APP下載
活動
爆料
圖輯
AI爆報
追蹤新聞
3
台灣彩券開獎直播中
三立iNEWS新聞台線上直播
LIVE三立+24小時直播
即時
美以突襲伊朗
對等關稅違憲
新聞
熱門
政治
社會
娛樂
生活
新奇
健康
國際
兩岸
運動
財經
房產
旅遊
科技
汽車
遊戲
ESG
影音
總覽
政論
節目
熱搜
直播
iNEWS
專題
總覽
特企
專頁
大事件
彩券
專欄
民調
快訊
為何週6早上打伊朗?1單位立大功突襲狂轟
05:14
老謝讚台灣安全提升!舉1事:台股漲700點
05:07
川普:殲滅48伊朗領導人 革命衛隊無總部
04:47
中東戰火燒向油價 這些產業恐面臨壓力!
04:18
伊朗鎖荷姆茲 台股3族群成避風港
04:03
半導體狂飆只是前菜 這2檔被偷偷買進!
03:50
美國多地怒吼反戰 白宮外湧抗議人潮
03:13
中東失控資金大逃亡 台股壓力山大
03:02
美軍秀B-2幽靈轟炸機:勿質疑美國決心
03:01
新/伊朗新政權求和 川普:我已同意談判
02:32
伊朗領袖身亡!比特幣V轉 噴回六萬七
02:01
科技七巨頭負債?分析師曝可怕真相
02:00
不是輝達!分析師曝這3檔股票必買
01:30
市議員民調將開跑!這2人力挺黃彥毓
01:30
美以聯手空襲 伊朗前總統艾馬丹加傳死訊
01:29
英防相:伊朗報復行為無差別 有失控隱憂
01:26
台韓科技龍頭一起網羅 它年報酬飆破90%
01:26
「水溝蓋冒煙」高雄人怕爆!元凶現形
01:17
「台落後以為好?」旅德台妹轟物價貴3倍
01:17
杭州2天2熊貓「急性腹症奪命」 閉館調查
01:15
台灣彩券開獎直播中
20:31
台彩春節加碼12億元創新高
12:00
大樂透加碼480組100萬元
12:00
大樂透加碼800組10萬元
12:00
賓果賓果鬧元宵 大樂透、今彩539續加碼
12:00
開工打造好運勢 小人退散能量水晶迎貴人
12:00
祥獅獻瑞迎開工!愛妮雅集團新年藍圖首曝
17:00
瘦身急救章 一秒塑身穿上小號緊身洋裝
11:00
初九天公生 松山奉天宮備平安麵共享
16:00
捷運七張站走路2分鐘 友座明明德機能到位
15:00
開學換機酷澎火箭速配隔日到貨
10:00
企業暖心故事 一份工作撐起整個家
13:00
Xtars人氣直播主大揭密 鏡頭下的甘苦
13:00
土城永福岩清水祖師廟擲筊大賽 頭獎百萬
12:00
初一金山財神廟湧人潮 聯名蛋捲禮盒喜氣
11:00
首頁
關鍵字
賴基銘
賴基銘
劉家昌「腦跟肺部有腫瘤」 醫揭預防4重點
「流行音樂教父」劉家昌今(3)日驚傳病逝,據劉家昌的...
2024/12/03 23:08
抗乳癌10年經16次化療!跳舞讓她重拾自信
台灣癌症基金會今(14)日辦理第12屆「粉紅運動 愛...
2023/10/14 16:20
護理師扮成宮廟師姐 只為勸病人做這件事
1名婦人摸到乳房疑似有東西,竟聽信紅線綁乳房等偏方,...
2023/10/07 16:31
30秒死1人!全台190萬B肝帶原、3招避肝癌
世界肝炎日剛過,世界肝炎聯盟指出,全球約有3.54億...
2023/08/05 10:00
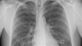
陽明山大縱走紀錄保持人 驚罹「肺腺癌」
肺癌連續13年高居國人癌症死因首位,以癌症死亡人數結...
2023/08/01 09:34
沈默殺手慢性血癌「9成有共病」秒懂7症狀
民眾注意!小心沈默殺手。慢性淋巴性白血病(CLL)好...
2023/07/13 15:47
「隱藏版癌王」逾半確診已晚 難活過一年
膽道癌對國人而言相對陌生,但並非罕見癌症,也很常與胰...
2023/03/23 08:32
健康的帶原者? 錯誤觀念恐釀成肝癌危機
50多歲陳媽媽B肝帶原多年,但未正視肝疾威脅,只是服...
2023/01/03 19:10
190萬帶原沒追蹤!每天15人因B肝致肝癌歿
國健署今公布2020年癌症登記報告,肝癌為國人發生率...
2022/12/29 18:48
植化素促癌症凋亡!這時間吃蔬果最強
蔬菜水果含有豐富植化素(Phytochemicals...
2022/09/12 17:58
肺癌女性9成不吸菸 小心家中2殺機
肺癌連續15年高居國人十大癌死因症之首,每年有近萬人...
2022/07/31 11:03
「打疫苗恐無抗體」6成癌友怕碰人群
國內疫情也走過高原期、近日本土皆為2、3萬例,民眾期...
2022/07/14 13:48
金曲獎緬懷葉勝欽 醫曝骨髓癌3徵兆
台語歌手葉勝欽,前年發現罹患骨髓癌後,在今年2月26...
2022/07/03 10:51
台語歌手骨髓癌逝 醫:骨頭像被開洞
台語歌手葉勝欽憑「21世紀新人歌唱排行榜」校園組冠軍...
2022/03/11 17:18
世癌減「3G」!台癌推虎哩健康賀卡
國際抗癌聯盟(UICC)今年訂定「Close the...
2022/01/29 20:33
女性肺癌發生率全球第三!機率>男性
台灣癌症基金會執行長賴基銘教授出席活動時表示,根據國...
2021/11/14 19:43
症狀誤認老化!心衰5年內死亡率5成
明天9月29日是世界心臟日,中華民國心臟基金會執行長...
2021/09/28 19:44
小心感冒不單純 醫警告肺癌最會偽裝
台灣每年將近有九千人死於肺癌,死亡率所有癌症的第一名...
2021/01/04 10:16
可怕!肺癌60%一發現就是晚期
台灣癌症基金會執行長賴基銘醫師。在三立新聞網「奕起聊...
2021/01/04 10:10
胃口變差 3個月後檢查竟是晚期胃癌
別以為「沒胃口」只是小毛病!過年是闔家吃團圓飯的重要...
2020/12/29 08:38
血癌3重病纏身 她成瑜伽老師幫助人
「當我正為那年最後一次紅斑性狼瘡的回診感到開心,醫師...
2020/12/21 09:39
仿妝夭后逝 迪士尼公主也不捨落淚
12月11日,才37歲的知名的部落客「仿妝夭后Yui...
2020/12/14 08:00
網紅「大便細如筷」 竟是卵巢癌晚期
一名40歲的網紅王小姐,曾因卵巢良性腫瘤開刀,術後持...
2020/11/09 19:12
「9種病毒、細菌」會引發癌症
不良的飲食與生活習慣、遺傳都有可能造成癌症,相信多數...
2020/05/01 17:54
做到這5招 「罹癌率降低70%」
現代人壽命越來越長,許多國家都已步入高齡化社會,加上...
2020/04/29 11:27
大腸癌最要命 防癌5招這樣做
進一步分析我國近5年的10大癌症趨勢,結果發現,國人...
2020/02/06 15:26
東、南部癌死率高出北部 元凶竟是它
就醫距離竟成了擊敗先進醫療技術的最大元兇?這不是誇飾...
2018/10/18 17:32
大腸瘜肉 好發五大職業族群
台灣癌症基金會執行長賴基銘醫師指出,台灣癌症基金會調...
2017/03/28 08:00
台灣褐藻醣膠研究 盼成助抗癌新希望
台灣褐藻研究有助於輔助癌症的治療,而這項研究成果也發...
2015/11/01 12:00
最新圖輯
更多
初孟軒、鍾岳軒專訪
龍千玉與翁立友領豪記唱片群星拜年
Rain鄭智薰小巨蛋演唱會
金在中演唱會
羅志祥30周年演唱會
凱琳專訪
黃鐙輝、吳念軒、黃騰浩專訪
第62屆金馬獎得獎後台
第62屆金馬獎紅毯
劉書宏專訪
今日頭條
1
新/伊朗新政權求和 川普:我已同意談判
2
美伊開戰首傳噩耗!3名美軍殉職、5人重傷
3
伊朗稱飛彈擊中林肯號!美軍打臉:沒射中
4
荷姆茲海峽傳停擺!196艘油輪受困波斯灣
5
大葉高島屋2櫃姐遭毆打!1男送辦
6
不敵王楚欽 林昀儒WTT新加坡大滿貫亞軍
7
弦子與老公在杜拜!目擊「帆船飯店起火」
8
元宵節全台有雨驟降近10度 雨彈炸到這天
9
梁文傑掃街拋金句:選議員「像挑另一半」
10
周杰倫8歲愛子正面曝!全網暴動根本爸爸
HOT焦點
更多
「賴」財產申報 一票人不信?曝背後故事
台灣祭行前派對「南國趴」熱血開唱
運動場也有彩虹!板橋體育場彩虹看臺開箱
頻道推薦
直播✦活動
三立新聞網
為了提供更好的閱讀內容,我們使用相關網站技術來改善使用者體驗,也尊重用戶的隱私權,特別提出聲明。
了解最新隱私權聲明
知道了