APP下載
活動
爆料
圖輯
阿立導讀
追蹤新聞
3
台灣彩券開獎直播中
三立iNEWS新聞台線上直播
LIVE三立+24小時直播
即時
愛爾麗偷拍案
台北爆鼠患
新聞
熱門
政治
社會
娛樂
生活
新奇
健康
國際
兩岸
運動
財經
房產
旅遊
科技
汽車
遊戲
ESG永續
影音
總覽
政論
節目
熱搜
直播
iNEWS
專題
總覽
特企
專頁
大事件
彩券
專欄
民調
快訊
五金行老闆誤信投資群組!車手被判全賠
01:17
綠島民宿爆偷拍!業者被起底
01:14
印度一家4口吃西瓜後離奇死 驚見老鼠藥
01:10
川普宣布「俄烏停火3天」 將交換戰俘
01:04
陸男泰出車禍藏軍火:想發動自殺式攻擊
01:03
娃娃車闖私地輾斃狗狗!園方踢皮球惹眾怒
00:59
新人婚宴「搭擂台摔角」 輸的做家事
00:53
日百貨「OIOI」不唸歐伊歐伊 正確音曝光
00:49
少女沉迷二次元花光家中存款 家中慘況曝
00:45
AI已失控?《大賣空》本尊示警了
00:44
光澤診所涉偷拍!5名IT員工各50萬交保
00:44
2026世足票價惹議!轉售平台驚見天價
00:41
王彩樺砸35萬整鼻子!舞台上跌倒整組壞掉
00:25
獨/誦經團青年專業領誦 網讚:超強男團
00:21
獨/水管爆髒水!控遇水電工版小崔敲竹槓
00:19
外交部首屆研討會 因應跨國鎮壓共築韌性
00:19
舒子晨老公重傷緊急送醫!檢查後傷勢曝光
00:17
毛孩遭娃娃車輾死!飼主控不理、園長駁
00:16
紐西蘭僑胞健走 挺台灣參與WHO
00:14
安倍昭惠4訪高雄保安堂 受歡迎感動
00:10
台灣彩券開獎直播中
20:31
高雄導入5G智慧消防救援 救災效率高50%
14:00
腸病毒升溫!攝取高營養密度水果增免疫力
13:00
國防自主 台製雷盾無人機反制系統亮相
17:00
炎炎夏日!Niseko「牛奶巧酥」雪糕受喜愛
14:00
黃惠爭接掌屏東不動產仲介公會
10:30
無基因突變肺癌治療 醫病溝通成關鍵
10:00
母親節送「輝葉垂直律動椅」坐著輕鬆動
10:00
首頁
關鍵字
骨科部
骨科部
男大生斷十字韌帶 成大醫加碼這招神救援
台南一名20歲的張姓男大生是學校校隊球員,日前在比賽...
2026/03/25 15:59
未積極治療骨鬆 老翁跌倒全身7處骨折
骨質疏鬆是高齡社會下最易被忽略的隱形殺手,尤其當跌倒...
2023/06/16 07:27
骨質流失勿輕忽 慎防跌倒危及生命
根據調查,國內婦女有三分之一會在一生中發生一次骨鬆性...
2023/02/14 10:00
壯年男子連走路500公尺都難
一名中壯年保全陳先生,多年前發生車禍導致左膝軟骨破裂...
2022/01/26 09:40
髖部骨折每五人有一人一年內死亡
72歲的王太太,在退休後一直擔任孫子就讀國小的導護志...
2021/09/22 09:00
長日照機構住民 骨鬆及骨折高危險群
台灣作為全球老化速度最快的國家之一,在2018年3月...
2021/09/08 10:40
26歲小資女這裡撕裂 連滑手機都痛
台中26歲蔡小姐為上班族,去年底某天早上起床,右手感...
2021/05/06 09:53
30歲男膝關節腫脹疼痛 竟是長腫瘤
30歲的張先生10年前因為膝關節腫脹疼痛在其他醫院就...
2021/02/23 09:26
9旬嬤一跌就骨折 醫驚:像易脆蛋捲
台中91歲張奶奶年事高但生活仍能自理,可惜日前不慎跌...
2021/01/05 10:47
老人跌倒骨脆容易折 骨科醫師教預防
「老人經不起摔,年紀到了,就容易骨質疏鬆性骨折,骨折...
2020/12/15 10:00
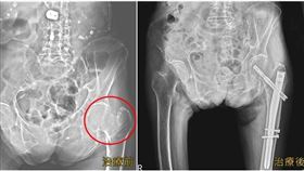
骨頭蛀掉崩塌!鼠蹊部痛竟髖關節壞死
遊覽車司機周先生從去年開始出現鼠蹊部、臀部痠痛。一開...
2020/11/02 11:10
中秋非烤不可?醫:恐對腰椎嚴重傷害
中秋4日連假到來,烤肉幾乎已成台灣全民運動,甚至已有...
2020/10/01 10:35
遠離骨質疏鬆 攝取足夠鈣與維生素D
骨量會隨著年齡增加逐漸流失,尤其從30歲起每年流失骨...
2020/09/10 09:00
男膝蓋爆痛 X光一照大腿骨頭被吃空
4年前,18歲的吳同學跟爸爸媽媽說右邊的膝蓋突然非常...
2020/09/09 06:34
愛喝酒+運動過度 男子大腿骨全壞死
61歲德國籍的K先生,在台工作定居數十年,32歲就開...
2020/01/05 09:36
孝順女打工護腕綁一年 她手出這問題
荳蔻年華、品學兼優的阿珠妹妹年年拿獎學金,家境並不富...
2018/06/07 08:43
膝蓋會痛要小心!「它」能恢復健走
膝關節一直是人體最刻苦耐勞的部位,不論行走、運動都需...
2018/04/28 18:31
換人工膝關節 感覺卡卡6大原因
有些退化性關節炎患者換人工膝關節後,老是感覺關節卡卡...
2017/06/05 09:50
止痛用藥不成癮!退化關節疼痛,有解
許多中老年人都有疼痛的困擾,但一聽到止痛藥,就擔心會...
2016/02/05 11:00
最新圖輯
更多
茉ひるMahiru專訪
簡莉紋專訪
大霈專訪
劉冠廷專訪
林予晞、王真琳專訪
李雪、陳昱廷專訪
初孟軒、鍾岳軒專訪
龍千玉與翁立友領豪記唱片群星拜年
Rain鄭智薰小巨蛋演唱會
金在中演唱會
今日頭條
1
朝天宮董座兒…斷骨前立委遭羈押!母發聲
2
連長罵役男「日本鬼子」 陸軍懲處出爐了
3
淡江大橋將通車 賴清德:台灣的驕傲
4
北市投鼠藥釀生態浩劫 麻雀誤食猛禽團滅
5
乩童倒垃圾…被撞枉死!相驗「死因曝光」
6
詐騙新手法 手機輸「**21*」366萬元沒了
7
軍購條例三讀 國防部:研擬向立院溝通
8
明高溫衝33度 這天雙重水氣再開炸恐雨4天
9
光澤診所偷拍…詭斷點!經理、工程師收押
10
涉偷拍預收!衛福部發文要愛爾麗停業
HOT焦點
更多
JINS來台創百店里程碑 宣布分眾新戰略
復振航海文化 紀錄原住民族豐富海洋文化
黃惠爭接掌屏東不動產仲介公會
頻道推薦
直播✦活動
三立新聞網
為了提供更好的閱讀內容,我們使用相關網站技術來改善使用者體驗,也尊重用戶的隱私權,特別提出聲明。
了解最新隱私權聲明
知道了