APP下載
活動
爆料
圖輯
阿立導讀
追蹤新聞
3
台灣彩券開獎直播中
三立iNEWS新聞台線上直播
LIVE三立+24小時直播
即時
愛爾麗偷拍案
台北爆鼠患
新聞
熱門
政治
社會
娛樂
生活
新奇
健康
國際
兩岸
運動
財經
房產
旅遊
科技
汽車
遊戲
ESG永續
影音
總覽
政論
節目
熱搜
直播
iNEWS
專題
總覽
特企
專頁
大事件
彩券
專欄
民調
快訊
每股配5.2元的他 新訊必看
02:00
台股狂噴近2700點 這族群慘跌4.5%沒跟上
01:16
大盤今年來狂漲4成 這10檔直接近翻倍賺
01:03
夫妻千萬存款險蒸發 因女兒這句夢碎晚年
01:00
個股/內外資狂買 華邦電新目標價曝
01:00
敗北、歸西、做東怎麼來的?古人智慧太神
01:00
男遭熊撕咬慘死 父聽「最後語音」崩潰
00:59
諸葛亮日食一斤米!司馬懿長嘆:命不久矣
00:50
最新平均月薪出爐!7成人薪資達不到
00:41
離島條例二讀!他轟陳玉珍向中共表忠心
00:28
迪麗熱巴新廣告翻車 網友質疑替身出鏡
00:09
選舉喊重要…藍白今砍無人機!他諷:詐騙
00:01
軍購立院只過7800億 類股10檔解析
00:00
北市滅鼠大清消 專家:一週後恐又見老鼠
23:57
鄭麗文看不起記者?國民黨超扯茶敘全曝光
23:54
魏平政傳空降彰化 謝衣鳯嗆:想贏不可能
23:24
老公寓能住幾年?戴雲發:當心扛不住地震
23:18
男重訓5天沒長肌肉 醫揭關鍵:像秒老10歲
23:04
工裝迷暴動!Ford皮卡聯名Carhartt
23:00
2波鋒面雨開炸!氣象粉專曝一縣市兩樣情
23:00
台灣彩券開獎直播中
20:31
跨界新美學 「鸚鵡人」走進馬光中醫診所
12:00
高雄導入5G智慧消防救援 救災效率高50%
14:00
腸病毒升溫!攝取高營養密度水果增免疫力
13:00
國防自主 台製雷盾無人機反制系統亮相
17:00
炎炎夏日!Niseko「牛奶巧酥」雪糕受喜愛
14:00
黃惠爭接掌屏東不動產仲介公會
10:30
無基因突變肺癌治療 醫病溝通成關鍵
10:00
母親節送「輝葉垂直律動椅」坐著輕鬆動
10:00
首頁
關鍵字
尿路結石
尿路結石
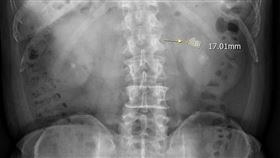
男狂喝1飲料!膀胱塞35顆石頭 恐怖成分曝
不少人喜歡喝碳酸飲料,但小心飲用過量可能危害健康。泌...
2025/05/26 12:30
天啊!小心結石慘變洗腎 醫曝恐怖真相
「不要讓結石,成為你的人生絆腳石。」尿路結石千萬不能...
2023/07/21 14:00
做愛坐雲霄飛車可排結石?!醫曝驚人原因
水喝不夠、喝太多咖啡、茶、啤酒,很容易在身體內產生尿...
2023/07/20 14:00
小心腰痛不單純 讓他的輸尿管腫成原子筆
基隆1名65歲的阿伯因為發高燒急診,醫師初步評估是敗...
2023/06/26 12:25
痛起來要人命!醫5招預防「尿路結石」
「尿路結石」指的是在泌尿系統形成的結石,這包括腎臟、...
2023/01/10 15:30
卜學亮隱疾纏身十年 急入院治療曝病況
在主持界闖蕩多年的藝人卜學亮(阿亮),2014年推出...
2022/11/01 09:03
膀胱卡12顆巨石 醫切開赫見大魔王
人一生中會有10%的機率發生結石,尿路結石有多痛,過...
2022/07/18 19:48
腎結石「震」不掉 中藥讓他排出來了
腎結石發作起來往往劇痛難耐,且容易復發,民間有「一日...
2022/04/08 09:37
尿路結石5成會復發 醫:少吃這食物
尿路結石是泌尿道常見疾病之一,常見於30至50歲的男...
2022/03/03 12:01
胃痛痛到無法走路 竟是這裡長結石~
一名年約五十歲的鄭姓男子,因為覺得胃痛,就自行至藥局...
2019/05/15 08:15
「這病」復發率高、10人中1人有!
日前知名主持人于美人剛從體內拿出108顆腎結石,這驚...
2019/05/14 17:36
冰涼手搖飲消暑!夏天成尿路結石旺季
天氣炎熱總想來一杯冰冰涼涼的手搖飲料!台中一名19歲...
2018/07/31 10:02
最新圖輯
更多
茉ひるMahiru專訪
簡莉紋專訪
大霈專訪
劉冠廷專訪
林予晞、王真琳專訪
李雪、陳昱廷專訪
初孟軒、鍾岳軒專訪
龍千玉與翁立友領豪記唱片群星拜年
Rain鄭智薰小巨蛋演唱會
金在中演唱會
今日頭條
1
高雄驚傳命案!疑家產問題哥哥持菜刀殺弟
2
魏平政傳空降彰化 謝衣鳯嗆:想贏不可能
3
兩黨參議員籲川普「加快4390億對台軍售」
4
傳本週三獲徵召選北市 沈伯洋最新回應了
5
20年前神預言!他轟藍白砍軍購:中共內應
6
密逃員工扮鬼險吊死 家屬怒控:老闆疏失
7
女警官血崩亡今告別式!百名官警悲痛送行
8
2波鋒面雨開炸!氣象粉專曝一縣市兩樣情
9
昔欠1億鉅債 玉女歌手熬17年還清近況曝
10
獨/網紅爆進工業用餐具 黑心304恐竄台
HOT焦點
更多
高雄導入5G智慧消防救援 救災效率高50%
跨界新美學 「鸚鵡人」走進馬光中醫診所
黃惠爭接掌屏東不動產仲介公會
頻道推薦
直播✦活動
三立新聞網
為了提供更好的閱讀內容,我們使用相關網站技術來改善使用者體驗,也尊重用戶的隱私權,特別提出聲明。
了解最新隱私權聲明
知道了