APP下載
活動
爆料
圖輯
AI爆報
追蹤新聞
4
午後6地雷路段曝光
台灣彩券開獎直播中
三立iNEWS新聞台線上直播
LIVE三立+24小時直播
即時
高金遭搜索
台美關稅定案
新聞
熱門
政治
社會
娛樂
生活
新奇
健康
國際
兩岸
運動
財經
房產
旅遊
科技
汽車
遊戲
ESG
影音
總覽
政論
節目
熱搜
直播
iNEWS
專題
總覽
特企
專頁
大事件
彩券
專欄
民調
快訊
練習賽後4天連假 曾豪駒有事叮嚀國手們
16:16
老闆豪發8億!員工上台「數多少拿多少」
16:12
陳妍希送兒去找陳曉 她獨自返台過年被拍
16:04
全場唱生日快樂歌好感動 林子偉許願晉級
15:57
每日滑16小時不算成癮?IG駁害少女陷憂鬱
15:55
一天能吃幾顆蛋?醫:1/3的人沒本錢狂嗑
15:54
孫協志夏宇童大婚險開天窗 婚顧出手救援
15:53
冬奧滑冰王子重現禁48年動作 神技片瘋傳
15:52
台美協定「國防要佔GDP3%」!綠委這麼說
15:51
美股7巨頭集體翻車 專家:最慘開年行情
15:49
剛出社會爸媽紅包要多少?網曝體面行情價
15:47
採買年貨別白跑!賣場春節營業時間一次看
15:47
爆裂物曝!包裹炸傷姐弟 鄰曝神秘人身份
15:45
台美關稅簽署!王定宇嗆藍白別為反而反
15:44
宋慧喬也愣住 林琇濱撞臉宋仲基傳演男主
15:42
運動會最夯 鴻海紅豆餅上線由來
15:37
新/中和女倒臥瓦斯桶旁!失去意識搶命中
15:35
要求調查宏福苑火災 關靖豐遭中大開除
15:34
大掌櫃遭收押 高金素梅遇最大的司法麻煩
15:29
朴正民大方認了 穿華莎「愛的禮物」現身
15:28
台灣彩券開獎直播中
20:31
台彩春節加碼12億元創新高
12:00
大樂透加碼480組100萬元
12:00
大樂透加碼800組10萬元
12:00
午後6地雷路段曝光
15:55
星城Online攜手《戲說台灣》拍創意單元劇
12:00
MY管管尾牙熱鬧登場 主打福利吸新戰力!
17:45
土城永福岩祖師廟擲筊賽 首獎祭百萬現金
14:50
春節最佳去處!桃園龍德宮成網美打卡點
13:00
以高回饋機制協助家庭資金更有效率運用
16:00
暗黑風格吸血鬼遊戲新作3/11上市!
12:00
幸福企業!愛妮雅集團成員工最強後盾
12:00
永旭保經留才 調整制度拚長期發展
11:30
首頁
關鍵字
牙結石
牙結石
口臭害妻想離婚!竟是鼻子釀禍 長滿黴菌
口臭問題不僅影響社交,嚴重時甚至危及婚姻。耳鼻喉科醫...
2026/01/13 10:23
牙膏乾刷更好?醫揭「1關鍵」 很多人刷錯
牙齒怎樣刷才正確?牙醫黃斌洋分享刷牙迷思。有些人清潔...
2025/06/03 12:55
洗牙後狂流血慘了?醫解答:1情況快回診
牙齒健康很重要,目前13歲以上的人,健保給付每半年可...
2024/06/25 08:55
牙周病5大前兆快就醫 再拖恐要花大錢
根據衛福部口腔健康司指出,我國牙周病盛行率高達8成,...
2024/01/29 17:30
遭診所「偷申報」洗牙 牙醫回應讓她傻眼
人的口腔會因細菌、食物和口水交互作用形成牙菌斑,再逐...
2022/10/02 13:57
牙周病警訊你有嗎?醫警告忽視後果
根據衛福部資料顯示,台灣成人牙周健康狀況仍有待加強,...
2022/07/20 16:13
甜蜜藏「殺機」!糖果是牙結石大幫兇
即便每天早晚刷牙一次,仍很難清楚牙結石,必須每隔半年...
2021/02/14 10:00
口腔「這裡」最髒!1cc藏上億細菌
保健牙齒,除了常常刷牙使用牙線外,每半年固定到牙科洗...
2021/01/13 11:55
沒有香檳酒 38歲男仍然滿口牙結石
年紀輕輕竟一口爛牙!38歲林先生下顎前牙動搖求診牙科...
2020/12/07 16:27
你的口腔比馬桶髒? 醫師:有可能!
口腔是消化系統的第一道關卡,口腔的衛生程度關乎進食、...
2019/07/25 12:35
咧嘴驚見殭屍牙?牙醫:問題出在這
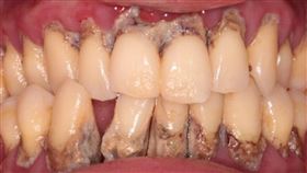
您身邊有這種人嗎?一張開嘴就傳來口臭,滿口牙結石、牙...
2019/05/13 11:13
這位政壇名人該洗牙了? 牙醫給建議
高雄市長韓國瑜公務繁忙、日理萬機,跑攤一大堆,近日有...
2019/05/07 18:20
寵物保健/你家毛小孩多久洗一次牙?
相信在讀這篇文章的你,每半年都會去牙醫診所報到洗牙,...
2018/10/31 14:13
女子洗牙 醫夾出「巨大噁黃結石」
有些人喜歡看痘痘、粉刺被擠爆的瞬間,覺得相當療癒,先...
2018/08/31 10:23
女滿口結石 洗牙「鑽除爆血」超療癒
看膩擠爆痘痘了嗎?其實有越來越多人愛看「洗牙」的影片...
2018/08/06 12:35
別只吃潔牙骨!幫毛孩刷牙工具這樣挑
牙周病一直都是犬貓常見的健康問題之一,約有70-80...
2018/05/20 15:56
照顧好毛孩牙齒 就是照顧好牠的身體
上了一整天的課,或是坐了整天辦公室,拖著沈重的身軀回...
2018/05/15 16:14
守護老毛孩!熟齡犬可能遇到的疾病
希望寶貝活得更久、更健康是所有毛爸媽衷心期望的事。而...
2018/04/07 18:52
「洗牙」害牙縫變大?醫師破解流言
全民健保每半年給付一次洗牙費用,但網路上卻有「洗牙會...
2017/04/04 10:00
85歲奶奶牙病纏身~牙醫送暖到府治
一位85歲的奶奶,六年前中風,經急救狀況穩定後,因插...
2017/03/23 18:14
奴才們必讀! 毛小孩日常必做7件事
很多人愛狗,對於狗狗的相關人事物都抱持著高度關注,但...
2016/09/20 15:26
牙周病症狀是什麼、如何預防及治療?
高雄傳出一名中年男子因牙齒咬合不好,因而掉牙的消息,...
2014/12/13 15:30
最新圖輯
更多
Rain鄭智薰小巨蛋演唱會
金在中演唱會
羅志祥30周年演唱會
凱琳專訪
黃鐙輝、吳念軒、黃騰浩專訪
第62屆金馬獎得獎後台
第62屆金馬獎紅毯
劉書宏專訪
袁澧林、陳孝萱專訪
第36屆金曲獎星光大道
今日頭條
1
新/中和女倒臥瓦斯桶旁!失去意識搶命中
2
新/宜蘭姐弟收「無名包裹」爆炸 傷勢曝
3
女里長遭性騷報案 萬華分局長卻想搓湯圓
4
嗆割頸案乾哥1句!少觀所管理員下場曝光
5
美牛輸台0關稅 石崇良:敏感項目仍限制
6
夏于喬公開寶寶性別 淚崩喊話:真的來了
7
男星錄節目一半心跳停了 友以為玩笑嚇壞
8
簽ART加速美新藥審查!藥團讚:突破性成就
9
準備投入2026選舉?八炯「重磅表態」了
10
美股7巨頭集體翻車 專家:最慘開年行情
HOT焦點
更多
暗黑風格吸血鬼遊戲新作3/11上市!
星城Online攜手《戲說台灣》拍創意單元劇
「最強外掛」脫應援服射箭!拉弓箭太傲人
頻道推薦
直播✦活動
三立新聞網
為了提供更好的閱讀內容,我們使用相關網站技術來改善使用者體驗,也尊重用戶的隱私權,特別提出聲明。
了解最新隱私權聲明
知道了