APP下載
活動
爆料
圖輯
AI爆報
追蹤新聞
3
台灣彩券開獎直播中
三立iNEWS新聞台線上直播
LIVE三立+24小時直播
即時
美以突襲伊朗
對等關稅違憲
新聞
熱門
政治
社會
娛樂
生活
新奇
健康
國際
兩岸
運動
財經
房產
旅遊
科技
汽車
遊戲
ESG
影音
總覽
政論
節目
熱搜
直播
iNEWS
專題
總覽
特企
專頁
大事件
彩券
專欄
民調
快訊
哈米尼亡!伊朗啟動「3人小組」領導過度
14:10
闆妹「宮廟趴」流水席大撒幣 網:想應徵
14:08
川普嗆伊朗:我們將以史無前例的力量回擊
14:02
張峻瑋接受日媒訪問 喊話未來目標大聯盟
14:01
超級堅果!它降膽固醇、護心血管、防中風
14:01
陳美鳳財產總額超驚人!首回應自認小豪門
14:01
2028電動超跑夢碎 藍寶堅尼戰略急轉彎
14:00
狙殺哈米尼 CIA精準定位供以軍提前動手
13:56
228連假收假日 國道午後11地雷路段出爐
13:54
中駐以使館撤離納台胞證 外交部提醒風險
13:49
超大咖港星夫妻野生捕捉!幸福肥擠雙下巴
13:49
中東衝突!中國駐以使館撤離登記納台胞證
13:49
打瘦瘦針當心毒素竄全身 快吃1蔬菜自救
13:45
震驚棒壇!大聯盟前左投丹尼槍殺岳父母
13:43
吳中純昔鬧離婚遭前任嗆聲!網嘆難怪生病
13:43
王陽明車聚爭議 曾癱瘓國道被開75張罰單
13:36
醫:接下來,中國人點播梁靜茹「這首歌」
13:23
用語抓包假台灣人!900萬網友瘋狂朝聖
13:20
伊朗證實又兩高官陣亡!包括革命衛隊司令
13:13
伊朗開炸?以色列偵測到伊朗多枚飛彈
13:12
台灣彩券開獎直播中
20:31
台彩春節加碼12億元創新高
12:00
大樂透加碼480組100萬元
12:00
大樂透加碼800組10萬元
12:00
賓果賓果鬧元宵 大樂透、今彩539續加碼
12:00
開工打造好運勢 小人退散能量水晶迎貴人
12:00
祥獅獻瑞迎開工!愛妮雅集團新年藍圖首曝
17:00
瘦身急救章 一秒塑身穿上小號緊身洋裝
11:00
初九天公生 松山奉天宮備平安麵共享
16:00
捷運七張站走路2分鐘 友座明明德機能到位
15:00
開學換機酷澎火箭速配隔日到貨
10:00
企業暖心故事 一份工作撐起整個家
13:00
Xtars人氣直播主大揭密 鏡頭下的甘苦
13:00
土城永福岩清水祖師廟擲筊大賽 頭獎百萬
12:00
初一金山財神廟湧人潮 聯名蛋捲禮盒喜氣
11:00
首頁
關鍵字
中山附醫
中山附醫
重大發現!瘦瘦針不只能瘦 降罹癌66%風險
近年風靡全球的「瘦瘦針」(GLP-1 受體促效劑)在...
2026/02/14 21:30
台中烏日工人滑倒「頭直接猛撞鐵桿」身亡
台中市烏日區昨(9)日發生一起工安意外。一名葉姓男子...
2025/12/10 07:25
首批樂活規劃師誕生 台壽一站式照護!
台灣人壽布局康養事業版圖,繼成立「健康樂活管家」平臺...
2025/11/16 14:36
台中鳳凰颱風假!19家醫院門診異動一次看
鳳凰颱風襲台,台中市政府宣布12日停止上班上課,但民...
2025/11/11 22:48
新/台中工地傳巨響!工人墜地下室頭重創
台中市南區驚傳工安意外!今(12)日下午3時許,一名...
2025/09/12 17:05
台中麵包店二代遭撞腦死!媽媽含淚簽器捐
去(2024)年6月9日,台中市南屯區一名46歲王男...
2025/06/02 15:30
新/工地鷹架倒塌!2工人從13樓直墜OHCA
台中市南區福田路、福田二街一處工地,今(23)日上午...
2025/05/23 10:25
新/台中13歲女灌75%酒精!四肢無力送醫
今(16)日下午2時許,台中市霧峰區一名13歲少女,...
2025/02/16 15:29
台中某國小羽球女教練 校園受刀傷送醫
台中市一名羽球女教練,今(9日)上午十時左右,疑似因...
2025/01/09 12:59
營火爆炸遭火吻 她忍痛清創植皮30天出院
一名44歲的楊小姐今年5月參加活動時,發生營火爆炸意...
2024/11/20 11:03
新/從30樓直墜3樓!中市1磁磚工人慘亡
台中市南屯區一棟大樓,今(28)日上午10點多發生一...
2024/06/28 14:06
膽道雙癌纏身「免疫合併化療」力對抗病魔
一位45歲林小姐原本被診斷為乳癌肝轉移,經由肝臟切片...
2023/08/17 18:30
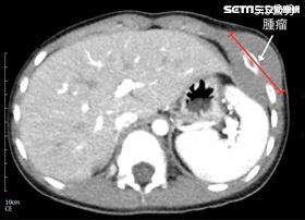
9歲男童左胸腫大但不痛 醫一看眉頭緊皺
一名 9 歲男童到院前約一個月時發現左胸壁有一處腫大...
2023/04/11 12:19
細胞治療大突破!粉碎性骨折傷口6週癒合
再生醫療新里程!中山醫學大學附設醫院、訊聯生技近期傳...
2023/02/14 17:38
眼睛紅腫癢1年 醫檢查眼瞼爬2百隻寄生蟲
眼睛經常紅腫搔癢、反覆發作,甚至眼睫毛雜亂倒插,嚴重...
2022/11/17 17:26
男下顎痛得類癌症 這些症狀沒好注意
至今發生原因仍不明的疾病蘭格罕細胞組織球增生症(簡稱...
2022/07/19 11:37
男遭斷言活不過10年 兒醫成功救他
主要大部分發生在1~3歲兒童的蘭格罕細胞組織球增生症...
2022/07/19 10:22
嬰臉冒紅點「越長越大」 權威醫解答
每個孩子都是父母的心頭肉,若是身上突然冒出什麼異狀肯...
2021/12/15 13:00
擁槍男拒捕自轟頭命危 家屬忍痛器捐
台中清水分局警方追捕一名擁槍的39歲戴姓男子,30日...
2021/10/31 17:27
台中排班運將惡化插管 匡列者1確診
台中市政府12日公布的確診個案15375為計程車司機...
2021/07/14 12:53
確診婦產女 15天後抱到寶寶出院了
真的是疫情下最讓人感動和振奮的消息!日前北部一名懷孕...
2021/06/17 18:37
確診婦產女 再傳好消息:寶寶3採陰
國內疫情還在水深火熱中,但今(8)日台中中山醫學大學...
2021/06/08 19:29
確診孕婦異鄉早產 醫護:別怕我們在
尚未趨緩的疫情仍讓國人緊張,但這過程還是有希望和感人...
2021/06/08 18:25
醫療展今登場 醫院創智慧醫療齊防疫
武漢肺炎(COVID-19、新冠肺炎)疫情讓我國醫院...
2020/12/03 19:05
血糖波動如雲霄飛車 注意飯後高血糖
80歲蔡先生罹患糖尿病多年,剛確診時糖化血色素高達1...
2020/08/12 11:11
她反覆發作綁住哥哥人生 靠每月一針
雙極性情感疾患俗稱躁鬱症,病友陳小姐自二十多歲發病,...
2020/08/05 10:00
別讓血糖白測了! 專家教你新思維
SNQ品質標章 民眾健康的保護傘 白色色塊,串起黃...
2019/11/20 10:05
有這3特點注意!你恐有遺傳癌症基因
據衛福部的統計資料顯示,近年國人每年死於癌症的人數已...
2019/06/04 14:11
女乾咳數月 就醫一查竟是兇猛罕病!
台中一名陳姓婦人,她飽受乾咳之苦好幾個月,本以為只是...
2019/05/04 15:41
35歲後才生育 罹患乳癌風險高出近
根據統計,乳癌是台灣女性發生率第一名的癌症,每年增加...
2018/05/20 22:00
最新圖輯
更多
初孟軒、鍾岳軒專訪
龍千玉與翁立友領豪記唱片群星拜年
Rain鄭智薰小巨蛋演唱會
金在中演唱會
羅志祥30周年演唱會
凱琳專訪
黃鐙輝、吳念軒、黃騰浩專訪
第62屆金馬獎得獎後台
第62屆金馬獎紅毯
劉書宏專訪
今日頭條
1
川普嗆伊朗:我們將以史無前例的力量回擊
2
中駐以使館撤離納台胞證 外交部提醒風險
3
伊朗證實又兩高官陣亡!包括革命衛隊司令
4
228連假收假日 國道午後11地雷路段出爐
5
新/台玻梧棲廠1員工墜污水槽!送醫仍亡
6
台灣旅行團杜拜現況曝 中東戰爭航班大亂
7
王子粿粿婚外情後首合體!現身宮廟團拜
8
哈米尼亡!伊朗啟動「3人小組」領導過度
9
228取消出國 賈永婕再赴林宅血案案發地
10
日本神秘歌姬Ado露臉了 粉絲驚:太美了
HOT焦點
更多
賓果賓果鬧元宵 大樂透、今彩539續加碼
祥獅獻瑞迎開工!愛妮雅集團新年藍圖首曝
捷運七張站走路2分鐘 友座明明德機能到位
頻道推薦
直播✦活動
三立新聞網
為了提供更好的閱讀內容,我們使用相關網站技術來改善使用者體驗,也尊重用戶的隱私權,特別提出聲明。
了解最新隱私權聲明
知道了