快訊
聽新聞
0:00 0:00

全台首例!台中「臟器逆位」二寶媽成功縮胃…半年鏟肉22KG大變身

記者吳泊萱/台中報導

35歲二寶媽因產後肥胖、代謝異常,導致體重暴增,透過ESG手術成功甩肉22公斤,恢復亮麗外型。(圖/翻攝畫面)
35歲二寶媽因產後肥胖、代謝異常,導致體重暴增,透過ESG手術成功甩肉22公斤,恢復亮麗外型。(圖/翻攝畫面)

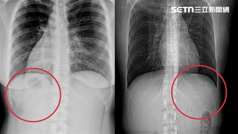
台中一名35歲二寶媽,因產後肥胖及代謝異常,導致體重暴增至81公斤,還罹患中度脂肪肝,恐有肝硬化風險,就醫諮詢減重後,醫師建議施作ESG(內視鏡袖狀胃成型手術)治療。但因二寶媽是先天性「臟器逆位(Situs Inversus)」全身臟器位置與一般人完全相反,手術治療相當困難,最終由ESG國際指導認證醫師劉家嘉執刀,完成全球罕見的高難度ESG治療,這也是全球第二例,讓台灣高階內視鏡減重技術再度獲得國際矚目。

劉家嘉醫師表示,二寶媽是先天性臟器逆位患者,全身臟器位置與常人相反,發生率僅萬分之一,手術困難度極高。(圖/翻攝畫面)
劉家嘉醫師表示,二寶媽是先天性臟器逆位患者,全身臟器位置與常人相反,發生率僅萬分之一,手術困難度極高。(圖/翻攝畫面)

新悅美型醫學診所體重管理中心院長劉家嘉醫師表示,這名二寶媽在高中時因嚴重脹氣就醫,發現先天性臟器逆位,此症狀發生率僅萬分之一,患者體內的心臟、肝臟、胃腸位置與常人完全相反,醫療診治相對困難。為了降低風險,二寶媽盡可能避免動手術,二寶也都是自然產。

二寶媽是先天性臟器逆位患者,全身臟器位置與常人相反,發生率僅萬分之一,手術困難度極高。(圖/翻攝畫面)
二寶媽是先天性臟器逆位患者,全身臟器位置與常人相反,發生率僅萬分之一,手術困難度極高。(圖/翻攝畫面)

但身高160公分的二寶媽,在生完兩胎後,因產後肥胖及代謝異常,導致體重一路飆升至81公斤,還出現中度脂肪肝,恐有肝硬化風險。她曾嘗試清淡飲食等方式減重,但都沒有效果,為了健康陪伴孩子長大,決定就醫諮詢減重。

劉家嘉醫師評估後認為,二寶媽的胃囊較一般女性大,難以控制食量,決定採取不切除器官、無體表傷口的ESG胃鏡縫胃治療。但因二寶媽臟器逆位,手術操作內視鏡的方向判斷、縫合角度及胃壁張力處理,都與常規流程「完全相反」,也讓手術難度上升。

劉家嘉醫師表示,臟器逆位手術最大的挑戰在於「空間重構」,必須克服長年累積的操作慣性,精確判斷每一針縫合的位點。(圖/翻攝畫面)
劉家嘉醫師表示,臟器逆位手術最大的挑戰在於「空間重構」,必須克服長年累積的操作慣性,精確判斷每一針縫合的位點。(圖/翻攝畫面)

劉家嘉醫師表示,這類手術最大的挑戰在於「空間重構」。醫師需在腦中即時轉換鏡像操作邏輯,克服長年累積的操作慣性,精確判斷每一針縫合的位點。這台手術也是目前全球第二例臟器逆位ESG手術,讓台灣高階內視鏡減重技術再度獲得國際矚目。

手術後半年,二寶媽復原情況穩定,體重從原先的81公斤下降至59公斤,共計減重22公斤,減重比例約達27%。除了體態更好看,脂肪肝及代謝異常指標也有明顯改善。

ESG國際指導醫師劉家嘉表示,ESG是一項高度依賴操作者經驗的精密治療。(圖/記者吳泊萱攝影)
ESG國際指導醫師劉家嘉表示,ESG是一項高度依賴操作者經驗的精密治療。(圖/記者吳泊萱攝影)

身為ESG國際指導醫師(International Proctor)的劉家嘉,目前已在亞洲累積超過350例ESG臨床案例。她強調,ESG是一項高度依賴操作者經驗的精密治療,縫合路徑的規劃與每一線針法的穩定度,都是影響長期代謝成效的關鍵。

劉家嘉也提醒,不是所有患者都適合ESG手術,患有胃腸道惡性腫瘤患者、有無法控制的精神疾患及家族性多發性息肉症候群患者,都不能做ESG治療。建議有減重需求的民眾,還是要請醫師評估,再決定治療方案,才能健康甩肉。
 

CH54三立新聞台直播
大數據推薦
【#直播中LIVE】安妞👋韓娛晚報 20260510 20:00 韓國娛樂消息,快速送到你手上!
熱銷商品
頻道推薦
直播✦活動
三立新聞網三立新聞網為了提供更好的閱讀內容,我們使用相關網站技術來改善使用者體驗,也尊重用戶的隱私權,特別提出聲明。
了解最新隱私權聲明