APP下載
活動
爆料
圖輯
AI爆報
追蹤新聞
3
台灣彩券開獎直播中
三立iNEWS新聞台線上直播
LIVE三立+24小時直播
即時
黃明志捲命案
非洲豬瘟侵台
新聞
熱門
政治
社會
娛樂
生活
新奇
健康
國際
兩岸
運動
財經
房產
旅遊
科技
汽車
遊戲
ESG
影音
總覽
政論
節目
熱搜
直播
iNEWS
專題
總覽
特企
專頁
大事件
彩券
專欄
民調
快訊
女星大談「禁忌叔嫂戀」陳喬恩霸氣出手了
17:38
泫雅身形臃腫被拍 不忍親曬真實體重打臉
17:38
ITF必逛路線曝 4樓免費禮先搶再去抽機票
17:33
台積電運動會邀神祕貴賓 傳正是黃仁勳
17:33
美國「恐關閉領空」!台灣3大產業小心了
17:31
取得中工逾1成股份 寶佳公告目的:併購
17:30
C養豬場貨車偷載廚餘!環境部:依法究責
17:30
盧秀燕自稱及時拆彈 王義川揭目的:很壞
17:27
藍委不滿紀念臂章有台灣 顧立雄回應了
17:26
ChatGPT不再提供「3大服務」 用戶喊退訂
17:25
Beyond前成員來了 同台金曲歌王飆唱
17:22
18歲也能開飛機!交通部下修機師考照年齡
17:17
黃明志捲謀殺案!台灣醫揪「這處」是關鍵
17:16
新/台中老婦遭貨櫃車輾斃 現場血水瀰漫
17:15
黃明志捲謀殺案!媒體人曝房內這些更可怕
17:12
稱測速照相是斂財 加國安大略省移除相機
17:11
大馬警喊抓人!黃明志手機關機 失聯2天
17:10
雙11普發萬元放大 智慧錶耳機組合免萬元
17:10
台灣人最愛開什麼車?它賣爆3萬輛稱霸
17:10
振永脫衣抖胸肌!搭李沐、宋柏緯陷三角戀
17:08
台灣彩券開獎直播中
20:31
旨味入魂!康寶【鮮味職人】雙口味全上市
17:00
2025高球長春公開賽 泰籍托馬倫衛冕冠軍
13:00
現代飲食必備!Prepara多元產品進軍全球
12:00
桃園市政府推動影像教育!
11:00
桃園城市影像培力坊 深化學員影像創作力
13:00
松山奉天宮主題曲!金曲歌王許富凱開唱
12:00
侯昌明 「桂格完膳」響應世界糖尿病日!
11:00
首頁
關鍵字
癢疹
癢疹
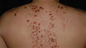
抓一顆癢全身!他「手賤」抓癢爆出百顆疹
你有莫名越抓越癢,身上疹子越摳越多的情形?可能是棘手...
2023/10/20 06:00
皮膚老是起癢疹?少吃「高組織胺食物」
當我們因鼻子過敏、皮膚起癢疹感到不適,可能會服用醫師...
2023/03/02 13:59
透明小水泡好癢 6件事預防惱人汗皰疹
國人常見的皮膚問題「汗皰疹」是一種經常發生在四肢的濕...
2022/11/03 16:43
4個陌生人癢疹接連爆發 凶手都是它
每年4到8月是鳥類繁殖期,常見牠們在市區築巢、繁殖,...
2022/08/25 17:30
全身抓痕!她因這病被關廁所淋水霸凌
異位性皮膚炎是一種慢性皮膚疾病,部分患者童年時期確診...
2022/04/28 10:35
他忍嘔喝下「蟾蜍湯」 內幕令人心酸
異位性皮膚炎是一種慢性反覆發作的皮膚發炎性疾病,被評...
2022/04/26 11:40
愈抓愈癢!對付煩人「汗皰疹」有撇步
南投40歲陳小姐近日發現手指側邊冒出一顆顆群聚的小水...
2021/12/17 16:06
異位性皮膚炎搔癢流湯 男老師被嫌臭
患有中重度異位性皮膚炎的42歲黃先生說,從有記憶以來...
2021/12/08 09:45
冬季癢來襲 女童抓到破皮「流湯」
中醫師表示,皮膚發癢可能源自不同證型,在診間遇過不少...
2021/12/06 10:21
異位性皮膚炎極度搔癢 生物製劑奏效
異位性皮膚炎的盛行率逐年上升,根據研究,台灣7歲至1...
2021/11/22 11:25
疥瘡多恐怖?醫護:光聽到就癢起來了
在諸多皮膚疾病中,疥瘡會導致患者奇癢無比,怎麼搔抓都...
2021/11/07 15:42
澎湖奇癢紅疹初判出爐!驚見「這物」
澎湖近日接連有民眾出現皮膚紅腫、發癢等症狀,短短一星...
2021/09/29 12:26
臉冒「怪痣」還會長大 竟是惡性腫瘤
身體如果出現不明腫塊或難以癒合的傷口,應該有所警覺,...
2021/08/08 10:54
奇癢無比!蕁麻疹發作好難受
八歲小女孩無特殊病史,但這半年來卻反覆蕁麻疹發作。發...
2021/02/22 23:40
皮膚糜爛流湯 密醫誆「皮膚在排毒」
王先生是異位性皮膚炎的老病患,從5歲開始便反覆發作,...
2021/02/01 11:54
愛美不用花大錢 這些食物都能抗老化
一般人都不樂見歲月在容貌上留下太大的痕跡,愛美的人們...
2021/01/16 11:21
起疹以為過敏 皮膚「發泡」驚覺不妙
身上長疹子別輕忽!台中有一名9旬阿嬤前胸、腹部、腋下...
2020/11/20 11:56
1歲童皮膚癢爆 指縫赫見「蟲穴道」
在諸多皮膚科疾病中,有一種會造成病患皮膚奇癢無比,怎...
2020/09/28 16:41
近4週新增60例恙蟲病例 花東最多
疾病管制署今(21)日表示,國內近4週恙蟲病確定病例...
2020/07/21 15:10
皮蛇長在這些部位 恐影響視力、排泄
長過「皮蛇」(帶狀皰疹)的民眾,肯定對那灼熱的刺痛感...
2020/07/16 13:46
最新圖輯
更多
劉書宏專訪
袁澧林、陳孝萱專訪
第36屆金曲獎星光大道
第36屆金曲獎得獎圖輯
NMIXX林口體育館粉絲演唱會
KISS OF LIFE台北演唱會
林芯儀專訪
GYUBIN大巨蛋開球
陳謙文專訪
孫麥傑專訪
今日頭條
1
台積電運動會邀神祕貴賓 傳正是黃仁勳
2
影帝薛仕凌涉閃兵案!自首偽造高血壓病例
3
檢調搜索太子集團!美國制裁2台女到案
4
快訊/我決定愛你一萬元!普發現金開領
5
新/黃明志涉謀殺失聯中 警發布通緝令
6
顏寬恒慘了!財產申報不實被開罰290萬
7
新/台中老婦遭貨櫃車輾斃 現場血水瀰漫
8
黃明志捲謀殺案!台灣醫揪「這處」是關鍵
9
隨中華隊征戰!三立新聞推出2大重磅紀錄片
10
準鳳凰挑戰強颱!路徑曝光恐北轉直撲台灣
HOT焦點
更多
侯昌明 「桂格完膳」響應世界糖尿病日!
旨味入魂!康寶【鮮味職人】雙口味全上市
中美醫藥集團再奪華人公益企業金傳獎
頻道推薦
直播✦活動
三立新聞網
為了提供更好的閱讀內容,我們使用相關網站技術來改善使用者體驗,也尊重用戶的隱私權,特別提出聲明。
了解最新隱私權聲明
知道了