APP下載
活動
爆料
圖輯
阿立導讀
追蹤新聞
5
召開520就職兩周年記者會
立法院表決總統賴清德彈劾案
台灣彩券開獎直播中
三立iNEWS新聞台線上直播
LIVE三立+24小時直播
即時
賴蕭2年了
孫安佐爭議
新聞
熱門
政治
社會
娛樂
生活
新奇
健康
國際
兩岸
運動
財經
房產
旅遊
科技
汽車
遊戲
ESG永續
影音
總覽
政論
節目
熱搜
直播
iNEWS
專題
總覽
特企
專頁
大事件
彩券
專欄
民調
快訊
世界盃巴西隊名單出爐 內馬爾帶傷入選
09:58
直升機飛到翻!空勤駕駛免職逆轉勝
09:57
旅行社黑名單曝!43家停業、14家廢照解散
09:56
蕭旭岑喊話馬英九基金會:盡快查明真相
09:54
苗栗77歲翁自撞電桿!車頭全爛撞擊瞬間曝
09:50
辜仲諒砸21億加碼台泥 爭董事席次野心曝
09:49
林楚茵:農曆七月還沒到,藍白就在鬼遮眼
09:49
長相曝!轟鳳梨12槍…共犯曬機票:要洗冤
09:47
好市多洋芋片發綠!她驚:吃半包才發現
09:47
今永昇太遭釀酒人痛擊 僅投4.1局狂失8分
09:45
蘇巧慧、沈伯洋首次聯手掃街:雙北雙贏
09:44
台中購物中心偷拍!監視器盯試衣間全都錄
09:42
討債到宮廟奪命「刺穿頸16cm」殺人下場曝
09:39
27歲女胃痛反覆發作 結果竟是膽結石引起
09:39
獨/狄鶯爆失聯尋獲 親姐狄玫揭真實現狀
09:38
新北男基隆工作染漢他病毒!衛生局證實了
09:31
誰怕台獨?藍紅白把台灣現狀包裝成恐懼
09:31
洋基柯爾進度超前 有望提前重返大聯盟
09:28
台灣淪籌碼?美大使:川普親向習表明1事
09:26
王樂妍抄襲藍又時 12年官司二審改判半年
09:24
台灣彩券開獎直播中
20:31
立法院表決總統賴清德彈劾案
08:30
召開520就職兩周年記者會
09:00
胃癌圍手術期免疫治療7旬婦恢復進食能力
09:00
重返三大豬病非疫國 跨域合作推產業升級
14:00
台中極限保值區純2房案搶進文心森林公園
12:00
晚期肝癌不受限 口服藥物穩定生活與療效
11:00
愛妮雅攜手真善美 公益市集號召民眾傳愛
16:30
權力遊戲新作!重返維斯特洛奪王座
16:00
寵物用藥陷困境 藥廠與藥局:願當獸醫後盾
12:00
房價僅北士科半價 仁義重劃區預售屋剖析
09:00
首頁
關鍵字
翁啟峰
翁啟峰
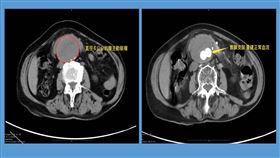
58歲婦「心肺衰竭」竟因腳上長「青筋」
新竹58歲婦人因工作需久坐導致靜脈曲張,反覆治療卻久...
2025/11/05 18:19
「心臟掉到肚子!」阿嬤經檢查發現…
「醫師,怎麼辦 ? 我的心臟掉到肚子!」83歲的阿嬤...
2020/06/18 20:25
最新圖輯
更多
茉ひるMahiru專訪
簡莉紋專訪
大霈專訪
劉冠廷專訪
林予晞、王真琳專訪
李雪、陳昱廷專訪
初孟軒、鍾岳軒專訪
龍千玉與翁立友領豪記唱片群星拜年
Rain鄭智薰小巨蛋演唱會
金在中演唱會
今日頭條
1
新/就職2週年!賴清德5/20上午發表談話
2
獨/狄鶯爆失聯尋獲 親姐狄玫揭真實現狀
3
新北男基隆工作染漢他病毒!衛生局證實了
4
台灣淪籌碼?美大使:川普親向習表明1事
5
台中購物中心偷拍!監視器盯試衣間全都錄
6
台灣洋芋片出包!官方急喊:停止出貨
7
沈伯洋攻蔣痛點!「市民之槌」祕密武器曝
8
第5次兆元宴登場!老黃「這天」宴請大咖
9
狄鶯找到了!他:別讓孫安佐揹負弒母駡名
10
寫功課變地獄!媽恐嚇7歲女:拿筆戳瞎眼
HOT焦點
更多
彰化首創全齡堡壘 廢墟重生在地安老
胃癌圍手術期免疫治療7旬婦恢復進食能力
重返三大豬病非疫國 跨域合作推產業升級
頻道推薦
直播✦活動
三立新聞網
為了提供更好的閱讀內容,我們使用相關網站技術來改善使用者體驗,也尊重用戶的隱私權,特別提出聲明。
了解最新隱私權聲明
知道了