APP下載
活動
爆料
圖輯
AI爆報
追蹤新聞
4
【立院榮譽顧問EP151】
台灣彩券開獎直播中
三立iNEWS新聞台線上直播
LIVE三立+24小時直播
即時
黃明志捲命案
非洲豬瘟侵台
新聞
熱門
政治
社會
娛樂
生活
新奇
健康
國際
兩岸
運動
財經
房產
旅遊
科技
汽車
遊戲
ESG
影音
總覽
政論
節目
熱搜
直播
iNEWS
專題
總覽
特企
專頁
大事件
彩券
專欄
民調
快訊
國民黨推不在籍投票惹議!基隆議長表態了
18:47
香港滅門血案3屍凶宅求售 網:價格比鬼兇
18:43
緬甸掃蕩詐騙園區行騙者逃 黑市掀搶人戰
18:41
要跟謝侑芯身體對證?黃明志演藝生涯死刑
18:39
黃明志大馬工作室「被突襲」出入行蹤曝光
18:37
喜馬拉雅再傳山難!尼泊爾雪崩釀7死
18:35
白營酸盧媽媽裝怪異!網笑了:黃國昌小丑
18:32
放假陪阿公太操?抓孫「做1事」媽氣炸
18:27
謝侑芯命案!經紀人驚爆:現場還有第3人
18:26
周杰倫澳洲街頭被偶遇 手上這一支成亮點
18:26
日版黃明志?昔男神吸毒棄屍再掀熱議!
18:25
準鳳凰未來路徑3走法曝 這條影響最劇烈
18:23
GD來台還嗑韓烤!他揭韓人1習慣:不是挑
18:18
獨/范姜傳握"粿王大尺度合照" 徵信社回應
18:15
中選會6人任期屆滿!藍營推薦名單曝光
18:12
不甩修杰楷閃兵風波 賈靜雯近照9連發
18:11
快訊/5億大樂透來了!今晚下注最後倒數
18:08
每年6千人肺阻塞歿!醫:6成有心血管共病
18:07
北韓元老逝 前脫北外交官曝金永南生存法
18:06
6年來最大滿月明登場 獅子座流星雨接力
18:05
台灣彩券開獎直播中
20:31
【立院榮譽顧問EP151】
17:55
旨味入魂!康寶【鮮味職人】雙口味全上市
17:00
2025高球長春公開賽 泰籍托馬倫衛冕冠軍
13:00
現代飲食必備!Prepara多元產品進軍全球
12:00
桃園市政府推動影像教育!
11:00
搶票網路太慢?三款神器推薦趁雙11入手
17:30
桃園城市影像培力坊 深化學員影像創作力
13:00
松山奉天宮主題曲!金曲歌王許富凱開唱
12:00
侯昌明 「桂格完膳」響應世界糖尿病日!
11:00
首頁
關鍵字
腎癌
腎癌
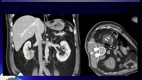
港星腎癌逝!8症狀是警訊 發現多已中後期
港星許紹雄28日凌晨因腎臟癌引發多重器官衰竭病逝,享...
2025/10/29 15:55
搖滾歌手NoB去世!唱聖鬥士星矢歌曲爆紅
日本歌手山田信夫(藝名NoB)於9日凌晨1點39分因...
2025/08/13 20:28
知名導演爆「1年前已病逝」 死訊證實了
香港著名導演及監製霍耀良執導過多部經典作品,在影視圈...
2025/03/06 15:32
Apple Watch錶帶遭控有毒 久戴恐罹癌
蘋果公司(Apple)的智慧型手錶Apple Wat...
2025/01/24 15:26
70歲老翁發燒1週!竟是罹患腎臟癌第4期
發燒代表身體內透露發炎警訊!台中一名70歲的蘇先生有...
2024/08/28 11:00
腹痛就醫竟腎癌!北榮「凍」死老翁癌細胞
今年73歲郭先生,61歲時半年內出現三次半夜腹痛,意...
2024/03/22 09:10
血尿卻不會痛?醫師:儘快去醫院!
腎臟癌可能源自不同的細胞,而產生腎細胞癌、泌尿上皮癌...
2023/05/29 10:42
年輕女臉長怪毛、身材走鐘 竟是腰子有瘤
如果突然身材走鐘,長出奇怪體毛,小心器官出了問題!一...
2023/02/23 14:29
腎癌早期無症狀 年輕人也會得
腎癌常默默無聲蔓延,多數病人並無症狀,但幸好透過健檢...
2022/12/16 11:30
無不良嗜好 21歲男大生驚罹腎癌
年輕、看似健康、無不良嗜好的人,還是有可能罹癌。台中...
2022/03/11 10:31
腳腫「按壓像麵粉糰」 竟是腎癌末期
下肢水腫在臨床上不罕見,一般多認為是血循不好導致,醫...
2022/01/14 10:29
手舉不起來 竟是17年前腎癌骨轉移
「肩膀痠痛」是中老年族群常見的困擾,多數人經過休息或...
2021/11/08 20:16
血尿、腰痠以為結石 就醫發現大魔王
一部分民眾可能有血尿的經驗,須注意若伴隨著疼痛,可能...
2021/02/10 10:33
溥儀臨終沒有遺言 卻一直喊這3個字
末代皇帝溥儀,作為封建統治的最後一個皇帝,在歷史中關...
2021/01/31 16:09
病患喊「腎臟淹水」 檢查驚見癌細胞
腎臟是身體裡的污水處理廠,負責製造尿液,重要性不必再...
2020/09/25 16:03
肚子痛藏20公分腫瘤?腎癌難發現
癌症連年蟬聯國人死因首位,隱藏在重要器官卻無聲生長的...
2020/08/28 18:00
腎臟癌有哪些症狀?4大危險因子曝光
台灣罹患腎臟癌人數逐年增長,每10萬人中約有1人罹患...
2019/06/05 23:26
腳痛千萬別輕忽!他檢查發現代誌大條
66歲的王先生4年前腳痛就醫,原以為是膝關節退化,竟...
2019/01/27 09:45
腰痠背痛休息都好不了?!恐腎癌警訊
長期腰痠背痛,怎麼休息都好不了?可能是腎臟癌警訊。醫...
2018/07/05 19:35
腰痠背痛好不了?當心「腰子」長癌了
腎細胞癌所引起的腰痠背痛,與一般腰痠背痛最大的不同點...
2018/07/04 12:28
抗癌右肺切1/3 勇闖水模界沒在怕
8年前確診罹患腎癌的Yuki,術後第三年轉移為肺癌,...
2017/08/02 09:30
健保標靶藥年花百億 乳癌藥最花錢
癌症多年高居十大死因之首,根據健保署統計,去年因癌症...
2016/10/12 14:42
最新圖輯
更多
劉書宏專訪
袁澧林、陳孝萱專訪
第36屆金曲獎星光大道
第36屆金曲獎得獎圖輯
NMIXX林口體育館粉絲演唱會
KISS OF LIFE台北演唱會
林芯儀專訪
GYUBIN大巨蛋開球
陳謙文專訪
孫麥傑專訪
今日頭條
1
檢調搜索太子集團!美國制裁2台女到案
2
台積電運動會邀神祕貴賓 傳正是黃仁勳
3
準鳳凰恐「北轉襲台」似天兔?氣象署回應
4
取得中工逾1成股份 寶佳公告目的:併購
5
影帝薛仕凌涉閃兵案!自首偽造高血壓病例
6
新/黃明志涉謀殺失聯中 警發布通緝令
7
顏寬恒慘了!財產申報不實被開罰290萬
8
謝侑芯慘死浴缸!高大成說話了:很不尋常
9
隨中華隊征戰!三立新聞推出2大重磅紀錄片
10
謝侑芯命案!經紀人驚爆:現場還有第3人
HOT焦點
更多
搶票網路太慢?三款神器推薦趁雙11入手
松山奉天宮主題曲!金曲歌王許富凱開唱
侯昌明 「桂格完膳」響應世界糖尿病日!
頻道推薦
直播✦活動
三立新聞網
為了提供更好的閱讀內容,我們使用相關網站技術來改善使用者體驗,也尊重用戶的隱私權,特別提出聲明。
了解最新隱私權聲明
知道了