APP下載
活動
爆料
圖輯
AI爆報
追蹤新聞
3
台灣彩券開獎直播中
三立iNEWS新聞台線上直播
LIVE三立+24小時直播
即時
對等關稅違憲
賈永婕嗆蔣
新聞
熱門
政治
社會
娛樂
生活
新奇
健康
國際
兩岸
運動
財經
房產
旅遊
科技
汽車
遊戲
ESG
影音
總覽
政論
節目
熱搜
直播
iNEWS
專題
總覽
特企
專頁
大事件
彩券
專欄
民調
快訊
中東情勢緊張 美國福特號航艦抵以色列
01:15
民調:美國人同情巴勒斯坦首超以色列
01:13
監控疑慮!漢堡王推AI耳機評分員工友善度
01:11
台北101為228點燈 賈永婕:不必撕裂彼此
01:08
阿拉伯媒體:美國公民大舉離開伊拉克
01:03
劍麟訂單能見度拉長 配4.5元現金股利!
01:02
OpenAI獲大廠投資逾3.4兆 估值達近23兆
01:00
慈禧第五世外孫女照片曝 網驚:根本本人
00:50
新/PPI超標!美股慘綠 這檔卻噴20%
00:47
把握優惠趁現在 高雄春季旅展開跑
00:15
二寶爸外遇中國直播主 性愛實況片流出
00:07
高雄婦墜樓倒家門外慘死 家屬接通知傻眼
00:02
簡體字挨批嗆客 茶的魔手分店暫停營業
23:46
原物料飆漲 高雄家電展限時舊價搶購
23:43
為台灣女足集氣 小球員寫卡送亞洲盃賽場
23:14
阿富汗遭巴基斯坦空襲後 塔利班盼對話
23:08
阿富汗與巴基斯坦衝突升高 重點一次看
23:04
新/高雄BMW斷消防栓 他水花中氣絕搶命
22:52
陳佩琪臉書帳號驚傳「人間蒸發」!
22:43
離職拿到100萬!她3個月全花光 網看傻
22:42
台灣彩券開獎直播中
20:31
台彩春節加碼12億元創新高
12:00
大樂透加碼480組100萬元
12:00
大樂透加碼800組10萬元
12:00
開工打造好運勢 小人退散能量水晶迎貴人
12:00
祥獅獻瑞迎開工!愛妮雅集團新年藍圖首曝
17:00
瘦身急救章 一秒塑身穿上小號緊身洋裝
11:00
初九天公生 松山奉天宮備平安麵共享
16:00
捷運七張站走路2分鐘 友座明明德機能到位
15:00
開學換機酷澎火箭速配隔日到貨
10:00
企業暖心故事 一份工作撐起整個家
13:00
Xtars人氣直播主大揭密 鏡頭下的甘苦
13:00
土城永福岩清水祖師廟擲筊大賽 頭獎百萬
12:00
初一金山財神廟湧人潮 聯名蛋捲禮盒喜氣
11:00
首頁
關鍵字
沙啞
沙啞
米可白鹿港賣餅叫到沙啞 親揭身體現況
農曆春節期間,許多藝人選擇返鄉享受天倫之樂,女星米可...
2026/02/22 16:07
64歲湯志偉聲音沙啞疑出事 本尊回應了
64歲藝人湯志偉9歲以童星身份踏入演藝圈,近來在《整...
2025/12/15 18:49
喉嚨痛、沙啞恐是癌!「2狀況」快就醫
癌症是國人十大死因之首。醫師黃軒表示,癌症並非一夕之...
2024/11/21 15:39
媽媽們沒感冒卻「集體沙啞」 兒科醫懂了
近日新冠病毒、流感、腸病毒疫情升溫,各大醫院及診所的...
2024/07/08 07:34
阿信新加坡聲音出狀況 自責:好想一直唱
亞洲天團五月天2024年繼續展開巡演,日前剛結束台中...
2024/01/14 16:57
阿信開唱前緊急治療 原因曝光粉絲超心疼
五月天31日起一連六場在台中洲際棒球場開唱,共吸引1...
2024/01/06 18:09
秦嵐聲帶受損全毀!醫院證實:治不好了
大陸女星秦嵐演出《延禧攻略》成為許多人心目中的富察皇...
2023/11/19 16:00
他長期沙啞竟染HPV!醫一看驚呼:嚇到我
有醫師近日發文表示,他的男性好友長期聲音沙啞,因情況...
2023/09/19 10:22
告別沙啞!改變共鳴方式,讓說話更輕鬆
不曉得大家是否曾經有過以下經驗:在長時間說話後,覺得...
2023/07/04 07:08
18歲女聲帶長滿菜花慘了 感染原因驚呆人
有醫師在節目上分享,先前曾有一名年輕女病患看診時聲音...
2023/05/12 10:44
解婕翎累壞認了失聲!近況曝光粉絲全驚呆
「宅男女神」解婕翎長相甜美,自然不做作的個性深受許多...
2023/03/09 08:00
第9度站台!蔡英文讚蔡其昌市長不二人選
聚焦台中市長選戰,選前20天,總統蔡英文6日再度南下...
2022/11/07 10:00
梨泰院英雄警察是他 奮力喊回頭逼哭網
韓國梨泰院29日發生嚴重踩踏事故,造成156人死亡,...
2022/11/01 13:43
獨/染疫後為何會「燒聲」 有3情況很難好
許多人染疫後逐漸出現「長新冠」症狀,喉嚨沙啞竟也是其...
2022/10/04 16:27
男確診後3個月慘失聲 喇叭得開到最大聲
目前台灣本土疫情處在高原期,許多先前沒有確診過的民眾...
2022/10/04 08:34
聲音沙啞超過2周好不了 醫師一看竟是癌
最近疫情影響,不少人確診後就有不少後遺症,像是體力變...
2022/09/23 11:49
中秋連跑行程 鄭運鵬沙啞按喉嚨發聲
鄭運鵬11日上午活動全程按著喉嚨講話,中秋連假跑了5...
2022/09/11 16:14
「燒聲」超實用!喉部按摩立刻上手
「老師,我最近講話愈來愈吃力,聲音沙啞好難受...」...
2022/05/22 17:57
突爆身體出狀況 利菁曝不能動不能吃
許久未公開露臉的主持天后利菁今突然發文透露身體出狀況...
2022/03/30 22:41
深田恭子抱病上工 網聽聲音驚太虛弱
日本女星深田恭子先前在5月因罹患「適應障礙症」確診,...
2021/10/07 16:55
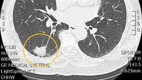
最容易被忽略的肺癌症狀 醫師點名它
肺癌常見症狀包括咳嗽、血痰、胸悶胸痛、哮喘等,家醫科...
2021/01/04 10:09
「3飲食習慣」醫:一罹癌活不過5年
美食人人想品嘗,但如果有一天,突然不能進食時該怎麼辦...
2020/11/29 16:20
男沙啞3個月 醫一照聲帶成菜花田…
恐怖!台中一名35歲擔任業務員的男子,平時有抽菸、喝...
2020/02/01 23:02
床戰到一半!正妹卡濃痰 叫聲秒悲劇
吸菸除了會傷害支氣管,也會增加罹癌風險,可謂百害而無...
2019/12/20 21:00
聲音沙以為老了 他就醫才知事情大條
要是聽到有人聲音沙啞,許多人第一聯想到的便是感冒,但...
2019/08/16 15:23
婦人頭暈又沙啞 不是感冒竟是腦中風
有些症狀看起來跟感冒一樣,但小心恐暗藏著你想不到的疾...
2019/04/13 20:42
「聲音沙啞」恐罹癌?2種人高危險群
聲音沙啞可能是癌症?台中一名中年婦女,因為參加選舉造...
2019/03/20 18:54
無法飆高音、沙啞...恐聲帶長囊腫
擔任導遊的30歲郭小姐,個性豪爽親切,聲音宏亮,很受...
2018/05/10 06:38
罕見!感冒沙啞一個多月 竟聲帶沾黏
感冒咳嗽失聲,竟會造成「聲帶沾黏」。一名60多歲的宮...
2018/03/05 20:12
聲音沙啞超過1個月 他竟遭喉癌盯上
說話聲音異常超過1個月以上,小心是喉癌徵兆。67歲的...
2018/02/01 13:38
最新圖輯
更多
初孟軒、鍾岳軒專訪
龍千玉與翁立友領豪記唱片群星拜年
Rain鄭智薰小巨蛋演唱會
金在中演唱會
羅志祥30周年演唱會
凱琳專訪
黃鐙輝、吳念軒、黃騰浩專訪
第62屆金馬獎得獎後台
第62屆金馬獎紅毯
劉書宏專訪
今日頭條
1
醉打點滴!衛生所淪解酒站 北竿鄉長道歉
2
陳佩琪臉書帳號驚傳「人間蒸發」!
3
下波冷空氣凍探15度 元宵節天氣曝光
4
龍仔退賽宋晟睿前進東京 曾豪駒說明考量
5
小人國飛機模型又被毀!園方沉痛發聲了
6
沈玉琳親自發聲證實復工 最新病況全說了
7
22歲女大生獨旅奪命瞬間曝光 校方發聲了
8
獨/國道血滴子削頭頸 駕駛負傷先護乘客
9
明天上路!汽車隔熱紙新制 違規罰1800元
10
求職、升遷新標準! 不會AI恐找不到工作
HOT焦點
更多
桃園魯冰花季登場 浪漫黃金花海展至3/8
新北迎接全障運!板橋體育場打造彩虹看臺
開工打造好運勢 小人退散能量水晶迎貴人
頻道推薦
直播✦活動
三立新聞網
為了提供更好的閱讀內容,我們使用相關網站技術來改善使用者體驗,也尊重用戶的隱私權,特別提出聲明。
了解最新隱私權聲明
知道了