APP下載
活動
爆料
圖輯
AI爆報
追蹤新聞
3
台灣彩券開獎直播中
三立iNEWS新聞台線上直播
LIVE三立+24小時直播
即時
非洲豬瘟侵台
輝達進駐台北
新聞
熱門
政治
社會
娛樂
生活
新奇
健康
國際
兩岸
運動
財經
房產
旅遊
科技
汽車
遊戲
ESG
影音
總覽
政論
節目
熱搜
直播
iNEWS
專題
總覽
特企
專頁
大事件
彩券
專欄
民調
快訊
被川普逗樂!習近平「眼睛笑成一條線」
22:14
才奪金4個月!金曲歌王自爆「弄斷獎座」
22:13
10億投資不手軟!大聯大瞄準半導體後勤
22:06
深夜學點量子力學!鴻海解鎖化學密碼
22:00
校園變侏儸紀公園?巨大綠鬣蜥爬樹學生驚
21:43
「萬華鄧紫棋」鹹濕對話曝!元配怒索百萬
21:42
新/海鷗颱風生成了!對台影響曝
21:38
獨/濟公大佛戴破億金牌 防賊設警報器
21:38
川普投顧發錢了!這檔基金把美股當提款機
21:35
理想混蛋唱一半 大咖歌手衝上台組新團
21:32
行動電源突起火爆炸!澎湖交通船旅客嚇壞
21:29
阿巴西、內馬砍49分 特攻擋住夢想家逆襲
21:28
林信義會晤日相 盼台日深化數位貿易合作
21:25
王祖賢艾灸館親自服務 揭對戲劉德華困擾
21:19
機器人顧問搶飯碗?AI加入獵才行列
21:14
新/台師大撤銷周台英博士學位
21:10
獨/珮含應援初登場沒偶包 怕冷鼻水直流
21:10
GD自爆感情狀態 親揭BIGBANG回歸計畫
20:55
不滿鄰居鞋櫃佔公區!新北男偷藏鞋判決曝
20:51
海鷗颱風估明生成!還有新熱帶系統恐擾台
20:50
台灣彩券開獎直播中
20:31
台灣大日月潭花火音樂會吸2.6萬人齊聚
22:00
外送專法受矚 三大平台籲政府加強溝通
14:00
有酷澎WOW會員 毛孩照顧更輕鬆
11:00
維生素B群功效與補充全解析!
14:00
日本熱銷4億包!糖脂對策 隨餐1包纖維粉
12:00
酷澎雙11狂購祭 美國保健品限時五折
11:00
八里國際化成形!港灣特區陸海空黃金三角
11:00
13聖杯!桃園護國宮爐主淚:太子爺早暗示
19:40
首頁
關鍵字
腎臟癌
腎臟癌
港星腎癌逝!8症狀是警訊 發現多已中後期
港星許紹雄28日凌晨因腎臟癌引發多重器官衰竭病逝,享...
2025/10/29 15:55
別用這類餐具!6旬翁「毒素跑全身」罹2癌
減少使用外食包裝,防油紙袋、一次性餐具恐害腎臟癌、睪...
2025/08/30 12:36
58歲男喉嚨痛 醫檢查驚呆「罹患4癌症」
以為只是喉嚨痛,沒想到竟得了4種癌症!一名58歲男子...
2025/08/04 15:27
他莫名慘罹2癌!驗血報告揪「1餐具」釀禍
生活中的毒素無所不在。醫師劉博仁表示,一名60歲男子...
2025/07/09 11:21
他原本癌症一期可治癒 堅持「2事」癌末了
台灣醫學進步,癌症患者最好的應對方式仍為配合醫師治療...
2025/05/13 12:24
資深主持人膀胱癌逝!「1現象」慘了會復發
日本知名新聞節目主持人小倉智昭自1999年接手主持晨...
2024/12/10 13:41
30歲男不菸酒慘罹腎癌 恐「1餐具」釀禍!
生活中的毒素無所不在。營養醫學醫師劉博仁表示,一名3...
2024/09/30 08:39
不菸不酒罹腎臟癌 醫勸少用「這種餐具」
▲(示意圖/pixabay)營養醫學醫師劉博仁日前分...
2024/09/29 14:08
養身男連得2種癌症 醫抓元凶:在廚房
有名男子平時很顧養身,但他竟一口氣得到腎臟癌、膀胱癌...
2024/09/13 21:05
使用不沾鍋要小心!美國這1病創歷史新高
不少人烹調喜歡使用不沾鍋,但太節省的結果可能會讓自己...
2024/07/31 07:28
三餐自煮竟罹癌!醫一看全用「地雷鍋具」
許多民眾普遍在家自己煮三餐更加健康,卻有一位台商因此...
2024/07/12 00:14
台商吃自煮餐慘罹2癌 !血裡都是致癌物
現代人健康意識抬頭,只要有空就會選擇在家自己煮,希望...
2024/07/10 09:47
長期用這鍋具煮飯吃!男雙癌纏身悲劇了
隨著食安意識提升,許多民眾覺得在家煮,看得到食材才能...
2024/07/09 15:59
但願人長久剛開播!鄧麗君哥驚傳罹癌缺席
女星陳妍希過去以電影《那些年,我們一起追的女孩》沈佳...
2024/06/16 09:06
他不菸不酒慘罹癌!「隱形4殺手」當心了
要是身體出現異狀,最好是趕快就醫檢查,才不會造成無法...
2023/11/17 08:39
42歲男星驚爆罹癌 消失數月最新病況曝光
42歲南韓歌手李正(J.Lee)2002年出道,近來...
2023/11/09 12:50
台灣男比女少7歲 守護「下半身」是關鍵
今(8)天是父親節,一起來關心爸爸的泌尿器官健康。許...
2023/08/08 13:04
不只攝護腺!男性結石情況竟比女性多3倍
向父親致敬!守護男性泌尿器官健康。下週就是父親節了,...
2023/08/03 15:06
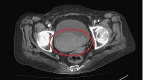
可怕!腎臟長癌了 大肚男:沒啥不適
定期健康檢查之所以重要,一大原因在於癌症等重大疾病在...
2023/06/15 09:37
諾倍康醫療 助馬來西亞癌症病患來台就醫
一名55歲的馬來西亞女性,由於脖子的淋巴結腫大,背部...
2023/05/16 13:03
對抗腎細胞癌 均衡飲食最重要!
腎臟癌的藥物副作用愈大,代表療效愈好嗎?罹患腎細胞癌...
2022/08/08 11:56
血尿以為一般感染 尿檢異常揪出魔王
發炎、感染、結石是造成血尿的常見原因,另一個不可不警...
2022/07/19 10:12
養身婦無痛血尿2周 檢查已經第3期
新竹57歲劉姓婦人平時吃的都很養身,但2週以來陸續出...
2022/03/22 12:11
血尿不會痛才可怕 醫:恐泌尿道癌症
血尿是泌尿科常見的主訴症狀,背後原因百百種,醫師提醒...
2022/03/04 18:47
健檢出癌症大叔心驚驚 醫:全因這病
60歲的阿保(化名),平時除了有抽菸習慣,也因為工作...
2021/10/05 11:00
腎結石意外讓大魔王現形 他直呼感謝
腎結石發作痛起來要人命,這可能是每一位病患的心聲。臨...
2021/07/22 16:33
恐怖!醫生連得四癌 竟因小時候這樣
說他是台灣最奇蹟醫師一點都不為過,一般人得一個癌症就...
2021/02/24 14:45
腎癌轉移椎心刺骨 新藥物帶來解方
儘管腎臟癌不在國人發生率前十大的癌症之列,但不少知名...
2020/11/05 09:00
8歲女童末期腎癌 爸爸查病因淚崩
中國一名8歲女童身形突然暴瘦,而且肚子感到無比劇痛,...
2020/10/02 10:00
8歲女童狂嗑甜食…癌症末期30日亡
中國一名8歲女童2019年8月突然變瘦,一連好幾日喊...
2020/06/26 16:00
最新圖輯
更多
劉書宏專訪
袁澧林、陳孝萱專訪
第36屆金曲獎星光大道
第36屆金曲獎得獎圖輯
NMIXX林口體育館粉絲演唱會
KISS OF LIFE台北演唱會
林芯儀專訪
GYUBIN大巨蛋開球
陳謙文專訪
孫麥傑專訪
今日頭條
1
新/海鷗颱風生成了!對台影響曝
2
國民黨全代會留大禮 成功高中驚見整桶菸
3
岡山晚會湧3萬人!林岱樺淚求鄉親討公道
4
全國養豬場全陰性!11/7有望解禁宰令
5
林信義與貝森特會晤 聚焦高科技聚落發展
6
新/台師大撤銷周台英博士學位
7
范姜再開戰控粿粿說謊 怒嗆:留點口德吧
8
50多刀砍死86歲母親 彰化逆子收押
9
GD自爆感情狀態 親揭BIGBANG回歸計畫
10
新制上路!想在台定居「須放棄中國護照」
HOT焦點
更多
「舊城新浪漫」散步地圖 商圈注入新活力
電商界年度盛事 蝦皮金選獎頒發46個獎項
外送專法受矚 三大平台籲政府加強溝通
頻道推薦
直播✦活動
三立新聞網
為了提供更好的閱讀內容,我們使用相關網站技術來改善使用者體驗,也尊重用戶的隱私權,特別提出聲明。
了解最新隱私權聲明
知道了