10萬人淚讚
「本人在此向茶六朝富店獻上深深的謝意」一名女網友7日...
2025/03/08 10:01
陳文茜癌末洩重大心願 認:最後一段路程
66歲資深媒體人陳文茜罹患黑色素癌四期,目前靠著免疫...
2025/02/20 16:34
陳文茜癌末嘆「時光緊迫」曬團圓照惹鼻酸
資深媒體人陳文茜罹患黑色素癌第四期,正積極接受治療中...
2025/01/30 12:58
癌末父想回家善終 護理師持續一舉動催淚
近日台中發生一起暖心的真實故事,讓人非常感動!起因是...
2025/01/24 15:19
三期癌腫瘤塞滿膀胱 醫用它戰勝癌細胞!
彰化胃腸科名醫鄭光人,半年前發現罹患膀胱尿路上皮癌第...
2025/01/15 09:29
獨/赴美國媽祖廟求子成真 她還願謝亡父
位在美國舊金山唐人街小巷裡,看似一間民宅的美國媽祖廟...
2025/01/11 14:43
媳婦曝癌末公公有大轉變 過來人這麼說
近日一名媳婦表示,癌末公公會說讓人聽不懂的話,寫的字...
2025/01/06 16:20
人妻遭救護車司機性侵!癌末夫被丟包慘死
印度日前才剛發生一起實習女醫師遭性侵致死案件,引發當...
2024/09/06 23:55
男星外公癌末病情惡化 缺席演唱會藏遺憾
全方位偶像洪暐哲18日舉辦《夏日微光樂園》個人首場演...
2024/08/19 06:20
狂咳2個月癌末亡!「1養生習慣」害命
癌症42年蟬聯國內10大死因之首,其中肺癌患者更是逐...
2024/07/18 15:43
肉搜擋道駕駛靈堂歉⋯網戰翻!警給答案了
一名18歲癌末病患於本月9日,留一口氣想返回嘉義老家...
2024/07/16 16:50
沒撐到家斷氣⋯友幫肉搜擋道駕駛!網吵翻
載著臨終病患的救護車到底該不該讓?網路上兩派戰火延燒...
2024/07/16 10:55
沒道別就斷氣 友:死者要擋道車主靈堂歉
一名18歲癌末病患,臨終前留一口氣想返回嘉義老家,與...
2024/07/15 16:40
最新圖輯
更多
劉書宏專訪
袁澧林、陳孝萱專訪
第36屆金曲獎星光大道
第36屆金曲獎得獎圖輯
NMIXX林口體育館粉絲演唱會
KISS OF LIFE台北演唱會
林芯儀專訪
GYUBIN大巨蛋開球
陳謙文專訪
孫麥傑專訪
今日頭條
1
中市偷清消解封恐延後 他:和全台豬農為敵
2
鄭麗文致詞馬英九紅了眼 游錫堃1句神解
3
二擇一!領中國護照丟台灣戶籍:已廢50人
4
桃客司機毆學生「離職又回聘」公司說話了
5
謝侑芯經紀人開撕黃明志 790字爆調查內幕
6
這國即將大選!候選人表態:重啟台邦交
7
撞死過馬路老夫妻 特斯拉女駕駛身份曝光
8
山本由伸奪MVP!母隊海報神預言逼哭日網
9
GD大巨蛋喊台北是我家 小S、林心如也來
10
罷團正妹阿美「近況曝光」突表態挺邱議瑩
HOT焦點
更多
13聖杯!桃園護國宮爐主淚:太子爺早暗示
「西拉雅號」啟航 展現台灣海洋新篇章
UCC今上路!六都13院所「5情況」可就醫
頻道推薦
直播✦活動
三立新聞網
為了提供更好的閱讀內容,我們使用相關網站技術來改善使用者體驗,也尊重用戶的隱私權,特別提出聲明。
了解最新隱私權聲明
知道了