APP下載
活動
爆料
圖輯
AI爆報
追蹤新聞
4
北市爆隨機殺人事件
台灣彩券開獎直播中
三立iNEWS新聞台線上直播
LIVE三立+24小時直播
即時
北捷隨機攻擊
財劃法不副署
新聞
熱門
政治
社會
娛樂
生活
新奇
健康
國際
兩岸
運動
財經
房產
旅遊
科技
汽車
遊戲
ESG
影音
總覽
政論
節目
熱搜
直播
iNEWS
專題
總覽
特企
專頁
大事件
彩券
專欄
民調
快訊
張文曾任空軍 同袍爆刻意酒駕遭汰除
21:23
翁家明私下面目曝光「霸氣捐百道年菜」
21:19
高國豪回歸聯手曾柏喻轟40分 獅止4連敗
21:19
巨人運動表現總監返台 點出台灣運科落後
21:18
誠品南西車禍!路口公車擦撞機車 乘客傷
21:09
炎亞綸爆飛輪海私下歧視玩笑!痛苦到喝酒
21:03
「小甜甜」布蘭妮爆欠稅1891萬 出面喊冤
20:59
新/北海道連兩地震!規模5.4完又有5.2
20:56
215萬人忽略「1公費疫苗」小心冬季腦膜炎
20:40
張文計劃殺戮行動 搜尋見「欠鄭捷公道」
20:34
網傳張文為中國新住民二代 陸委會回應了
20:30
死神張文掠過琴盒少女 沈春華揭生死2秒
20:28
雙重冷空氣將至!恐濕冷4天「最凍12度」
20:14
綠鬣蜥獵人年抓1萬5千隻 領走175萬禮券
20:09
蕭亞軒真的回來了!官宣跨年演唱會地點
20:08
Jennie修羅場!同框KAI、GD「獲頒同獎」
20:07
「岔開腿坐」突然火了!專家告訴你真相
20:07
新/台中女與母爆口角!爬出陽台嘶吼墜落
19:56
騎士等紅燈遇害求幫傳話 家屬:不會原諒
19:53
MMA紅毯修羅場 Jennie和舊愛Kai尷尬擦身
19:47
台灣彩券開獎直播中
20:31
北市爆隨機殺人事件
09:22
深耕在地!PP石墨烯以實際行動應援台灣
16:00
謝宜容霸凌案促《職安法》增「霸凌專章」
14:00
「睡眠能量艙」為何越來越多人開始這樣睡
14:00
亞太首創!早期腎病年報看見台護腎領導力
13:00
秋冬穿出曲線小心機!「波波凍」無痛UP
12:00
桃合特區首案「佳陞豐禾」擁新站計畫利多
13:00
首頁
關鍵字
大麻二酚
大麻二酚
川普降級大麻 大麻股賣壓湧現
美國總統川普正式簽署行政令,拍板調降大麻在聯邦層級的...
2025/12/20 02:49
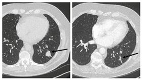
獨/癌末婦吃毒品腫瘤消失?專家:有趣!
外國一名49歲、罹患4期乳腺癌的婦女,在使用大麻二酚...
2022/10/03 12:39
女乳癌末期嗑大麻迷幻蘑菇!腫瘤消失
大麻在台灣是列管的第二級毒品,但其實它具醫療效果,其...
2022/10/01 01:15
歐洲最大非法種大麻 銷毀總值32億
西班牙當局破獲一起非工業用大麻種植案,銷毀了41萬5...
2022/04/14 14:42
美大麻合法化!奧利奧考慮推大麻零食
美國去年12月針對休閒類大麻二酚(Cannabidi...
2019/05/05 21:00
肺癌阿公拒化療!滴大麻油腫瘤變小了
現代即便醫學發達,對於癌症治療還是無法百分之百掌握。...
2019/03/07 16:36
最新圖輯
更多
第62屆金馬獎得獎後台
第62屆金馬獎紅毯
劉書宏專訪
袁澧林、陳孝萱專訪
第36屆金曲獎星光大道
第36屆金曲獎得獎圖輯
NMIXX林口體育館粉絲演唱會
KISS OF LIFE台北演唱會
林芯儀專訪
GYUBIN大巨蛋開球
今日頭條
1
張文「死亡劇本」曝光 跳紙箱失算墜樓亡
2
網傳張文為中國新住民二代 陸委會回應了
3
睡衣男拿雙刀衝加油站 喊這句秒遭警逮
4
張文變裝離開租屋處 拖行汽油彈畫面曝光
5
雙重冷空氣將至!恐濕冷4天「最凍12度」
6
模仿犯嗆血洗台中新光三越 春風痛心發聲
7
北捷傷者中有HIV 疾管署:病毒量已測不到
8
傳中國急找翁曉玲!她:被打臉就赴中取暖
9
幕後/布朗大學霸成魔路 狠下毒手殺同窗
10
橘色惡魔登陸屏東!台日譜出青春樂章
HOT焦點
更多
禁小紅書…淘寶、拼多多變相實質落地怎管
「睡眠能量艙」為何越來越多人開始這樣睡
深耕在地!PP石墨烯以實際行動應援台灣
頻道推薦
直播✦活動
三立新聞網
為了提供更好的閱讀內容,我們使用相關網站技術來改善使用者體驗,也尊重用戶的隱私權,特別提出聲明。
了解最新隱私權聲明
知道了