APP下載
活動
爆料
圖輯
AI爆報
追蹤新聞
3
台灣彩券開獎直播中
三立iNEWS新聞台線上直播
LIVE三立+24小時直播
即時
台美關稅15%
九合一點將
新聞
熱門
政治
社會
娛樂
生活
新奇
健康
國際
兩岸
運動
財經
房產
旅遊
科技
汽車
遊戲
ESG
影音
總覽
政論
節目
熱搜
直播
iNEWS
專題
總覽
特企
專頁
大事件
彩券
專欄
民調
快訊
吳佩慈生4胎紀曉波仍不娶 驚人內幕曝
10:05
經濟部貼圖 台積電佈局全球仍是TaiwanSMC
10:02
中共氣瘋了!謝金河爆對美談判「內幕」
09:55
李鴻章創辦「這企業」如今竟成世界500強
09:54
36歲男土城旅館暴走!熱水壺砸車遭法辦
09:53
下週急凍變天下探11度!回溫要等到這天
09:53
努力沒小費?前副總嘆:像隱形人
09:50
伊朗將攻擊美軍基地?川普:絕對強力回擊
09:49
林智勝教練職務曝 味全龍完整教練團公布
09:48
警員PO「藏尾詩」酸成大博士腦殘…下場曝
09:47
台中車站跳軌!夫妻吵架「雙雙跳下月台」
09:39
共軍無人機闖東沙領空!陳冠廷喊話在野黨
09:39
青花菜下鍋前先做1事 逼出更多抗癌成分
09:38
郵局用戶注意!「存款1新規定」3/14上路
09:37
謝金河:看清楚台美關稅談判的幾個重點!
09:35
林俊易3盤險勝 發豪語奪首座超級750冠軍
09:33
懂刷又懂省!2026刷卡回饋攻略全掌握
09:23
不只墾丁…敲國旅喪鐘!小琉球1原因腰斬
09:16
學者:幫共諜案狡辯,基本就是中共同路人
09:13
捷克飲料店挺台遭中國負評!台人力挺補血
09:13
台灣彩券開獎直播中
20:31
台新新光金控旺年會 逾1.8萬員工歷年新高
09:15
松山奉天宮攜手故宮 辦三官數位藝術特展
21:00
高雄漢來上海湯包 擄獲老饕胃
12:00
醒吾三立影視學院成果展 學員表現亮眼
20:00
這個品牌有夠猛!選「愛莉莎莎」當代言
18:30
星城Online玩創意!拍《戲說台灣》單元劇
12:00
2026開局君綺醫美強攻信義區!
11:00
凱基金控迎春公益市集 讓年味多一份善意
17:00
防身專家陳勇正多起公共事件受關注
16:00
別再死背英文!右腦圖像法15分鐘無痛學會
11:00
首頁
關鍵字
胸腔外科
胸腔外科
獨/家屬遞破舊塑膠袋致謝 醫打開嚇一跳
胸腔醫師李佳穎分享近日在醫院遇到的真實事件,不禁表示...
2025/06/13 17:17
獨/求醫別讓癌末父死 家屬:還沒領年金
在醫院真的可以看見人情冷暖和人性的百態...知名胸腔...
2025/03/31 18:32
獨/痰色痰味揭得什麼病 最慘恐是癌症
究竟什麼是「痰」呢?胸腔外科權威李佳穎醫師解釋道:「...
2025/02/23 13:06
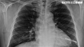
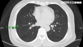
肺結節突增8倍大 患者:洩天機會遭報應
胸腔外科權威暨重症專科醫師李佳穎,日前他在自己的臉書...
2025/02/20 16:14
幫友擋大劫肺結節突大8倍 醫看了也嚇壞
玄學在科學上雖無法證明,但有時詭異巧合,總讓人不寒而...
2025/02/16 16:48
流感變重症有最快?醫:「4症狀」快衝醫院
近兩週(1/21~2/3)新增142例重症病例、25...
2025/02/05 14:19
醫院裡最傷的電話 家人沒了還得忍淚救人
醫院裡最讓人沉重和心碎的電話,究竟是什麼樣內容的電話...
2025/01/28 12:35
不放護理師過年 醫嘆:別人的孩子死不完
長達9天的春節連假,不少職業得堅守崗位,無法回家過年...
2025/01/28 07:00
學歷≠好壞醫師 胸腔外科權威揭波波疑慮
所謂「波波醫生」是民眾針對波蘭台籍醫學生的暱稱,主因...
2024/11/21 15:41
吞口水都痛!男食道竟躲「7公分腫瘤」
47歲的阿鴻從事農產品運輸業,每天送貨時檳榔、香菸不...
2023/05/30 19:15
割草機擊中石頭 6公分片刀斷噴飛刺進胸
年節前到處可見大掃除景象,一般看似操作簡單的除草機,...
2023/01/18 16:22
早揪出肺癌「手術+輔助治療」可降復發率
台灣肺癌發生率相當高,更位居台灣癌症死因之首,但肺癌...
2022/10/19 14:00
愛吃半熟蛋!男胸口冒腫塊裡面全是膿
55歲賴先生一向身體健康,沒慢性病也幾乎不感冒,但平...
2022/04/20 08:45
男胃不舒服竟食道癌!有這症狀快就醫
62歲的王先生因胃部不適到醫院接受胃鏡檢查,醫師發現...
2022/03/09 14:30
肺癌術後接標靶 輔助治療降復發風險
根據衛福部國健署資料 顯示,台灣每年約有1萬3千例新...
2022/02/09 07:40
拔牙後找不到牙齒 竟出現在這個器官
拔牙是每個人的成長經驗,除了循正規途徑請牙醫執行,有...
2021/10/01 09:49
男子車禍左側斷1根肋骨釀併發症
收治這名湯姓男子的台中澄清醫院中港分院胸腔外科主任暨...
2021/05/15 00:00
女健檢意外揪它撿命 醫曝這事超驚險
35歲的李小姐近期安排全身健康檢查,自覺身體強健的她...
2021/04/08 06:11
30歲OL眼癢咳嗽 就醫才知這問題
台中30歲上班族「小彤」最近開車總看到遠方一片灰濛濛...
2021/03/11 08:57
肋骨骨折除保守治療 還有新式固定術
謝志明主任指出,過去傳統肋骨骨折的治療方式,因為礙於...
2020/12/01 03:00
車禍肋骨骨折…致命隱形殺手:氣血胸
27歲陳先生騎機車出車禍,沒有明顯外傷但感覺左肩疼痛...
2020/10/28 07:37
狂嗑火鍋又喝酒 男竟把食道吐到破裂
65歲楊先生日前與許久未見的親友相約吃火鍋、喝酒,一...
2020/08/13 11:23
胸骨折挫傷肺 鈦金屬肋骨手術救一命
隨著重型機車的風潮興起,國人愛好重機的人口比例也日漸...
2020/07/21 20:14
女子咳血10年 竟是胃血管闖進肺臟
六旬女性咳血逾十年,竟是胃的一條血管進到肺臟惹的禍。...
2020/07/02 10:06
肺腺癌標靶藥納健保 晚期基因突變肺
臨床上,一名70多歲阿婆,被診斷無法治癒的肺腺癌晚期...
2020/06/19 09:00
咳嗽痛到唉爸叫母 肋骨骨折會自癒?
經營貨運行的60歲陳先生,半年前搬東西一個重心不穩,...
2020/04/20 17:11
老公兒子菸不離手 50歲婦罹肺腺癌
50歲李媽媽為家庭主婦,因丈夫、兒子都是老菸槍,連帶...
2020/03/26 08:25
母子竟先後揪出肺腺癌 醫揭驚人原因
57歲莊女士,家庭主婦,不抽菸、不喝酒、生活規律,在...
2019/10/04 16:10
騎車40年沒戴口罩 牧師夫婦同罹癌
沒戴口罩騎車探訪近40年,台中六旬王姓牧師夫婦雙雙檢...
2019/08/29 13:28
肺癌治療如同慢性病?這藥選擇是關鍵
晚期肺癌標靶藥物順序優化後,肺癌治療就如同慢性病!一...
2019/05/24 09:20
最新圖輯
更多
羅志祥30周年演唱會
凱琳專訪
黃鐙輝、吳念軒、黃騰浩專訪
第62屆金馬獎得獎後台
第62屆金馬獎紅毯
劉書宏專訪
袁澧林、陳孝萱專訪
第36屆金曲獎星光大道
第36屆金曲獎得獎圖輯
NMIXX林口體育館粉絲演唱會
今日頭條
1
伊朗將攻擊美軍基地?川普:絕對強力回擊
2
台中車站跳軌!夫妻吵架「雙雙跳下月台」
3
郵局用戶注意!「存款1新規定」3/14上路
4
共軍無人機闖東沙領空!陳冠廷喊話在野黨
5
台股創新高被唱衰 謝金河揭上攻3萬5關鍵
6
下週急凍變天下探11度!回溫要等到這天
7
王鴻薇揭「民進黨2個不敢說的事」網酸爆
8
獨/啦啦隊女神遭裝定位器 警方鎖定產地
9
控國手尪偷吃家暴 安歆澐被飛踢撞暈濺血
10
美遇襲發動報復 空襲敘國擊斃蓋達領袖
HOT焦點
更多
這個品牌有夠猛!選「愛莉莎莎」當代言
2026開局君綺醫美強攻信義區!
凱基金控迎春公益市集 讓年味多一份善意
頻道推薦
直播✦活動
三立新聞網
為了提供更好的閱讀內容,我們使用相關網站技術來改善使用者體驗,也尊重用戶的隱私權,特別提出聲明。
了解最新隱私權聲明
知道了