APP下載
活動
爆料
圖輯
AI爆報
追蹤新聞
7
主計總處今說明GDP影響
洪申翰開記者會談勞權布局
經濟部長龔明鑫親上火線說明
梁文傑出面回應
台灣彩券開獎直播中
三立iNEWS新聞台線上直播
LIVE三立+24小時直播
即時
高金遭搜索
台美關稅定案
新聞
熱門
政治
社會
娛樂
生活
新奇
健康
國際
兩岸
運動
財經
房產
旅遊
科技
汽車
遊戲
ESG
影音
總覽
政論
節目
熱搜
直播
iNEWS
專題
總覽
特企
專頁
大事件
彩券
專欄
民調
快訊
好市多不播音樂「靜音購物」網曝關鍵原因
16:19
新/電鋸修樹割傷手臂!台中工人鮮血狂噴
16:19
楊謹華練皮拉提斯「身體3處冒超狂變化」
16:18
台美對等貿易協定禁強迫勞動 勞團說話了
16:18
台日棒球賽倒數!大咖韓團大巨蛋驚喜助陣
16:18
詹雅雯悲痛爆哭現身大S墓前!這件事惹淚
16:18
龔明鑫:美強力要求 連日韓也守不住
16:14
元朝逃回草原後,為何再難打回中原?
16:14
被新鈔轟炸!行員崩潰:做夢都在數鈔票
16:13
隋棠增重變大尺碼!感慨認已穿不回S號
16:06
藍營國防預算爆內鬨!知識藍不忍全說了
16:06
宋仲基海外試鏡全落榜 關鍵與宋慧喬有關
16:06
陽帆妻Julie驚人家世曝 白冰冰鬆口證實
16:04
威力彩13.5億 2得主買法一樣!花100就中
16:02
新/太扯!只花100元中威力彩6.7億
16:01
新北燈會2/22點燈 15米紅寶馬主燈亮相
16:00
陳昊森疑認愛 公開街頭與女子摟肩親密照
15:58
離譜!割頸案1424萬善款竟被要求列入賠償
15:56
張惇涵舉杯珍珠奶茶:關稅談判成果縮影
15:56
新/邱莉莉涉賄選9人無罪 他遭殺不受理
15:54
台灣彩券開獎直播中
20:31
台彩春節加碼12億元創新高
12:00
大樂透加碼480組100萬元
12:00
大樂透加碼800組10萬元
12:00
洪申翰開記者會談勞權布局
16:00
經濟部長龔明鑫親上火線說明
16:00
梁文傑出面回應
16:00
主計總處今說明GDP影響
16:24
土城永福岩祖師廟擲筊賽 首獎祭百萬現金
14:50
春節最佳去處!桃園龍德宮成網美打卡點
13:00
以高回饋機制協助家庭資金更有效率運用
16:00
暗黑風格吸血鬼遊戲新作3/11上市!
12:00
幸福企業!愛妮雅集團成員工最強後盾
12:00
永旭保經留才 調整制度拚長期發展
11:30
首頁
關鍵字
林崇智
林崇智
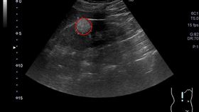
獨/女星「右腎長4公分瘤」!醫曝危險度
42歲女星王嫚萱長期在生理期間,側腰感覺劇烈痠痛,就...
2025/04/24 15:29
女星腎臟長腫瘤開刀!醫籲這類女性要小心
41歲女星王嫚萱(舊名王湘瑩)2022年改名後積極復...
2024/04/14 16:17
健檢發現腎臟長腫瘤超怕 醫吐這句話
台中45歲李女士日前健檢發現右腎有一顆2公分腫瘤,令...
2021/03/04 09:27
三高未追蹤 34歲教師慘靠洗腎維生
台中34歲王姓大學助理教授,三年前檢查出患有糖尿病、...
2020/10/27 10:20
打球後肌肉僵硬 男大生竟排出可樂尿
喜歡打球的你要多注意啊!一名20歲陳姓男大生上周與朋...
2018/11/15 17:06
最新圖輯
更多
Rain鄭智薰小巨蛋演唱會
金在中演唱會
羅志祥30周年演唱會
凱琳專訪
黃鐙輝、吳念軒、黃騰浩專訪
第62屆金馬獎得獎後台
第62屆金馬獎紅毯
劉書宏專訪
袁澧林、陳孝萱專訪
第36屆金曲獎星光大道
今日頭條
1
新/李貞秀喊授權放棄國籍 梁文傑將出面
2
卓揆喊話立院審關稅:共同完成最後一哩路
3
高金素梅涉三大弊案 今再度赴北檢偵訊
4
小琉球環保蟑螂是親弟?李四川回應了
5
割頸案乾兄妹2年可假釋 楊媽媽害怕表示
6
賈永婕挺林義雄血案被老公罵!她反手出賣
7
彩券行「永久歇業卻開出13億頭獎」真相曝
8
學霸台64慘死 司機遭遺棄致死罪起訴
9
伊朗情勢緊張!美再派航母駛向中東地區
10
工商團體盼立院審關稅!她:藍白別卡台灣
HOT焦點
更多
iROO廣告標示案、股權交易案 雙獲無罪
春節最佳去處!桃園龍德宮成網美打卡點
以高回饋機制協助家庭資金更有效率運用
頻道推薦
直播✦活動
三立新聞網
為了提供更好的閱讀內容,我們使用相關網站技術來改善使用者體驗,也尊重用戶的隱私權,特別提出聲明。
了解最新隱私權聲明
知道了