APP下載
活動
爆料
圖輯
AI爆報
追蹤新聞
4
關稅讓中國持續崩潰陸委會反擊
台灣彩券開獎直播中
三立iNEWS新聞台線上直播
LIVE三立+24小時直播
即時
赤手獨攀101
台美關稅15%
新聞
熱門
政治
社會
娛樂
生活
新奇
健康
國際
兩岸
運動
財經
房產
旅遊
科技
汽車
遊戲
ESG
影音
總覽
政論
節目
熱搜
直播
iNEWS
專題
總覽
特企
專頁
大事件
彩券
專欄
民調
快訊
米可白驚傳車禍「整個人飛出去」傷勢曝光
16:10
總預算先動718億?協商破局明院會再戰
16:07
詹能傑葬身火窟!才剛慶生…20秒片惹淚崩
16:06
甄子丹愛女22歲辣翻!網瘋喊:岳父
16:00
台灣革命共產黨成立 喊建設共產主義社會
15:59
歷代最輕薄 ANKER A1665磁吸行充進化登場
15:58
勇消詹能傑殉職 醫悲喊:不能再失去英雄
15:57
專家示警「家中1物」恐變炸彈:請清雜物櫃
15:57
歌仔戲演員不靠仲介 自賣房賺630萬吐內幕
15:57
AMG世界紀錄不在賽道 在松菸園區
15:56
5香料血脂清道夫 大蒜肉桂降膽固醇超強
15:54
桃猿宿舍環境佳伙食讚 陳世展曝天天狂吃
15:53
新安琪兒回收3萬罐「這品牌」奶粉也出包
15:52
黃帝穎律師:黃國昌是違憲前科的手下敗將
15:49
Threads不再零廣告!Meta:下週全球推送
15:49
契丹去哪了?DNA證實「這族」是後裔!
15:48
姚淳耀合體郭書瑤硬了!認:有塞東西進去
15:40
內政部堅守預算一併審查!羅智強:問A答B
15:39
早起喉嚨痛「恐和肥胖有關」 醫揭2元凶
15:39
楊瓊瓔不退?盧秀燕為何不喬?兩原因曝光
15:34
台灣彩券開獎直播中
20:31
關稅讓中國持續崩潰陸委會反擊
15:30
近50年經典不敗!愛妮雅絲瓜露榮獲玉山獎
16:00
寒冬送暖!郭子乾伴獨居長者圍爐、大掃除
14:00
工作忙到炸!《請世界吃桌》靠它被療癒
18:30
「腕」救健康!別輕忽手腕痠痛
12:30
科技大學城高大特區 成台積電首選生活圈
11:00
JINS創辦人登BRUTUS特輯!首度跨界對談
18:30
松山奉天宮攜手故宮 辦三官數位藝術特展
21:00
首頁
關鍵字
牙齦
牙齦
若口腔菌失衡!醫:胰臟癌風險恐飆3倍
基因醫師張家銘近日在臉書粉專指出,最新研究顯示,口腔...
2025/10/12 09:33
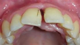
她拔智齒「舌根被縫牙齦上」 醫1原因拒賠
許多人都有拔牙的經驗,不過近日就有一名女子,在醫院拔...
2025/06/05 21:30
還在這樣「刷」牙齒?醫:這樣揉才對
刷牙是日常生活中不可或缺的一部分,但是你知道嗎?錯誤...
2025/04/18 11:32
牙齒卡菜渣「藏4警訊」 醫:要抽神經了
「食物卡牙縫」用舌頭頂也剃不掉的討厭感受,是許多人飯...
2024/09/17 10:15
23歲警牙齦腫脹罹血癌!示警6症狀快就醫
台中第五分局一名23歲李姓員警,去年10月分發至北屯...
2024/05/30 10:06
智齒長歪不拔!工程師靠1招止痛下場慘
一名年近30歲工程師左下智齒長歪,但因工作忙碌沒有盡...
2023/09/10 17:27
嫩妹「一次拔57顆牙」!醫嚇傻:非常嚴重
以為缺了1顆牙,實際竟是長了57顆牙。中國大陸社群最...
2023/08/10 15:39
阿茲海默症也是!牙齦不健康5疾病恐上身
「為了身體好一定要按時刷牙!」中山醫學大學附屬醫院劉...
2023/03/30 06:03
國中生走路遭撞害吃飯要3小時 騎士挨告
新北市土城在一名13歲賴姓國中生在農曆年除夕夜,跟著...
2023/02/05 17:50
總是害怕洗牙?牙醫破解洗牙4大迷思!
牙醫建議每半年洗一次牙,但很多人對洗牙一事多半存有迷...
2022/12/21 17:14
為環保買不鏽鋼牙線 她見1點嚇歪不敢用
為了保護口腔、牙齒健康,不少民眾會使用各式產品助攻,...
2022/12/05 10:28
洗牙讓牙縫變大?醫破解4大迷思
許多人相當注重牙齒的健康,不少人都會固定到牙科回診,...
2022/08/16 06:15
牙齦出血是牙周病?醫揭常見5原因
牙齦出血常常出現在刷牙的時候,泡沫吐掉便發現小小一口...
2021/10/11 20:49
牙齦腫脹怎麼辦?6招有助改善!
牙齦腫脹是相當常見的口腔問題,生活中引起原因百百種,...
2021/07/21 21:50
鼓起勇氣削骨切牙齦 她為變美豁出去
YouTuber「茜珊chienshannn」日前透...
2021/07/06 18:38
女牙齦腫脹就醫 竟罹血癌命剩三個月
現年33歲的周小姐去年因牙齦腫脹、牙床莫名長出水泡、...
2021/04/20 15:23
切牙齦前後曝光 她刷牙爆血網:驚悚
YouTube頻道移動岑寶的怡岑,就分享她去切牙齦的...
2020/12/07 16:05
廖偉凡什麼都不會 每月仍6位數進帳
《五燈獎》主持人廖偉凡今(2日)上JET《命運好好玩...
2020/11/02 18:00
牙齦發炎細菌吃骨 男星曝鼻下蛀大洞
馬來西亞歌手「Danny」許佳麟擁有帥氣外型,一口好...
2020/08/12 11:03
女牙齦腫大沒就醫 結果長出一團肉瘤
A女士是一位中年家庭主婦,平日生活作息正常,不菸不酒...
2020/07/23 10:20
翁牙齦破洞 醫檢查見「12條肥蛆」
真是太可怕了!泰國洛坤府一名口腔科醫師塔納農(Tha...
2020/05/10 01:22
你有注意過毛孩的牙齦顏色嗎?
幫毛孩刷牙時,有注意過毛孩的牙齦顏色嗎? 健康的牙...
2020/02/10 13:03
女染怪病 一張嘴「牙齦長滿頭髮」
毛髮要是出現在不該出現的地方,那真的會讓人相當困擾!...
2020/02/06 16:25
貓狗的牙齦顏色跟健康狀況有關?
幫毛孩刷牙時,有注意過毛孩的牙齦顏色嗎? 健康的牙...
2020/02/03 12:33
「吐血」快就醫 牙周病比你想像可怕
身體明明沒怎樣,卻總覺得口腔鹹鹹的、刷牙漱口驚見血絲...
2019/10/10 15:19
要人命的牙痛!牙齦流血就是牙周病?
意想不到!全台灣高達九成的人有牙周病問題,更重要的是...
2019/08/15 19:20
多久洗一次牙?牙醫:這些人須常洗
你會定期上牙醫診所洗牙嗎?很多人一想到洗牙時的牙齦疼...
2019/06/04 17:59
咧嘴驚見殭屍牙?牙醫:問題出在這
您身邊有這種人嗎?一張開嘴就傳來口臭,滿口牙結石、牙...
2019/05/13 11:13
孕媽牙痛因鈣質被吸走?別牽拖胎兒啦
台語俗諺「生一個囝仔、落一支嘴齒」,以前醫療知識不普...
2019/05/08 13:36
露牙齦甭介意?牙齦微整型為微笑加分
人常說:「微笑是人與人之間最親近的語言。」但有時外型...
2019/03/07 10:00
最新圖輯
更多
羅志祥30周年演唱會
凱琳專訪
黃鐙輝、吳念軒、黃騰浩專訪
第62屆金馬獎得獎後台
第62屆金馬獎紅毯
劉書宏專訪
袁澧林、陳孝萱專訪
第36屆金曲獎星光大道
第36屆金曲獎得獎圖輯
NMIXX林口體育館粉絲演唱會
今日頭條
1
總預算先動718億?協商破局明院會再戰
2
AIT挺1.25兆國防特別預算!國防部回應
3
詹能傑葬身火窟!才剛慶生…20秒片惹淚崩
4
蘆洲逆子弒父母!今解剖、家屬面色凝重
5
總預算沒審147天!行政院協商前喊話付委
6
徒手攀登101 霍諾德公開主因:沒安全網
7
嘉義市民普發6000來了!15.8億元錢牆曝光
8
新/台灣夫妻仍失蹤!阿蘇火山參觀區封閉
9
詹能傑捨命救人 目擊義消還原他殉職過程
10
新/奶粉含仙人掌桿菌 新安琪兒1批號下架
HOT焦點
更多
戶外登山活動夯!挑選sNug克服極端環境
不只老年人!肌少症正年輕化
近50年經典不敗!愛妮雅絲瓜露榮獲玉山獎
頻道推薦
直播✦活動
三立新聞網
為了提供更好的閱讀內容,我們使用相關網站技術來改善使用者體驗,也尊重用戶的隱私權,特別提出聲明。
了解最新隱私權聲明
知道了